ISO 9001:2015 Certified
Live Customer Support
4.5/5 on Trustpilot
100% Quality Guarantee

Anti-MAPK14 Antibody [CPTC-MAPK14-1] - BSA and Azide free (A251452)

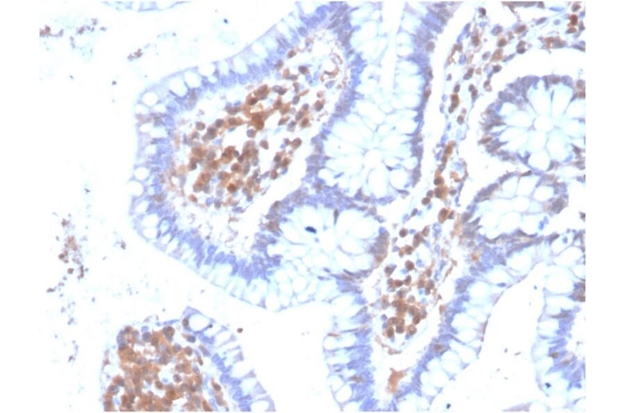
Mouse monoclonal [CPTC-MAPK14-1] antibody to MAPK14 for IHC-P.

Alternative Formats and ConjugatesAlternative Formats

Shipping Information

$40
Dispatched from St. Louis, MO.
Lead Time: 5-8 business days.
Name
Anti-MAPK14 Antibody [CPTC-MAPK14-1] - BSA and Azide free
Description
Mouse monoclonal [CPTC-MAPK14-1] antibody to MAPK14.
Specificity
The protein encoded by this gene is a member of the MAP kinase family. MAP kinases act as an integration point for multiple biochemical signals, and are involved in a wide variety of cellular processes such as proliferation, differentiation, transcription regulation and development. This kinase is activated by various environmental stresses and proinflammatory cytokines. The activation requires its phosphorylation by MAP kinase kinases (MKKs), or its autophosphorylation triggered by the interaction of MAP3K7IP1/TAB1 protein with this kinase. The substrates of this kinase include transcription regulator ATF2, MEF2C, and MAX, cell cycle regulator CDC25B, and tumor suppressor p53, which suggest the roles of this kinase in stress related transcription and cell cycle regulation, as well as in genotoxic stress response. Four alternatively spliced transcript variants of this gene encoding distinct isoforms have been reported. It has been implicated in various cancer pathologies and depending on the context, can facilitate or interfere with tumor development, and therefore has immense potential therapeutic interest.
Applications
IHC-P
Dilutions
IHC-P: 1-2 µg/ml
Reactivity
Human
Immunogen
Recombinant full-length human MAPK14 protein.
Host
Mouse
Clonality
Monoclonal
Clone ID
CPTC-MAPK14-1
Isotype
IgG1
Light Chains
kappa
Conjugate

Unconjugated

Purification
Protein A/G chromatography.
Concentration
1 mg/ml
Molecular Weight
41.6 kDa
Product Form
Liquid
Formulation
Supplied in 10mM Phosphate Buffered Saline; without Sodium Azide and carrier free.
Storage
Shipped at 4°C. Upon delivery aliquot and store at -20°C. Avoid freeze / thaw cycles.
General Notes
This monoclonal antibody is also available in a different formulation with BSA and Sodium Azide - Anti-MAPK14 Antibody [CPTC-MAPK14-1] (A248270).
Synonyms
CSAID-binding protein, CSBP, CSBP1, CSBP2, CSPB1, Cytokine suppressive anti-inflammatory drug-binding protein, MAP kinase 14, MAP kinase MXI2, MAP kinase p38 alpha, MAPK 14, MAX-interacting protein 2, Mitogen-activated protein kinase 14, Mitogen-activated protein kinase p38 alpha, MXI2, SAPK2a, Stress-activated protein kinase 2a
Disclaimer
This product is for research use only. It is not intended for diagnostic or therapeutic use.
Publishing research using Anti-MAPK14 Antibody [CPTC-MAPK14-1] - BSA and Azide free (A251452)? Please let us know so that we can list the citation on this page.

Alternative products to Anti-MAPK14 Antibody [CPTC-MAPK14-1] - BSA and Azide free (A251452)

Proteins predicted to interact with p38 alpha

Predicted protein interactions based upon String database. Revelancy score correlates with probability of interaction.
99.9% Relevancy Score
99.9% Relevancy Score
99.9% Relevancy Score
99.8% Relevancy Score
99.8% Relevancy Score
99.7% Relevancy Score
99.6% Relevancy Score
99.5% Relevancy Score
99.4% Relevancy Score