Primary Antibodies
Secondary Antibodies
Proteins & Peptides
ELISA Kits
About Us
Contact Us
Sign In/Register
0
ISO 9001:2015 Certified
Live Customer Support
4.5/5 on Trustpilot
100% Quality Guarantee
Home
Primary Antibodies
SIN1 Antibodies
Anti-MAPKAP1 Antibody (A47459)
Anti-MAPKAP1 Antibody (A47459)
Overview
Specifications
Images
Enlarge Image
Enlarge Image
$780
Product Datasheet
Rabbit polyclonal antibody to MAPKAP1 for ELISA, WB and IHC.
100% Guarantee
Price Match Guarantee
Product Size:
100µl
Quantity:
1
2
3
4
5
6
7
8
9
10
Add To Cart
Request a Quotation
Custom or Bulk Request
Shipping Information
Freight/Packing Charges:
$40
Dispatched from St. Louis, MO.
Lead Time: 6-9 business days.
Specifications
Name
Anti-MAPKAP1 Antibody
Description
Rabbit polyclonal antibody to MAPKAP1
Applications
ELISA
,
WB
,
IHC
Reactivity
Human, Mouse, Rat
Immunogen
Raised against a 19 amino acid peptide from near the amino terminus of human MAPKAP1.
Host
Rabbit
Clonality
Polyclonal
Conjugate
Unconjugated
Purification
Affinity chromatography purified via peptide column
Formulation
Supplied in phosphate-buffered saline with 0.02% Sodium Azide.
Storage
Shipped at 4°C. Upon delivery aliquot and store at -20°C. Avoid freeze/thaw cycles.
Synonyms
MIP1, Mitogen-activated protein kinase 2-associated protein 1, mSIN1, SAPK-interacting protein 1, Stress-activated map kinase-interacting protein 1, Target of rapamycin complex 2 subunit MAPKAP1, TORC2 subunit MAPKAP1
Suitable Secondaries
Goat Anti-Rabbit IgG H&L Antibody (AP) (A294874)
Goat Anti-Rabbit IgG H&L Antibody (Biotin) (A294795)
Goat Anti-Rabbit IgG H&L Antibody (FITC) (A294887)
Goat Anti-Rabbit IgG H&L Antibody (HRP) (A294888)
See all Anti-Rabbit IgG Secondaries →
Disclaimer
This product is for research use only. It is not intended for diagnostic or therapeutic use.
Scientific Validation Data
Validation Data
(2)
Enlarge Image
Anti-MAPKAP1 Antibody (A47459)
Western blot analysis of MAPKAP1 in human skeletal muscle tissue lysate with MAPKAP1 antibody at (A) 0.5, (B) 1 and (C) 2 µg/mL.
Enlarge Image
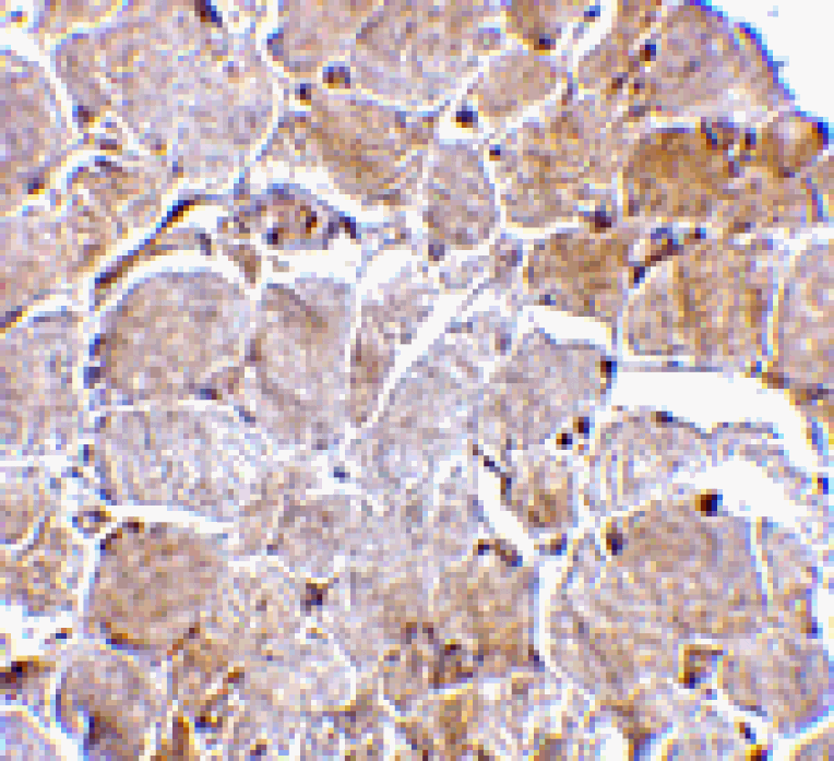
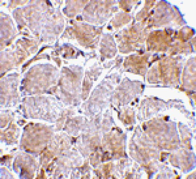
Immunohistochemistry - Anti-MAPKAP1 Antibody (A47459)
Immunohistochemistry of MAPKAP1 in human skeletal muscle tissue with MAPKAP1 antibody at 2.5 µg/mL.
Publishing research using Anti-MAPKAP1 Antibody (A47459)? Please
let us know
so that we can list the citation on this page.
Alternative products to Anti-MAPKAP1 Antibody (A47459)
(2)
A47460
Anti-MAPKAP1 Antibody
Rabbit polyclonal antibody to MAPKAP1 for ELISA, WB and IHC.
(2)
A15316
Anti-SIN1 Antibody
Rabbit polyclonal antibody to SIN1 for WB and IHC.
A46970
Anti-Sin1 Antibody
Rabbit polyclonal antibody to Sin1 for IHC.
A41132
Anti-MAPKAP1 Antibody
Rabbit polyclonal antibody to MAPKAP1 for WB.
(2)
A47460
Anti-MAPKAP1 Antibody
Rabbit polyclonal antibody to MAPKAP1 for ELISA, WB and IHC.
(2)
A15316
Anti-SIN1 Antibody
Rabbit polyclonal antibody to SIN1 for WB and IHC.
A46970
Anti-Sin1 Antibody
Rabbit polyclonal antibody to Sin1 for IHC.
A41132
Anti-MAPKAP1 Antibody
Rabbit polyclonal antibody to MAPKAP1 for WB.
Proteins predicted to interact with SIN1
Predicted protein interactions based upon String database. Revelancy score correlates with probability of interaction.
PRR5 Antibodies
99.9% Relevancy Score
GBL Antibodies
99.9% Relevancy Score
DEPTOR Antibodies
99.9% Relevancy Score
Rictor Antibodies
99.9% Relevancy Score
mTOR Antibodies
99.9% Relevancy Score
Protor-2 Antibodies
99.9% Relevancy Score
PRAS40 Antibodies
99.8% Relevancy Score
TTI1 Antibodies
99.7% Relevancy Score
Raptor Antibodies
99.6% Relevancy Score
Top