Primary Antibodies
Secondary Antibodies
Proteins & Peptides
ELISA Kits
About Us
Contact Us
Sign In/Register
0
ISO 9001:2015 Certified
Live Customer Support
4.5/5 on Trustpilot
100% Quality Guarantee
Home
Primary Antibodies
MAS1 Antibodies
Anti-MAS1 Antibody (A46801)
Anti-MAS1 Antibody (A46801)
Overview
Specifications
Images
Enlarge Image
Enlarge Image
$430
Product Datasheet
Rabbit polyclonal antibody to MAS1 for IHC.
100% Guarantee
Price Match Guarantee
Product Size:
100µl
Quantity:
1
2
3
4
5
6
7
8
9
10
Add To Cart
Request a Quotation
Custom or Bulk Request
Shipping Information
Freight/Packing Charges:
$40
Dispatched from St. Louis, MO.
Lead Time: 6-9 business days.
Specifications
Name
Anti-MAS1 Antibody
Description
Rabbit polyclonal antibody to MAS1
Specificity
The antibody detects endogenous levels of total MAS1 protein.
Applications
IHC
Reactivity
Human
Immunogen
Fusion protein corresponding to a region derived from internal residues of human MAS1 oncogene
Host
Rabbit
Clonality
Polyclonal
Conjugate
Unconjugated
Purification
Antigen affinity purification.
Concentration
2.4 mg/mL
Formulation
Supplied in PBS, pH 7.3, containing 0.05% sodium azide and 50% glycerol.
Storage
Shipped at 4°C. Upon delivery aliquot and store at -20°C. Avoid freeze/thaw cycles.
Synonyms
MAS, Proto-oncogene Mas
Suitable Secondaries
Goat Anti-Rabbit IgG H&L Antibody (AP) (A294874)
Goat Anti-Rabbit IgG H&L Antibody (Biotin) (A294795)
Goat Anti-Rabbit IgG H&L Antibody (FITC) (A294887)
Goat Anti-Rabbit IgG H&L Antibody (HRP) (A294888)
See all Anti-Rabbit IgG Secondaries →
Disclaimer
This product is for research use only. It is not intended for diagnostic or therapeutic use.
Scientific Validation Data
Validation Data
(2)
Enlarge Image
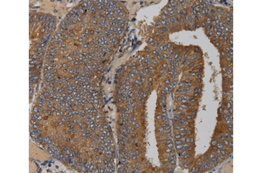
Immunohistochemistry - Anti-MAS1 Antibody (A46801)
Immunohistochemical analysis of paraffin-embedded Human colon cancer tissue using #36601 at dilution 1/50.
Enlarge Image
Immunohistochemistry - Anti-MAS1 Antibody (A46801)
Immunohistochemical analysis of paraffin-embedded Human liver cancer tissue using #36601 at dilution 1/50.
Publishing research using Anti-MAS1 Antibody (A46801)? Please
let us know
so that we can list the citation on this page.
Proteins predicted to interact with MAS1
Predicted protein interactions based upon String database. Revelancy score correlates with probability of interaction.
Angiotensinogen Antibodies
96.9% Relevancy Score
ACE2 Antibodies
66.2% Relevancy Score
SMUG1 Antibodies
65% Relevancy Score
IGF2R Antibodies
64.3% Relevancy Score
CIAPIN1 Antibodies
63.1% Relevancy Score
Neurokinin A Receptor Antibodies
59.3% Relevancy Score
Renin Antibodies
58.8% Relevancy Score
ACE Antibodies
56.3% Relevancy Score
EGFR Antibodies
51.9% Relevancy Score
Top