ISO 9001:2015 Certified
Live Customer Support
4.5/5 on Trustpilot
100% Quality Guarantee

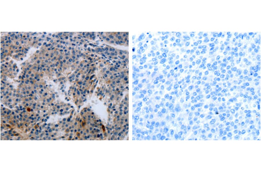
Anti-MCMBP Antibody (A48141)

Rabbit polyclonal antibody to MCMBP for ELISA, WB and IHC.

Shipping Information

$40
Dispatched from St. Louis, MO.
Lead Time: 6-9 business days.
Name
Anti-MCMBP Antibody
Description
Rabbit polyclonal antibody to MCMBP
Specificity
The antibody detects endogenous level of total MCMBP protein.
Applications
ELISA, WB, IHC
Reactivity
Human, Rat
Immunogen
Synthetic peptide peptide corresponding to a region derived from 176-190 amino acids of human minichromosome maintenance complex binding protein
Host
Rabbit
Clonality
Polyclonal
Conjugate

Unconjugated

Formulation
Supplied in phosphate-buffered saline (without Mg²? and Ca²?), pH 7.3, containing 150 mM NaCl, 0.05% sodium azide, and 50% glycerol.
Storage
Shipped at 4°C. Upon delivery aliquot and store at -20°C. Avoid freeze/thaw cycles.
Synonyms
C10orf119, MCM-binding protein, Mini-chromosome maintenance complex-binding protein
Disclaimer
This product is for research use only. It is not intended for diagnostic or therapeutic use.
Publishing research using Anti-MCMBP Antibody (A48141)? Please let us know so that we can list the citation on this page.

Alternative products to Anti-MCMBP Antibody (A48141)

Proteins predicted to interact with MCM-BP

Predicted protein interactions based upon String database. Revelancy score correlates with probability of interaction.
99.8% Relevancy Score
99.7% Relevancy Score
99.6% Relevancy Score
99.5% Relevancy Score
98.8% Relevancy Score
93.2% Relevancy Score
89.9% Relevancy Score
86.5% Relevancy Score
85.1% Relevancy Score