ISO 9001:2015 Certified
Live Customer Support
4.5/5 on Trustpilot
100% Quality Guarantee

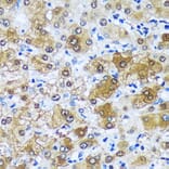
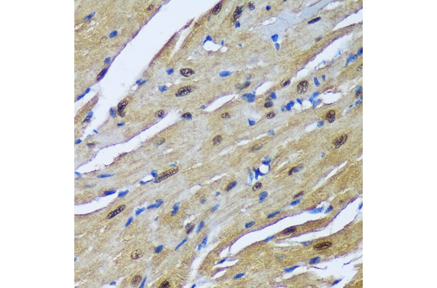
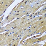
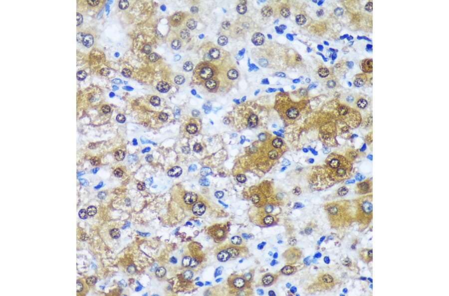
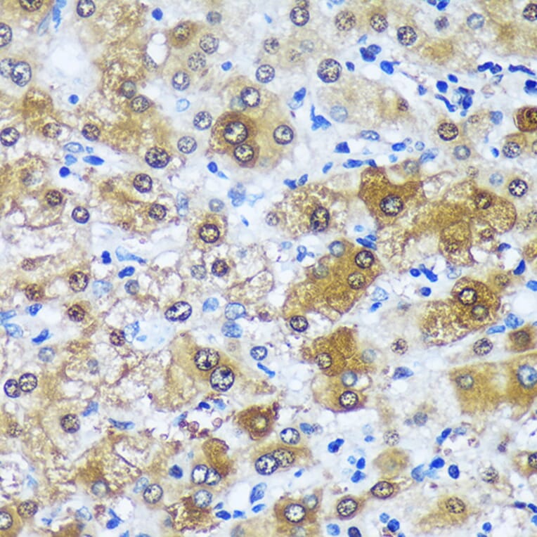
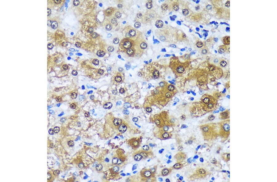
Anti-MBNL1 Antibody (A16054)

Rabbit polyclonal antibody to MBNL1 for WB, IHC and ICC/IF.

Shipping Information

$40
Dispatched from St. Louis, MO.
Lead Time: 7-10 business days.
Name
Anti-MBNL1 Antibody
Description
Rabbit polyclonal antibody to MBNL1.
Applications
WB, IHC, ICC/IF
Dilutions
WB: 1:500-1:2,000, IHC: 1:50-1:200, ICC/IF: 1:50-1:100
Reactivity
Human, Mouse, Rat
Immunogen
Recombinant fusion protein containing a sequence corresponding to amino acids 1-382 of human MBNL1 (NP_066368.2).
Sequence
MAVSVTPIRDTKWLTLEVCREFQRGTCSRPDTECKFAHPSKSCQVENGRVIACFDSLKGRCSRENCKYLHPPPHLKTQLEINGRNNLIQQKNMAMLAQQMQLANAMMPGAPLQPVPMFSVAPSLATNASAAAFNPYLGPVSPSLVPAEILPTAPMLVTGNPGVPVPAAAAAAAQKLMRTDRLEVCREYQRGNCNRGENDCRFAHPADSTMIDTNDNTVTVCMDYIKGRCSREKCKYFHPPAHLQAKIKAAQYQVNQAAAAQAAATAAAMGIPQAVLPPLPKRPALEKTNGATAVFNTGIFQYQQALANMQLQQHTAFLPPGSILCMTPATSVVPMVHGATPATVSAATTSATSVPFAATATANQIPIISAEHLTSHKYVTQM
Host
Rabbit
Clonality
Polyclonal
Isotype
IgG
Conjugate

Unconjugated

Purification
Affinity purification.
Concentration
Lot Specific
Molecular Weight
42 kDa
Product Form
Liquid
Formulation
Supplied in Phosphate Buffered Saline, pH 7.3, with 50% Glycerol and 0.02% Sodium Azide.
Storage
Shipped at 4°C. Upon delivery aliquot and store at -20°C. Avoid freeze/thaw cycles.
Synonyms
EXP, KIAA0428, MBNL, Muscleblind-like protein 1, Triplet-expansion RNA-binding protein
Disclaimer
This product is for research use only. It is not intended for diagnostic or therapeutic use.
Publishing research using Anti-MBNL1 Antibody (A16054)? Please let us know so that we can list the citation on this page.

Alternative products to Anti-MBNL1 Antibody (A16054)

Proteins predicted to interact with MBNL1

Predicted protein interactions based upon String database. Revelancy score correlates with probability of interaction.
98.5% Relevancy Score
96% Relevancy Score
93.9% Relevancy Score
93.6% Relevancy Score
93.2% Relevancy Score
92.4% Relevancy Score
90.1% Relevancy Score
89.6% Relevancy Score
87.6% Relevancy Score