ISO 9001:2015 Certified
Live Customer Support
4.5/5 on Trustpilot
100% Quality Guarantee

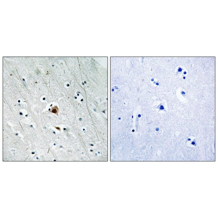
Anti-MAPKAPK2 (Phospho-Ser272) Antibody (A50388)

Rabbit polyclonal antibody to MAPKAPK2 (Phospho-Ser272) for WB and IHC.

Shipping Information

$40
Dispatched from St. Louis, MO.
Lead Time: 6-9 business days.
Name
Anti-MAPKAPK2 (Phospho-Ser272) Antibody
Description
Rabbit polyclonal antibody to MAPKAPK2 (Phospho-Ser272)
Specificity
The antibody detects endogenous levels of MAPKAPK2 only when phosphorylated at serine 272.
Applications
WB, IHC
Dilutions
Western blotting: 1:500~1:1000Immunohistochemistry: 1:50~1:100
Reactivity
Human, Mouse, Rat
Immunogen
Peptide sequence around phosphorylation site of Serine 272(A-I-S(p)-P-G) derived from Human MAPKAPK2.
Host
Rabbit
Clonality
Polyclonal
Conjugate

Unconjugated

Purification
Antibodies were produced by immunizing rabbits with synthetic phosphopeptide and KLH conjugates. Antibodies were purified by affinity-chromatography using epitope-specific phosphopeptide. Non-phospho specific antibodies were removed by chromatogramphy using non-phosphopeptide.
Concentration
1.0 mg/mL
Formulation
Supplied in phosphate-buffered saline (without Mg²? and Ca²?), pH 7.4, containing 150 mM NaCl, 0.02% sodium azide, and 50% glycerol.
Storage
Shipped at 4°C. Upon delivery aliquot and store at -20°C. Avoid freeze/thaw cycles.
Synonyms
MAP kinase-activated protein kinase 2, MAPK-activated protein kinase 2, MAPKAP-K2, MAPKAPK-2, MK-2, MK2
Disclaimer
This product is for research use only. It is not intended for diagnostic or therapeutic use.
Publishing research using Anti-MAPKAPK2 (Phospho-Ser272) Antibody (A50388)? Please let us know so that we can list the citation on this page.

Alternative products to Anti-MAPKAPK2 (Phospho-Ser272) Antibody (A50388)

Proteins predicted to interact with MAPKAP Kinase 2

Predicted protein interactions based upon String database. Revelancy score correlates with probability of interaction.
99.9% Relevancy Score
99.9% Relevancy Score
99.7% Relevancy Score
98.3% Relevancy Score
97.9% Relevancy Score
97.5% Relevancy Score
97.4% Relevancy Score
97.4% Relevancy Score
96.7% Relevancy Score