Primary Antibodies
Secondary Antibodies
Proteins & Peptides
ELISA Kits
About Us
Contact Us
Sign In/Register
0
ISO 9001:2015 Certified
Live Customer Support
4.5/5 on Trustpilot
100% Quality Guarantee
Home
Primary Antibodies
Matrilin 4 Antibodies
Anti-MATN4 Antibody (A47993)
Anti-MATN4 Antibody (A47993)
Overview
Specifications
Images
Enlarge Image
Enlarge Image
$780
Product Datasheet
Rabbit polyclonal antibody to MATN4 for ELISA, WB and IHC.
100% Guarantee
Price Match Guarantee
Product Size:
100µl
Quantity:
1
2
3
4
5
6
7
8
9
10
Add To Cart
Request a Quotation
Custom or Bulk Request
Shipping Information
Freight/Packing Charges:
$40
Dispatched from St. Louis, MO.
Lead Time: 6-9 business days.
Specifications
Name
Anti-MATN4 Antibody
Description
Rabbit polyclonal antibody to MATN4
Applications
ELISA
,
WB
,
IHC
Reactivity
Human, Mouse, Rat
Immunogen
Raised against a 13 amino acid peptide near the amino terminus of human MATN4.
Host
Rabbit
Clonality
Polyclonal
Conjugate
Unconjugated
Purification
Affinity chromatography purified via peptide column
Formulation
Supplied in phosphate-buffered saline with 0.02% Sodium Azide.
Storage
Shipped at 4°C. Upon delivery aliquot and store at -20°C. Avoid freeze/thaw cycles.
Synonyms
Matrilin-4
Suitable Secondaries
Goat Anti-Rabbit IgG H&L Antibody (AP) (A294874)
Goat Anti-Rabbit IgG H&L Antibody (Biotin) (A294795)
Goat Anti-Rabbit IgG H&L Antibody (FITC) (A294887)
Goat Anti-Rabbit IgG H&L Antibody (HRP) (A294888)
See all Anti-Rabbit IgG Secondaries →
Disclaimer
This product is for research use only. It is not intended for diagnostic or therapeutic use.
Scientific Validation Data
Validation Data
(2)
Enlarge Image
Anti-MATN4 Antibody (A47993)
Western blot analysis of MATN4 in rat brain tissue lysate with MATN4 antibody at 1 µg/mL in (A) the absence and (B) the presence of blocking peptide.
Enlarge Image
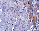
Immunohistochemistry - Anti-MATN4 Antibody (A47993)
Immunohistochemistry of MATN4 in mouse brain tissue with MATN4 antibody at 2.5 µg/mL.
Publishing research using Anti-MATN4 Antibody (A47993)? Please
let us know
so that we can list the citation on this page.
Alternative products to Anti-MATN4 Antibody (A47993)
A14173
Anti-MATN4 Antibody
Rabbit polyclonal antibody to MATN4 for WB and IHC.
A43151
Anti-MATN4 Antibody
Rabbit polyclonal antibody to MATN4 for WB.
A14173
Anti-MATN4 Antibody
Rabbit polyclonal antibody to MATN4 for WB and IHC.
A43151
Anti-MATN4 Antibody
Rabbit polyclonal antibody to MATN4 for WB.
Proteins predicted to interact with Matrilin 4
Predicted protein interactions based upon String database. Revelancy score correlates with probability of interaction.
MATN1 Antibodies
76.3% Relevancy Score
COL9A3 Antibodies
67.9% Relevancy Score
Lumican Antibodies
67.1% Relevancy Score
Aggrecan Antibodies
65.2% Relevancy Score
COL9A1 Antibodies
61.4% Relevancy Score
COMP Antibodies
58% Relevancy Score
LECT1 Antibodies
51.6% Relevancy Score
WFDC12 Antibodies
48.3% Relevancy Score
Decorin Antibodies
47.6% Relevancy Score
Top