Western Blot - Anti-MCM2 Antibody [ARC2596] (A306885)
Western blot analysis of extracts of various cell lines, using Anti-MCM2 Antibody [ARC2596] (A306885) at 1:1,000 dilution. The secondary antibody was Goat Anti-Rabbit IgG H&L Antibody (HRP) at 1:10,000 dilution. Lysates/proteins were present at 25µg per lane. The blocking buffer used was 3% non-fat dry milk in TBST. Detection was with a ECL Basic Kit. Exposure time: 0. 3s.
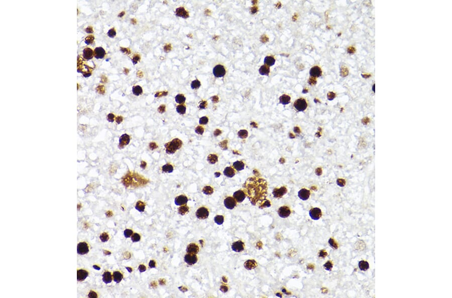
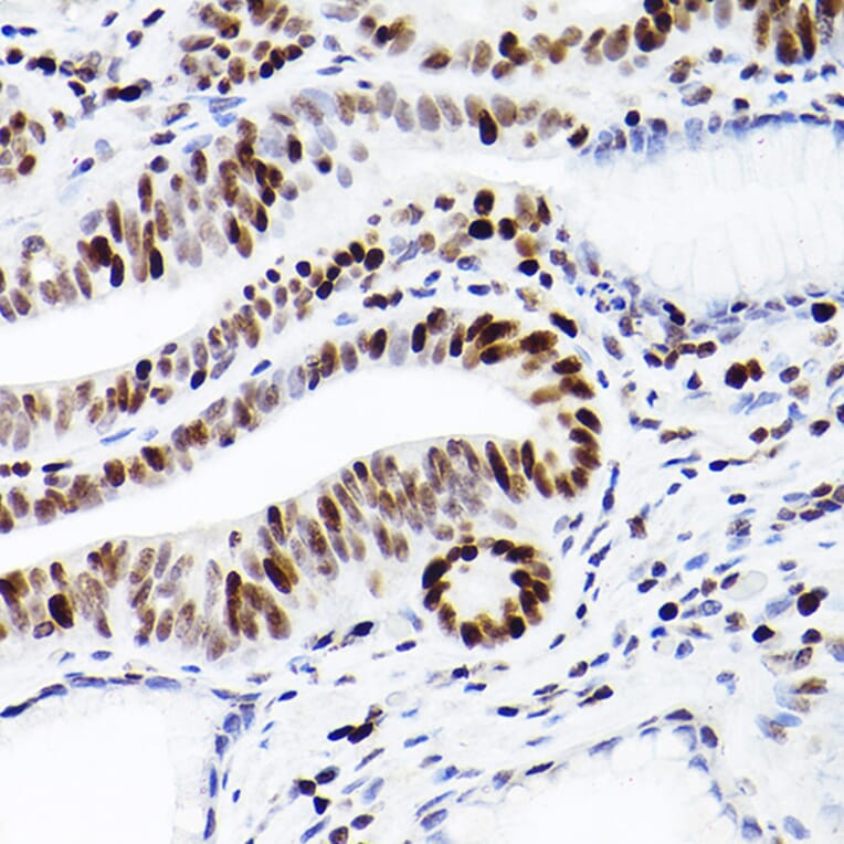
Immunohistochemistry analysis of paraffin-embedded human colon carcinoma tissue using Anti-MCM2 Antibody [ARC2596] (A306885) at a dilution of 1:100 (40x lens). Perform high pressure antigen retrieval with 10 mM citrate buffer pH 6.0 before commencing with IHC staining protocol.
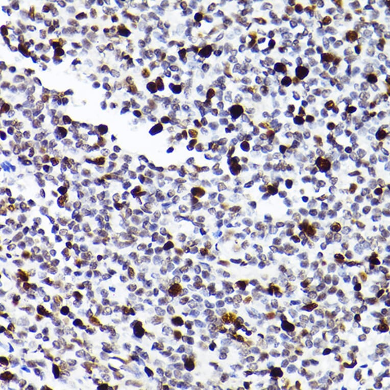
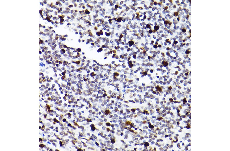
Immunohistochemistry analysis of paraffin-embedded human tonsil using Anti-MCM2 Antibody [ARC2596] (A306885) at a dilution of 1:100 (40x lens). Perform high pressure antigen retrieval with 10 mM citrate buffer pH 6.0 before commencing with IHC staining protocol.
Immunohistochemistry analysis of paraffin-embedded mouse liver using Anti-MCM2 Antibody [ARC2596] (A306885) at a dilution of 1:100 (40x lens). Perform high pressure antigen retrieval with 10 mM citrate buffer pH 6.0 before commencing with IHC staining protocol.
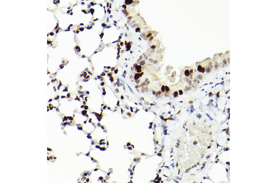
Immunohistochemistry analysis of paraffin-embedded mouse lung using Anti-MCM2 Antibody [ARC2596] (A306885) at a dilution of 1:100 (40x lens). Perform high pressure antigen retrieval with 10 mM citrate buffer pH 6.0 before commencing with IHC staining protocol.
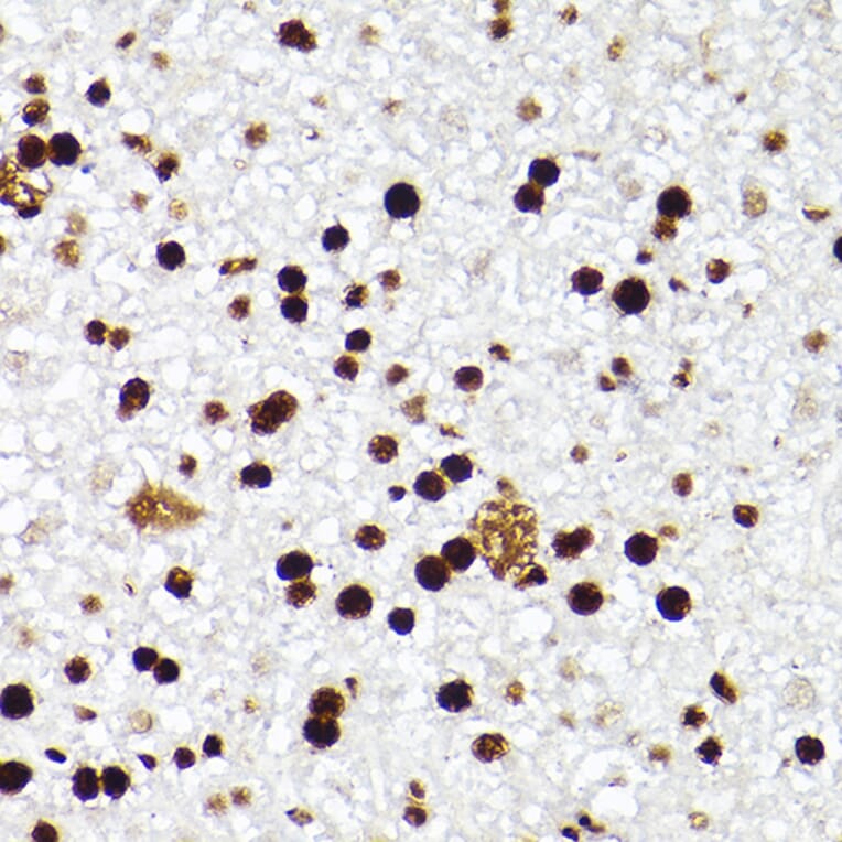
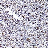
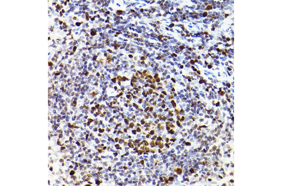
Immunohistochemistry analysis of paraffin-embedded rat spleen using Anti-MCM2 Antibody [ARC2596] (A306885) at a dilution of 1:100 (40x lens). Perform high pressure antigen retrieval with 10 mM citrate buffer pH 6.0 before commencing with IHC staining protocol.
Immunofluorescence analysis of NIH/3T3 cells using Anti-MCM2 Antibody [ARC2596] (A306885) at a dilution of 1:100 (40x lens). DAPI was used to stain the cell nuclei (blue).
Immunofluorescence analysis of PC-12 cells using Anti-MCM2 Antibody [ARC2596] (A306885) at a dilution of 1:100 (40x lens). DAPI was used to stain the cell nuclei (blue).
Immunofluorescence analysis of U2OS cells using Anti-MCM2 Antibody [ARC2596] (A306885) at a dilution of 1:100 (40x lens). DAPI was used to stain the cell nuclei (blue).