ISO 9001:2015 Certified
Live Customer Support
4.5/5 on Trustpilot
100% Quality Guarantee

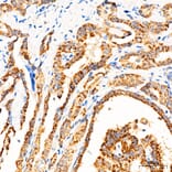
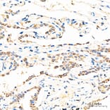
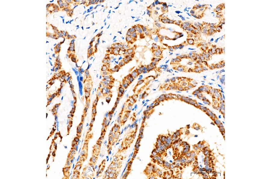
Anti-MECR Antibody (A329598)

Rabbit polyclonal antibody to MECR for IHC-P and ELISA.

Shipping Information

$40
Dispatched from St. Louis, MO.
Lead Time: 7-10 business days.
Name
Anti-MECR Antibody
Description
Rabbit polyclonal antibody to MECR.
Applications
IHC-P, ELISA
Dilutions
IHC-P: 1:50-1:200
Reactivity
Human
Immunogen
A recombinant protein corresponding to amino acids 54-373 of human MECR.
Sequence
PAKVVELKNLELAAVRGSDVRVKMLAAPINPSDINMIQGNYGFLPELPAVGGNEGVAQVVAVGSNVTGLKPGDWVIPANAGLGTWRTEAVFSEEALIQVPSDIPLQSAATLGVNPCTAYRMLMDFEQLQPGDSVIQNASNSGVGQAVIQIAAALGLRTINVVRDRPDIQKLSDRLKSLGAEHVITEEELRRPEMKNFFKDMPQPRLALNCVGGKSSTELLRQLARGGTMVTYGGMAKQPVVASVSLLIFKDLKLRGFWLSQWKKDHSPDQFKELILTLCDLIRRGQLTAPACSQVPLQDYQSALEASMKPFISSKQILTM
Host
Rabbit
Clonality
Polyclonal
Isotype
IgG
Conjugate

Unconjugated

Purification
Affinity purification.
Concentration
Lot Specific
Molecular Weight
40kDa
Predicted MW
40 kDa
Product Form
Liquid
Formulation
Supplied in Phosphate Buffered Saline, pH 7.3, with 50% Glycerol and 0.05% ProClin 300.
Storage
Shipped at 4°C. Upon delivery aliquot and store at -20°C. Avoid freeze/thaw cycles.
Synonyms
2-enoyl thioester reductase, Enoyl-[acyl-carrier-protein] reductase, mitochondrial, HsNrbf-1, NBRF1, NRBF-1, Nuclear receptor-binding factor 1
Disclaimer
This product is for research use only. It is not intended for diagnostic or therapeutic use.
Publishing research using Anti-MECR Antibody (A329598)? Please let us know so that we can list the citation on this page.

Proteins predicted to interact with MECR

Predicted protein interactions based upon String database. Revelancy score correlates with probability of interaction.
98.3% Relevancy Score
96.5% Relevancy Score
95.9% Relevancy Score
95% Relevancy Score
94.4% Relevancy Score
93.7% Relevancy Score
93.5% Relevancy Score
93.3% Relevancy Score
93.3% Relevancy Score