ISO 9001:2015 Certified
Live Customer Support
4.5/5 on Trustpilot
100% Quality Guarantee

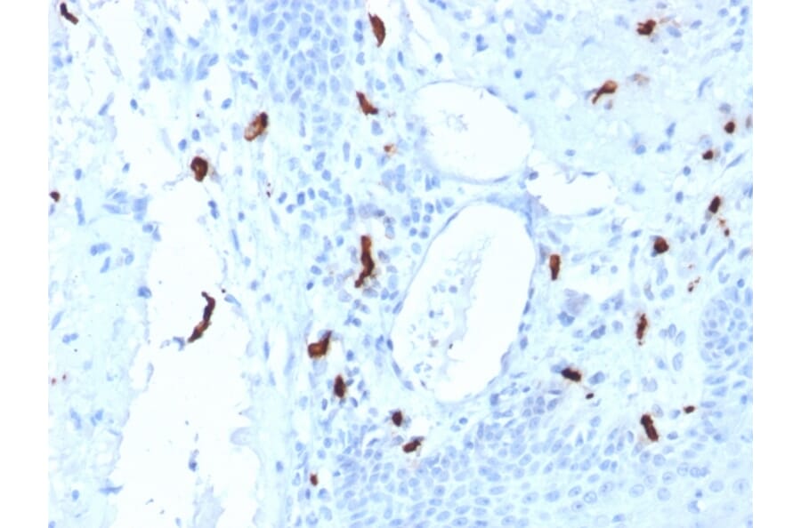
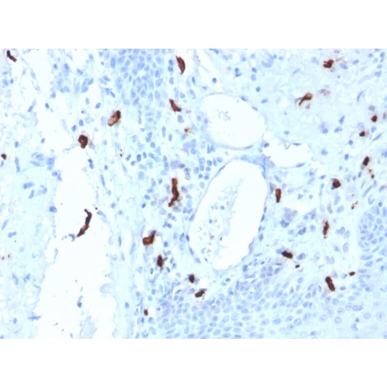
Anti-Mast Cell Tryptase Antibody [TPSAB1/1961] (A250206)

Mouse monoclonal [TPSAB1/1961] antibody to Mast Cell Tryptase for IHC-P.

Alternative Formats and ConjugatesAlternative Formats

Shipping Information

$40
Dispatched from St. Louis, MO.
Lead Time: 5-8 business days.
Name
Anti-Mast Cell Tryptase Antibody [TPSAB1/1961]
Description
Mouse monoclonal [TPSAB1/1961] antibody to Mast Cell Tryptase.
Specificity
Tryptases comprise a family of trypsin-like serine proteases (peptidase family S1). Tryptases are stored in mast cell secretory granules and basophils. Mast cells are connective tissue cells derived from blood-forming tissues that line arterial walls and secrete substances, which mediate inflammatory and immune responses. Tryptases are released into the extracellular environment and are resistant to all known endogenous proteinase inhibitors. This antibody reacts with mast cells distributed in skin, synovium, lung, and heart. This antibody does not bind with any other cell type. Human mast cell tryptase is considered to be an important marker of mast cell activation and is an important mediator of inflammation. Mastocytosis is a term collectively used for a group of disorders in which there is abnormal accumulation of mast cells in one or multiple organs. Anti-tryptase, combined with anti-CD2, anti-CD25, and anti-CD117, can be useful in identifying reactive mast cell hyperplasia, myelogenous neoplasms, mast cell leukemia, and mastocytosis.
Applications
IHC-P
Dilutions
IHC-P: 1-2 µg/ml
Reactivity
Human
Immunogen
Recombinant fragment, around amino acids 115-223, of human Tryptase protein. The exact sequence is proprietary.
Host
Mouse
Clonality
Monoclonal
Clone ID
TPSAB1/1961
Isotype
IgG1
Light Chains
kappa
Conjugate

Unconjugated

Purification
Protein A/G chromatography.
Concentration
200 µg/ml
Molecular Weight
31-36 kDa
Product Form
Liquid
Formulation
Supplied in 10mM Phosphate Buffered Saline with 0.05% BSA and 0.05% Sodium Azide.
Storage
Shipped at 4°C. Upon delivery aliquot and store at -20°C. Avoid freeze / thaw cycles.
General Notes
This monoclonal antibody is also available in a different formulation without BSA and Sodium Azide - Anti-Mast Cell Tryptase Antibody [TPSAB1/1961] - BSA and Azide free (A253386).
Synonyms
TPS1, TPS2, TPSAB1, TPSB1, Tryptase alpha-1, Tryptase alpha/beta-1, Tryptase I, Tryptase-1
Disclaimer
This product is for research use only. It is not intended for diagnostic or therapeutic use.
Publishing research using Anti-Mast Cell Tryptase Antibody [TPSAB1/1961] (A250206)? Please let us know so that we can list the citation on this page.

Alternative products to Anti-Mast Cell Tryptase Antibody [TPSAB1/1961] (A250206)

Proteins predicted to interact with Mast Cell Tryptase

Predicted protein interactions based upon String database. Revelancy score correlates with probability of interaction.
94.5% Relevancy Score
75.2% Relevancy Score
70.8% Relevancy Score
65.8% Relevancy Score
63.7% Relevancy Score
63.1% Relevancy Score
59.3% Relevancy Score
58.7% Relevancy Score