Synthetic peptide within amino acids 800 and the C-terminus of human Matrin 3 (NP_061322. 2).
Host
Rabbit
Clonality
Polyclonal
Isotype
IgG
Conjugate
Unconjugated
Purification
Antigen affinity purification.
Concentration
200 µg/ml
Product Form
Liquid
Formulation
Supplied in Tris-Buffered Saline with 0.1% BSA and 0.09% Sodium Azide.
Storage
Shipped at 4°C. Upon delivery aliquot and store at -20°C. Avoid freeze/thaw cycles.
General Notes
This antibody was affinity purified using the immunising peptide immobilized on solid support. Immunoglobulin concentration was determined by extinction coefficient: absorbance at 280 nm of 1. 4 equals 1.0 mg of IgG.
Sample: FFPE section of human stomach carcinoma. Antibody: Anti-Matrin 3 Antibody (A295660) was used at a dilution of 1:400 (0.5µg/ml). Detection: Red-fluorescent goat anti-rabbit IgG-heavy and light chain cross-adsorbed Antibody DyLight® 594 Conjugated used at a dilution of 1:100.
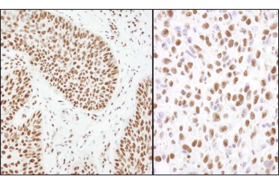
Sample: FFPE section of human laryngeal squamous cell carcinoma (left) and mouse squamous cell carcinoma (right). Antibody: Anti-Matrin 3 Antibody (A295660) was used at a dilution of 1:1,000 (0.2µg/ml). Detection: DAB.
Samples: Whole cell lysate (1 mg for IP, 1/4 of IP loaded) from HeLa cells. Antibodies: Anti-Matrin 3 Antibody (A295660) was used for IP at 3 µg/mg lysate. Matrin 3 was also immunoprecipitated using 2 other anti-Matrin 3 antibodies. For blotting immunoprecipitated Matrin 3, Anti-Matrin 3 Antibody (A295660) was used at 1 µg/ml. Detection: Chemiluminescence with exposure time of 3 seconds.
Samples: Whole cell lysate from HeLa (5, 15 and 50 µg), HEK293T (T, 50 µg) and mouse NIH 3T3 (M, 50 µg) cells. Antibodies: Anti-Matrin 3 Antibody (A295660) was used for WB at 0.04 µg/ml. Detection: Chemiluminescence with exposure time of 30 seconds.
Publishing research using Anti-Matrin 3 Antibody (A295660)? Please let us know so that we can list the citation on this page.
Alternative products to Anti-Matrin 3 Antibody (A295660)