Primary Antibodies
Secondary Antibodies
Proteins & Peptides
ELISA Kits
About Us
Contact Us
Sign In/Register
0
ISO 9001:2015 Certified
Live Customer Support
4.5/5 on Trustpilot
100% Quality Guarantee
Home
Primary Antibodies
MBNL3 Antibodies
Anti-MBNL3 Antibody (A46023)
Anti-MBNL3 Antibody (A46023)
Overview
Specifications
Images
Enlarge Image
Enlarge Image
$430
Product Datasheet
Rabbit polyclonal antibody to MBNL3 for IHC.
100% Guarantee
Price Match Guarantee
Product Size:
100µl
Quantity:
1
2
3
4
5
6
7
8
9
10
Add To Cart
Request a Quotation
Custom or Bulk Request
Shipping Information
Freight/Packing Charges:
$40
Dispatched from St. Louis, MO.
Lead Time: 6-9 business days.
Specifications
Name
Anti-MBNL3 Antibody
Description
Rabbit polyclonal antibody to MBNL3
Specificity
The antibody detects endogenous levels of total MBNL3 protein.
Applications
IHC
Reactivity
Human
Immunogen
Fusion protein corresponding to a region derived from internal residues of human muscleblind-like splicing regulator 3
Host
Rabbit
Clonality
Polyclonal
Conjugate
Unconjugated
Purification
Antigen affinity purification.
Concentration
1.8 mg/mL
Formulation
Supplied in PBS, pH 7.3, containing 0.05% sodium azide and 50% glycerol.
Storage
Shipped at 4°C. Upon delivery aliquot and store at -20°C. Avoid freeze/thaw cycles.
Synonyms
CHCR, Cys3His CCG1-required protein, MBLX39, MBXL, Muscleblind-like protein 3, Muscleblind-like X-linked protein, Protein HCHCR
Suitable Secondaries
Goat Anti-Rabbit IgG H&L Antibody (AP) (A294874)
Goat Anti-Rabbit IgG H&L Antibody (Biotin) (A294795)
Goat Anti-Rabbit IgG H&L Antibody (FITC) (A294887)
Goat Anti-Rabbit IgG H&L Antibody (HRP) (A294888)
See all Anti-Rabbit IgG Secondaries →
Disclaimer
This product is for research use only. It is not intended for diagnostic or therapeutic use.
Scientific Validation Data
Validation Data
(2)
Enlarge Image
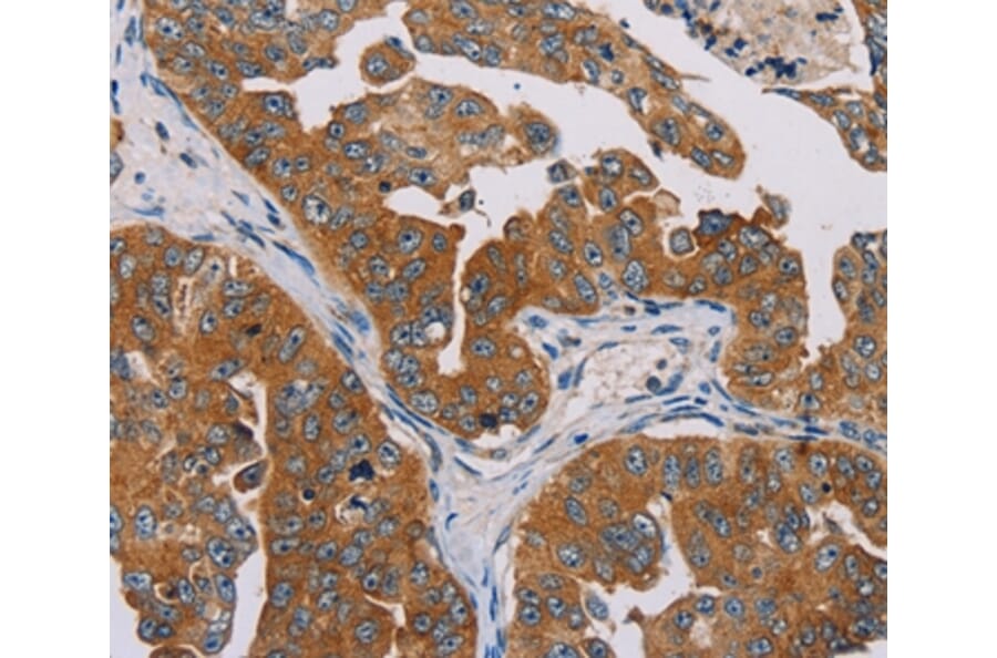
Immunohistochemistry - Anti-MBNL3 Antibody (A46023)
Immunohistochemical analysis of paraffin-embedded Human thyroid cancer tissue using #36603 at dilution 1/30.
Enlarge Image
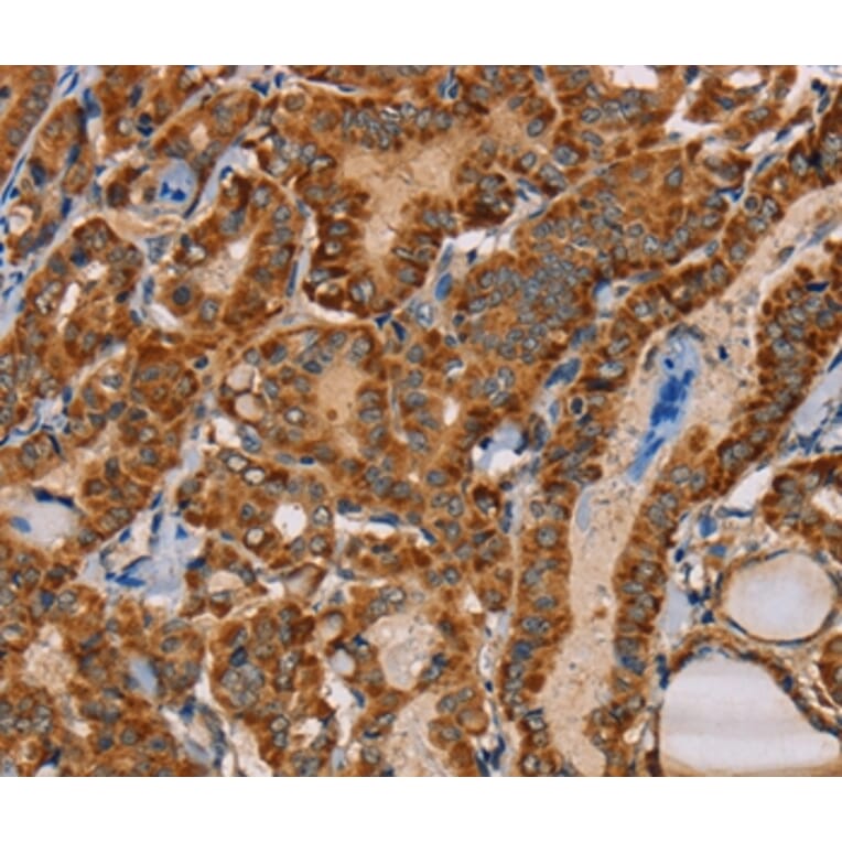
Immunohistochemistry - Anti-MBNL3 Antibody (A46023)
Immunohistochemical analysis of paraffin-embedded Human cervical cancer tissue using #36603 at dilution 1/30.
Publishing research using Anti-MBNL3 Antibody (A46023)? Please
let us know
so that we can list the citation on this page.
Alternative products to Anti-MBNL3 Antibody (A46023)
(3)
A252905
Anti-MBNL3 Antibody [PCRP-MBNL3-1D11] - BSA and Azide free
Mouse monoclonal [PCRP-MBNL3-1D11] antibody to MBNL3 for Flow Cytometry.
(3)
A249725
Anti-MBNL3 Antibody [PCRP-MBNL3-1D11]
Mouse monoclonal [PCRP-MBNL3-1D11] antibody to MBNL3 for Flow Cytometry.
(3)
A252905
Anti-MBNL3 Antibody [PCRP-MBNL3-1D11] - BSA and Azide free
Mouse monoclonal [PCRP-MBNL3-1D11] antibody to MBNL3 for Flow Cytometry.
(3)
A249725
Anti-MBNL3 Antibody [PCRP-MBNL3-1D11]
Mouse monoclonal [PCRP-MBNL3-1D11] antibody to MBNL3 for Flow Cytometry.
Proteins predicted to interact with MBNL3
Predicted protein interactions based upon String database. Revelancy score correlates with probability of interaction.
CNBP Antibodies
97.1% Relevancy Score
CUGBP1 Antibodies
90.3% Relevancy Score
CLCN1 Antibodies
89.6% Relevancy Score
QKI Antibodies
89.1% Relevancy Score
DMPK Antibodies
84.5% Relevancy Score
MBNL1 Antibodies
78.6% Relevancy Score
Elav-type RNA-Binding Protein ETR3 Antibodies
62.1% Relevancy Score
ADAR1 Antibodies
60.6% Relevancy Score
FMRP Antibodies
59.5% Relevancy Score
Top