Primary Antibodies
Secondary Antibodies
Proteins & Peptides
ELISA Kits
About Us
Contact Us
Sign In/Register
0
ISO 9001:2015 Certified
Live Customer Support
4.5/5 on Trustpilot
100% Quality Guarantee
Home
Primary Antibodies
ERK5 Antibodies
Anti-MAPK7 Antibody (A38216)
Anti-MAPK7 Antibody (A38216)
Overview
Specifications
Images
Enlarge Image
Enlarge Image
Enlarge Image
$430
Product Datasheet
Rabbit polyclonal antibody to MAPK7 for WB and IHC.
100% Guarantee
Price Match Guarantee
Product Size:
100µl
Quantity:
1
2
3
4
5
6
7
8
9
10
Add To Cart
Request a Quotation
Custom or Bulk Request
Shipping Information
Freight/Packing Charges:
$40
Dispatched from St. Louis, MO.
Lead Time: 6-9 business days.
Specifications
Name
Anti-MAPK7 Antibody
Description
Rabbit polyclonal antibody to MAPK7
Specificity
The antibody detects endogenous levels of total MAPK7 protein.
Applications
WB
,
IHC
Reactivity
Human
Immunogen
Fusion protein of human MAPK7
Host
Rabbit
Clonality
Polyclonal
Conjugate
Unconjugated
Purification
Antigen affinity purification.
Concentration
1.1 mg/mL
Formulation
Rabbit IgG in pH7.4 PBS, 0.05% NaN3, 40% Glycerol.
Storage
Shipped at 4°C. Upon delivery aliquot and store at -20°C. Avoid freeze/thaw cycles.
Synonyms
Big MAP kinase 1, BMK-1, BMK1, ERK-5, Extracellular signal-regulated kinase 5, MAP kinase 7, MAPK 7, Mitogen-activated protein kinase 7, PRKM7
Suitable Secondaries
Goat Anti-Rabbit IgG H&L Antibody (AP) (A294874)
Goat Anti-Rabbit IgG H&L Antibody (Biotin) (A294795)
Goat Anti-Rabbit IgG H&L Antibody (FITC) (A294887)
Goat Anti-Rabbit IgG H&L Antibody (HRP) (A294888)
See all Anti-Rabbit IgG Secondaries →
Disclaimer
This product is for research use only. It is not intended for diagnostic or therapeutic use.
Scientific Validation Data
Validation Data
(3)
Enlarge Image
Anti-MAPK7 Antibody (A38216)
Gel: 6%SDS-PAGE Lysate: 40 μg Lane: Human fetal muscle tissue Primary antibody: 1/250 dilution Secondary antibody: Goat anti rabbit IgG at 1/8000 dilution Exposure time: 40 seconds
Enlarge Image
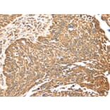
Immunohistochemistry - Anti-MAPK7 Antibody (A38216)
Immunohistochemical analysis of paraffin-embedded Human liver cancer tissue using #42703 at dilution 1/20.
Enlarge Image
Immunohistochemistry - Anti-MAPK7 Antibody (A38216)
Immunohistochemical analysis of paraffin-embedded Human lung cancer tissue using #42703 at dilution 1/20.
Publishing research using Anti-MAPK7 Antibody (A38216)? Please
let us know
so that we can list the citation on this page.
Alternative products to Anti-MAPK7 Antibody (A38216)
(4)
A13879
Anti-ERK5 Antibody
Rabbit polyclonal antibody to ERK5 for WB, IHC and ICC/IF.
(5)
A306729
Anti-ERK5 Antibody [ARC0871]
Rabbit monoclonal [ARC0871] antibody to ERK5 for WB and IHC.
(4)
A35232
Anti-MAPK7 Antibody
Rabbit polyclonal antibody to MAPK7 for WB, IHC and ICC/IF.
(3)
A29958
Anti-ERK5 Antibody
Rabbit polyclonal antibody to ERK5 for WB, IHC and IF.
A54701
Anti-MAPK7 Antibody
Rabbit polyclonal antibody to MAPK7 for ELISA, IP and WB.
A345916
Anti-ERK5 Antibody [24GB290]
Recombinant rabbit monoclonal [24GB290] antibody to ERK5 for WB, Flow Cytometry and ICC/IF.
(4)
A13879
Anti-ERK5 Antibody
Rabbit polyclonal antibody to ERK5 for WB, IHC and ICC/IF.
(5)
A306729
Anti-ERK5 Antibody [ARC0871]
Rabbit monoclonal [ARC0871] antibody to ERK5 for WB and IHC.
(4)
A35232
Anti-MAPK7 Antibody
Rabbit polyclonal antibody to MAPK7 for WB, IHC and ICC/IF.
(3)
A29958
Anti-ERK5 Antibody
Rabbit polyclonal antibody to ERK5 for WB, IHC and IF.
A54701
Anti-MAPK7 Antibody
Rabbit polyclonal antibody to MAPK7 for ELISA, IP and WB.
A345916
Anti-ERK5 Antibody [24GB290]
Recombinant rabbit monoclonal [24GB290] antibody to ERK5 for WB, Flow Cytometry and ICC/IF.
See all MAPK7 Antibodies
Proteins predicted to interact with ERK5
Predicted protein interactions based upon String database. Revelancy score correlates with probability of interaction.
MEK5 Antibodies
99.9% Relevancy Score
EPAC1 Antibodies
97.7% Relevancy Score
MEF2A Antibodies
97.2% Relevancy Score
AKAP6 Antibodies
95.8% Relevancy Score
MEF2C Antibodies
95.6% Relevancy Score
RSK2 Antibodies
95.1% Relevancy Score
Nrf2 Antibodies
94.7% Relevancy Score
PKC zeta Antibodies
94.2% Relevancy Score
Connexin 43 Antibodies
94.1% Relevancy Score
Top