Primary Antibodies
Secondary Antibodies
Proteins & Peptides
ELISA Kits
About Us
Contact Us
Sign In/Register
0
ISO 9001:2015 Certified
Live Customer Support
4.5/5 on Trustpilot
100% Quality Guarantee
Home
Primary Antibodies
Matrilin 3 Antibodies
Anti-MATN3 Antibody (A45905)
Anti-MATN3 Antibody (A45905)
Overview
Specifications
Images
Enlarge Image
Enlarge Image
$430
Product Datasheet
Rabbit polyclonal antibody to MATN3 for IHC.
100% Guarantee
Price Match Guarantee
Product Size:
100µl
Quantity:
1
2
3
4
5
6
7
8
9
10
Add To Cart
Request a Quotation
Custom or Bulk Request
Shipping Information
Freight/Packing Charges:
$40
Dispatched from St. Louis, MO.
Lead Time: 6-9 business days.
Specifications
Name
Anti-MATN3 Antibody
Description
Rabbit polyclonal antibody to MATN3
Specificity
The antibody detects endogenous levels of total MATN3 protein.
Applications
IHC
Reactivity
Human
Immunogen
Fusion protein corresponding to residues near the C terminal of human matrilin 3
Host
Rabbit
Clonality
Polyclonal
Conjugate
Unconjugated
Purification
Antigen affinity purification.
Concentration
1.2 mg/mL
Formulation
Supplied in PBS, pH 7.3, containing 0.05% sodium azide and 50% glycerol.
Storage
Shipped at 4°C. Upon delivery aliquot and store at -20°C. Avoid freeze/thaw cycles.
Synonyms
Matrilin-3
Suitable Secondaries
Goat Anti-Rabbit IgG H&L Antibody (AP) (A294874)
Goat Anti-Rabbit IgG H&L Antibody (Biotin) (A294795)
Goat Anti-Rabbit IgG H&L Antibody (FITC) (A294887)
Goat Anti-Rabbit IgG H&L Antibody (HRP) (A294888)
See all Anti-Rabbit IgG Secondaries →
Disclaimer
This product is for research use only. It is not intended for diagnostic or therapeutic use.
Scientific Validation Data
Validation Data
(2)
Enlarge Image
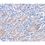
Immunohistochemistry - Anti-MATN3 Antibody (A45905)
Immunohistochemical analysis of paraffin-embedded Human cervical cancer tissue using #35809 at dilution 1/30.
Enlarge Image
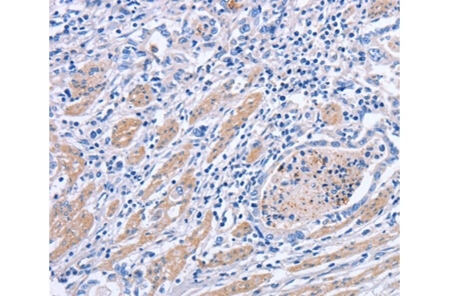
Immunohistochemistry - Anti-MATN3 Antibody (A45905)
Immunohistochemical analysis of paraffin-embedded Human gastric cancer tissue using #35809 at dilution 1/30.
Publishing research using Anti-MATN3 Antibody (A45905)? Please
let us know
so that we can list the citation on this page.
Alternative products to Anti-MATN3 Antibody (A45905)
(2)
A48824
Anti-MATN3 Antibody
Rabbit polyclonal antibody to MATN3 for ELISA, WB and ICC/IF.
(2)
A48825
Anti-MATN3 Antibody
Rabbit polyclonal antibody to MATN3 for ELISA, WB and ICC/IF.
(2)
A48824
Anti-MATN3 Antibody
Rabbit polyclonal antibody to MATN3 for ELISA, WB and ICC/IF.
(2)
A48825
Anti-MATN3 Antibody
Rabbit polyclonal antibody to MATN3 for ELISA, WB and ICC/IF.
Proteins predicted to interact with Matrilin 3
Predicted protein interactions based upon String database. Revelancy score correlates with probability of interaction.
FRZB Antibodies
95.3% Relevancy Score
Asporin Antibodies
94% Relevancy Score
COL9A3 Antibodies
92.9% Relevancy Score
CTDSP2 Antibodies
92.6% Relevancy Score
COMP Antibodies
92.3% Relevancy Score
SLC26A2 Antibodies
90.7% Relevancy Score
COL9A1 Antibodies
89.1% Relevancy Score
GDF 5 Antibodies
76.5% Relevancy Score
Aggrecan Antibodies
73% Relevancy Score
Top