ISO 9001:2015 Certified
Live Customer Support
4.5/5 on Trustpilot
100% Quality Guarantee

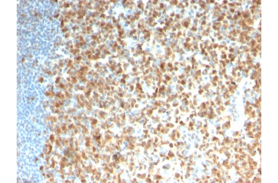
Recombinant Anti-MCM7 Antibody [rMCM7/1468] - BSA and Azide free (A252485)

Recombinant mouse monoclonal [rMCM7/1468] antibody to MCM7 for WB and IHC-P.

Alternative Formats and ConjugatesAlternative Formats

Shipping Information

$40
Dispatched from St. Louis, MO.
Lead Time: 5-8 business days.
Name
Anti-MCM7 Antibody [rMCM7/1468] - BSA and Azide free
Description
Recombinant mouse monoclonal [rMCM7/1468] antibody to MCM7.
Specificity
The specificity of this monoclonal antibody to its intended target was validated by HuProtTM Array, containing more than 19,000 full-length human proteins. MCM7 is one of the highly conserved mini-chromosome maintenance proteins (MCM) that is essential for the initiation of eukaryotic genome replication. The hexameric protein complex formed by the MCM proteins is a key component of the pre-replication complex and may be involved in the formation of replication forks and in the recruitment of other DNA replication related proteins. The MCM complex consisting of this protein and MCM2, 4 and 6 proteins possesses DNA helicase activity, and may act as a DNA unwinding enzyme. Cyclin D1-dependent kinase, CDK4, is found to associate with this protein, and may regulate the binding of this protein with the tumor suppressor protein RB1/RB.
Applications
WB, IHC-P
Dilutions
WB: 1-2 µg/ml, IHC-P: 1-2 µg/ml
Reactivity
Human
Immunogen
Recombinant fragment, around amino acids 195-319, of human MCM7 protein. The exact sequence is proprietary.
Host
Mouse
Clonality
Monoclonal
Clone ID
rMCM7/1468
Isotype
IgG1
Light Chains
kappa
Conjugate

Unconjugated

Purification
Protein A/G chromatography.
Concentration
1 mg/ml
Molecular Weight
88 kDa
Product Form
Liquid
Formulation
Supplied in 10mM Phosphate Buffered Saline; without Sodium Azide and carrier free.
Storage
Shipped at 4°C. Upon delivery aliquot and store at -20°C. Avoid freeze / thaw cycles.
General Notes
This monoclonal antibody is also available in a different formulation with BSA and Sodium Azide - Anti-MCM7 Antibody [rMCM7/1468] (A249305).
Synonyms
CDC47, CDC47 homolog, DNA replication licensing factor MCM7, MCM2, P1.1-MCM3
Disclaimer
This product is for research use only. It is not intended for diagnostic or therapeutic use.
Publishing research using Recombinant Anti-MCM7 Antibody [rMCM7/1468] - BSA and Azide free (A252485)? Please let us know so that we can list the citation on this page.

Alternative products to Anti-MCM7 Antibody [rMCM7/1468] - BSA and Azide free (A252485)

Proteins predicted to interact with MCM7

Predicted protein interactions based upon String database. Revelancy score correlates with probability of interaction.
99.9% Relevancy Score
99.9% Relevancy Score
99.9% Relevancy Score
99.9% Relevancy Score
99.9% Relevancy Score
99.9% Relevancy Score
99.9% Relevancy Score
99.9% Relevancy Score
99.9% Relevancy Score