Primary Antibodies
Secondary Antibodies
Proteins & Peptides
ELISA Kits
About Us
Contact Us
Sign In/Register
0
ISO 9001:2015 Certified
Live Customer Support
4.5/5 on Trustpilot
100% Quality Guarantee
Home
Primary Antibodies
MAP4K3 Antibodies
Anti-MAP4K3 Antibody (A37172)
Anti-MAP4K3 Antibody (A37172)
Overview
Specifications
Images
Enlarge Image
Enlarge Image
$430
Product Datasheet
Rabbit polyclonal antibody to MAP4K3 for WB and IHC.
100% Guarantee
Price Match Guarantee
Product Size:
100µl
Quantity:
1
2
3
4
5
6
7
8
9
10
Add To Cart
Request a Quotation
Custom or Bulk Request
Shipping Information
Freight/Packing Charges:
$40
Dispatched from St. Louis, MO.
Lead Time: 6-9 business days.
Specifications
Name
Anti-MAP4K3 Antibody
Description
Rabbit polyclonal antibody to MAP4K3
Specificity
The antibody detects endogenous levels of total MAP4K3 protein.
Applications
WB
,
IHC
Reactivity
Human, Mouse
Immunogen
Fusion protein corresponding to a region derived from internal residues of human Mitogen-activated protein kinase kinase kinase kinase 3
Host
Rabbit
Clonality
Polyclonal
Conjugate
Unconjugated
Purification
Antigen affinity purification.
Concentration
1.3 mg/mL
Formulation
Supplied in PBS, pH 7.3, containing 0.05% sodium azide and 50% glycerol.
Storage
Shipped at 4°C. Upon delivery aliquot and store at -20°C. Avoid freeze/thaw cycles.
Synonyms
Germinal center kinase-related protein kinase, GLK, MAPK/ERK kinase kinase kinase 3, MEK kinase kinase 3, MEKKK 3, Mitogen-activated protein kinase kinase kinase kinase 3, RAB8IPL1
Suitable Secondaries
Goat Anti-Rabbit IgG H&L Antibody (AP) (A294874)
Goat Anti-Rabbit IgG H&L Antibody (Biotin) (A294795)
Goat Anti-Rabbit IgG H&L Antibody (FITC) (A294887)
Goat Anti-Rabbit IgG H&L Antibody (HRP) (A294888)
See all Anti-Rabbit IgG Secondaries →
Disclaimer
This product is for research use only. It is not intended for diagnostic or therapeutic use.
Scientific Validation Data
Validation Data
(2)
Enlarge Image
Anti-MAP4K3 Antibody (A37172)
Gel: 10% SDS-PAGE Lysates (from left to right): Mouse heart tissue Amount of lysate: 50ug per lane Primary antibody: 1/400 dilution Secondary antibody dilution: 1/8000 Exposure time: 10 seconds
Enlarge Image
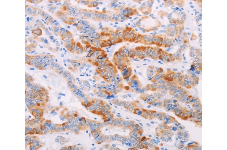
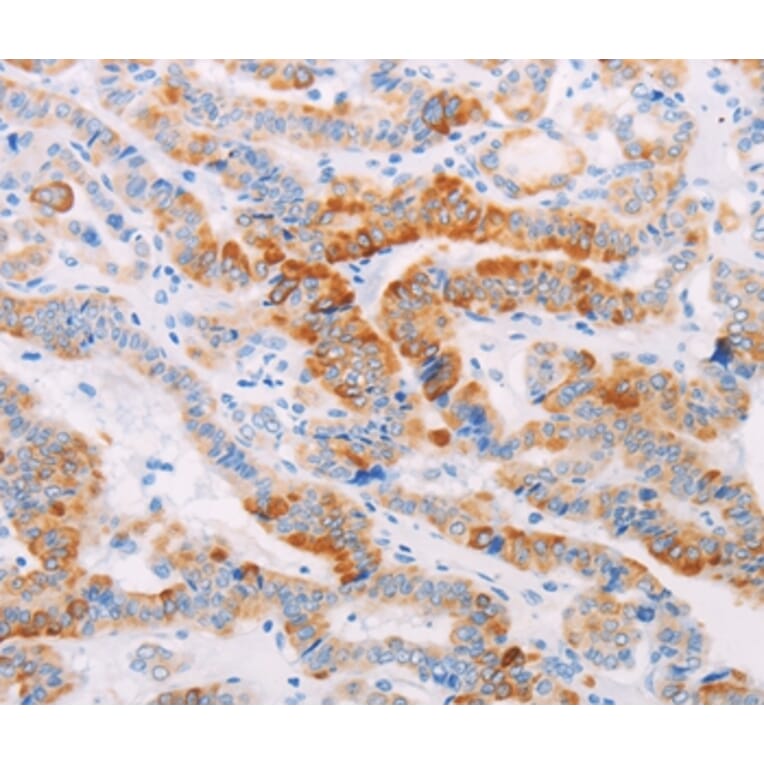
Immunohistochemistry - Anti-MAP4K3 Antibody (A37172)
Immunohistochemical analysis of paraffin-embedded Human thyroid cancer tissue using #35951 at dilution 1/30.
Publishing research using Anti-MAP4K3 Antibody (A37172)? Please
let us know
so that we can list the citation on this page.
Alternative products to Anti-MAP4K3 Antibody (A37172)
(2)
A96836
Anti-MAP4K3 Antibody
Rabbit polyclonal antibody to MAP4K3 for WB and ELISA.
A41822
Anti-MAP4K3 Antibody
Rabbit polyclonal antibody to MAP4K3 for WB.
A32019
Anti-GLK Antibody
Rabbit polyclonal antibody to GLK for WB and IHC.
(2)
A96836
Anti-MAP4K3 Antibody
Rabbit polyclonal antibody to MAP4K3 for WB and ELISA.
A41822
Anti-MAP4K3 Antibody
Rabbit polyclonal antibody to MAP4K3 for WB.
A32019
Anti-GLK Antibody
Rabbit polyclonal antibody to GLK for WB and IHC.
Proteins predicted to interact with MAP4K3
Predicted protein interactions based upon String database. Revelancy score correlates with probability of interaction.
MAP3K1 Antibodies
92.2% Relevancy Score
HIP55 Antibodies
89.8% Relevancy Score
Drebrin Antibodies
81.9% Relevancy Score
SH3 Containing Grb 2 Like 1 Protein Antibodies
79.6% Relevancy Score
GRB2 Antibodies
77.1% Relevancy Score
RRAGC Antibodies
69.7% Relevancy Score
MAP4K5 Antibodies
67.3% Relevancy Score
MRPL11 Antibodies
62.7% Relevancy Score
LIN28B Antibodies
59.5% Relevancy Score
Top