Primary Antibodies
Secondary Antibodies
Proteins & Peptides
ELISA Kits
About Us
Contact Us
Sign In/Register
0
ISO 9001:2015 Certified
Live Customer Support
4.5/5 on Trustpilot
100% Quality Guarantee
Home
Primary Antibodies
MAP3K4 Antibodies
Anti-MAP3K4 Antibody (A45500)
Anti-MAP3K4 Antibody (A45500)
Overview
Specifications
Images
Enlarge Image
Enlarge Image
$430
Product Datasheet
Rabbit polyclonal antibody to MAP3K4 for IHC.
100% Guarantee
Price Match Guarantee
Product Size:
100µl
Quantity:
1
2
3
4
5
6
7
8
9
10
Add To Cart
Request a Quotation
Custom or Bulk Request
Shipping Information
Freight/Packing Charges:
$40
Dispatched from St. Louis, MO.
Lead Time: 6-9 business days.
Specifications
Name
Anti-MAP3K4 Antibody
Description
Rabbit polyclonal antibody to MAP3K4
Specificity
The antibody detects endogenous levels of total MAP3K4 protein.
Applications
IHC
Reactivity
Human
Immunogen
Synthetic peptide corresponding to a region derived from internal residues of human mitogen-activated protein kinase kinase kinase 4
Host
Rabbit
Clonality
Polyclonal
Conjugate
Unconjugated
Purification
Antigen affinity purification.
Concentration
1.3 mg/mL
Formulation
Supplied in PBS, pH 7.3, containing 0.05% sodium azide and 50% glycerol.
Storage
Shipped at 4°C. Upon delivery aliquot and store at -20°C. Avoid freeze/thaw cycles.
Synonyms
KIAA0213, MAP three kinase 1, MAPK/ERK kinase kinase 4, MAPKKK4, MEK kinase 4, MEKK 4, MEKK4, Mitogen-activated protein kinase kinase kinase 4, MTK1
Suitable Secondaries
Goat Anti-Rabbit IgG H&L Antibody (AP) (A294874)
Goat Anti-Rabbit IgG H&L Antibody (Biotin) (A294795)
Goat Anti-Rabbit IgG H&L Antibody (FITC) (A294887)
Goat Anti-Rabbit IgG H&L Antibody (HRP) (A294888)
See all Anti-Rabbit IgG Secondaries →
Disclaimer
This product is for research use only. It is not intended for diagnostic or therapeutic use.
Scientific Validation Data
Validation Data
(2)
Enlarge Image
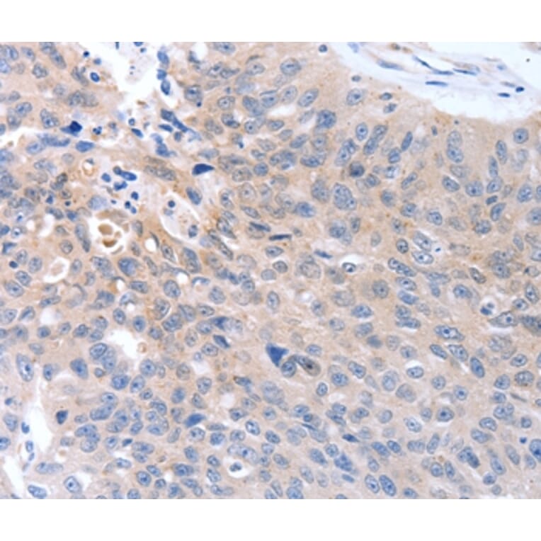
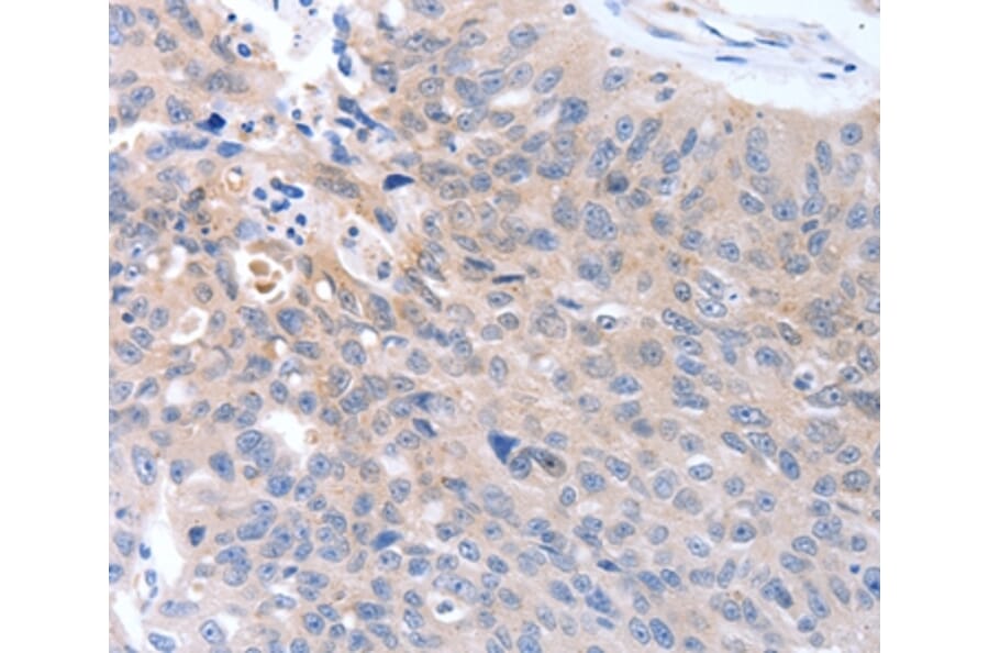
Immunohistochemistry - Anti-MAP3K4 Antibody (A45500)
Immunohistochemical analysis of paraffin-embedded Human thyroid cancer tissue using #37046 at dilution 1/40.
Enlarge Image
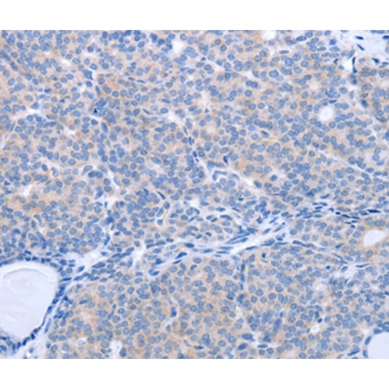
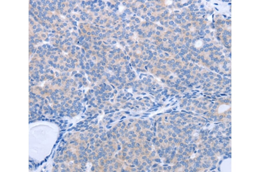
Immunohistochemistry - Anti-MAP3K4 Antibody (A45500)
Immunohistochemical analysis of paraffin-embedded Human ovarian cancer tissue using #37046 at dilution 1/40.
Publishing research using Anti-MAP3K4 Antibody (A45500)? Please
let us know
so that we can list the citation on this page.
Alternative products to Anti-MAP3K4 Antibody (A45500)
(2)
A54491
Anti-MAP3K4 Antibody
Rabbit polyclonal antibody to MAP3K4 for ELISA, IHC, IP and WB.
(4)
A93094
Anti-MAP3K4 Antibody
Rabbit polyclonal antibody to MAP3K4 for WB and IHC.
A98635
Anti-MAP3K4 Antibody
Rabbit polyclonal antibody to MAP3K4 for IHC, IF and ELISA.
A347068
Anti-MAP3K4 Antibody [23GB4045]
Recombinant rabbit monoclonal [23GB4045] antibody to MAP3K4 for WB, Flow Cytometry and ICC/IF.
A29121
Anti-MAP3K4 Antibody
Rabbit polyclonal antibody to MAP3K4 for WB.
(2)
A54491
Anti-MAP3K4 Antibody
Rabbit polyclonal antibody to MAP3K4 for ELISA, IHC, IP and WB.
(4)
A93094
Anti-MAP3K4 Antibody
Rabbit polyclonal antibody to MAP3K4 for WB and IHC.
A98635
Anti-MAP3K4 Antibody
Rabbit polyclonal antibody to MAP3K4 for IHC, IF and ELISA.
A347068
Anti-MAP3K4 Antibody [23GB4045]
Recombinant rabbit monoclonal [23GB4045] antibody to MAP3K4 for WB, Flow Cytometry and ICC/IF.
A29121
Anti-MAP3K4 Antibody
Rabbit polyclonal antibody to MAP3K4 for WB.
See all MAP3K4 Antibodies
Proteins predicted to interact with MAP3K4
Predicted protein interactions based upon String database. Revelancy score correlates with probability of interaction.
GADD45A Antibodies
99.9% Relevancy Score
GADD45B Antibodies
99.9% Relevancy Score
GADD45G Antibodies
99.7% Relevancy Score
MEK3 Antibodies
98.7% Relevancy Score
MKK6 Antibodies
98.6% Relevancy Score
CDC42 Antibodies
95.6% Relevancy Score
MKK4 Antibodies
78.1% Relevancy Score
OGR1 Antibodies
76.1% Relevancy Score
GPCR G2A Antibodies
76.1% Relevancy Score
Top