ISO 9001:2015 Certified
Live Customer Support
4.5/5 on Trustpilot
100% Quality Guarantee

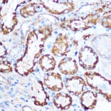
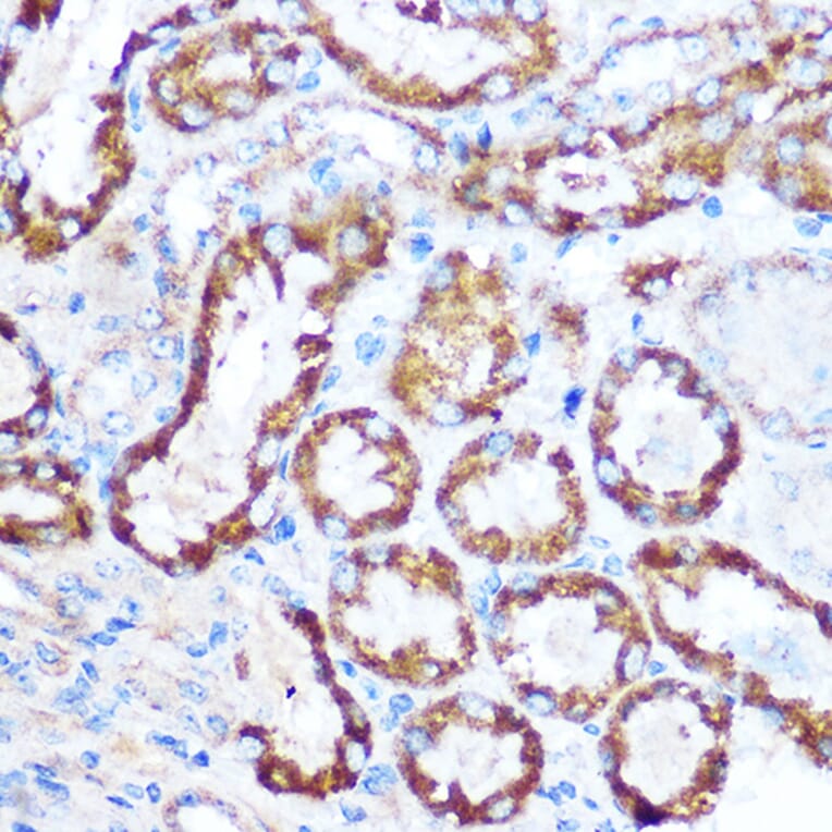
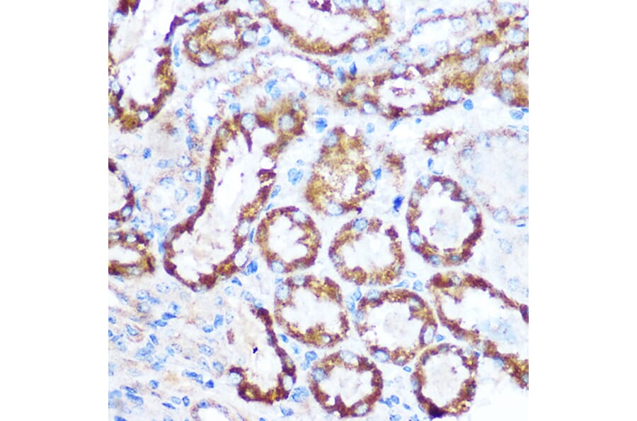
Anti-MAP4 Antibody (A88657)

Rabbit polyclonal antibody to MAP4 for WB and IHC.

Shipping Information

$40
Dispatched from St. Louis, MO.
Lead Time: 7-10 business days.
Name
Anti-MAP4 Antibody
Description
Rabbit polyclonal antibody to MAP4.
Applications
WB, IHC
Dilutions
WB: 1:500-1:2,000, IHC: 1:50-1:200
Reactivity
Human, Mouse
Immunogen
Recombinant fusion protein containing a sequence corresponding to amino acids 942-1152 of human MAP4 (NP_002366.2).
Sequence
TENIKHQPGGGRAKVEKKTEAAATTRKPESNAVTKTAGPIASAQKQPAGKVQIVSKKVSYSHIQSKCGSKDNIKHVPGGGNVQIQNKKVDISKVSSKCGSKANIKHKPGGGDVKIESQKLNFKEKAQAKVGSLDNVGHLPAGGAVKTEGGGSEAPLCPGPPAGEEPAISEAAPEAGAPTSASGLNGHPTLSGGGDQREAQTLDSQIQETSI
Host
Rabbit
Clonality
Polyclonal
Isotype
IgG
Conjugate

Unconjugated

Purification
Affinity purification.
Concentration
Lot Specific
Molecular Weight
200 kDa
Product Form
Liquid
Formulation
Supplied in Phosphate Buffered Saline, pH 7.3, with 50% Glycerol and 0.01% Thiomersal.
Storage
Shipped at 4°C. Upon delivery aliquot and store at -20°C. Avoid freeze/thaw cycles.
Synonyms
MAP-4, Microtubule-associated protein 4
Disclaimer
This product is for research use only. It is not intended for diagnostic or therapeutic use.
Publishing research using Anti-MAP4 Antibody (A88657)? Please let us know so that we can list the citation on this page.

Alternative products to Anti-MAP4 Antibody (A88657)

Proteins predicted to interact with MAP4

Predicted protein interactions based upon String database. Revelancy score correlates with probability of interaction.
85.3% Relevancy Score
77.5% Relevancy Score
73% Relevancy Score
65.6% Relevancy Score
63.9% Relevancy Score
63.5% Relevancy Score
61.5% Relevancy Score
60.8% Relevancy Score
58.7% Relevancy Score