Primary Antibodies
Secondary Antibodies
Proteins & Peptides
ELISA Kits
About Us
Contact Us
Sign In/Register
0
ISO 9001:2015 Certified
Live Customer Support
4.5/5 on Trustpilot
100% Quality Guarantee
Home
Primary Antibodies
MAPKAPK5 Antibodies
Anti-MAPKAPK5 Antibody (A45027)
Anti-MAPKAPK5 Antibody (A45027)
Overview
Specifications
Images
Enlarge Image
$430
Product Datasheet
Rabbit polyclonal antibody to MAPKAPK5 for IHC.
100% Guarantee
Price Match Guarantee
Product Size:
100µl
Quantity:
1
2
3
4
5
6
7
8
9
10
Add To Cart
Request a Quotation
Custom or Bulk Request
Shipping Information
Freight/Packing Charges:
$40
Dispatched from St. Louis, MO.
Lead Time: 6-9 business days.
Specifications
Name
Anti-MAPKAPK5 Antibody
Description
Rabbit polyclonal antibody to MAPKAPK5
Specificity
The antibody detects endogenous levels of total MAPKAPK5 protein.
Applications
IHC
Reactivity
Human
Immunogen
Fusion protein corresponding to residues near the C terminal of human mitogen-activated protein kinase-activated protein kinase 5
Host
Rabbit
Clonality
Polyclonal
Conjugate
Unconjugated
Purification
Antigen affinity purification.
Concentration
2.1 mg/mL
Formulation
Rabbit IgG in pH7.4 PBS, 0.05% NaN3, 40% Glycerol.
Storage
Shipped at 4°C. Upon delivery aliquot and store at -20°C. Avoid freeze/thaw cycles.
Synonyms
MAP kinase-activated protein kinase 5, MAPK-activated protein kinase 5, MAPKAP kinase 5, MAPKAP-K5, MAPKAPK-5, MK-5, MK5, p38-regulated/activated protein kinase, PRAK
Suitable Secondaries
Goat Anti-Rabbit IgG H&L Antibody (AP) (A294874)
Goat Anti-Rabbit IgG H&L Antibody (Biotin) (A294795)
Goat Anti-Rabbit IgG H&L Antibody (FITC) (A294887)
Goat Anti-Rabbit IgG H&L Antibody (HRP) (A294888)
See all Anti-Rabbit IgG Secondaries →
Disclaimer
This product is for research use only. It is not intended for diagnostic or therapeutic use.
Scientific Validation Data
Validation Data
(1)
Enlarge Image
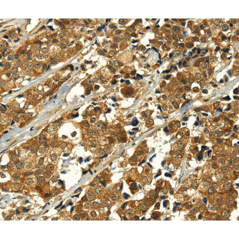
Immunohistochemistry - Anti-MAPKAPK5 Antibody (A45027)
Immunohistochemical analysis of paraffin-embedded Human breast cancer tissue using #40313 at dilution 1/35.
Publishing research using Anti-MAPKAPK5 Antibody (A45027)? Please
let us know
so that we can list the citation on this page.
Alternative products to Anti-MAPKAPK5 Antibody (A45027)
(3)
A94602
Anti-MAPKAPK5 (phospho Thr182) Antibody
Rabbit polyclonal antibody to MAPKAPK5 (phospho Thr182) for WB, IHC, IF and ELISA.
A98357
Anti-MAPKAPK5 Antibody
Rabbit polyclonal antibody to MAPKAPK5 for WB and IHC.
(2)
A39899
Anti-PRAK Antibody
Rabbit polyclonal antibody to PRAK for WB and ICC/IF.
A347396
Anti-MAPKAPK5 Antibody [25GB5805]
Mouse monoclonal [25GB5805] antibody to MAPKAPK5 for WB.
A347397
Anti-MAPKAPK5 Antibody [25GB7710]
Mouse monoclonal [25GB7710] antibody to MAPKAPK5 for WB.
A29837
Anti-PRAK Antibody
Rabbit polyclonal antibody to PRAK for WB.
(3)
A94602
Anti-MAPKAPK5 (phospho Thr182) Antibody
Rabbit polyclonal antibody to MAPKAPK5 (phospho Thr182) for WB, IHC, IF and ELISA.
A98357
Anti-MAPKAPK5 Antibody
Rabbit polyclonal antibody to MAPKAPK5 for WB and IHC.
(2)
A39899
Anti-PRAK Antibody
Rabbit polyclonal antibody to PRAK for WB and ICC/IF.
A347396
Anti-MAPKAPK5 Antibody [25GB5805]
Mouse monoclonal [25GB5805] antibody to MAPKAPK5 for WB.
A347397
Anti-MAPKAPK5 Antibody [25GB7710]
Mouse monoclonal [25GB7710] antibody to MAPKAPK5 for WB.
A29837
Anti-PRAK Antibody
Rabbit polyclonal antibody to PRAK for WB.
See all MAPKAPK5 Antibodies
Proteins predicted to interact with MAPKAPK5
Predicted protein interactions based upon String database. Revelancy score correlates with probability of interaction.
ERK3 Antibodies
99.7% Relevancy Score
HSP27 Antibodies
99.5% Relevancy Score
p38 gamma Antibodies
96.6% Relevancy Score
p38 alpha Antibodies
95.6% Relevancy Score
MAPK4 Antibodies
95.3% Relevancy Score
MAPK11 Antibodies
95.3% Relevancy Score
HSP40 Antibodies
94.7% Relevancy Score
p38 delta Antibodies
94.5% Relevancy Score
HSPB2 Antibodies
86.2% Relevancy Score
Top