ISO 9001:2015 Certified
Live Customer Support
4.5/5 on Trustpilot
100% Quality Guarantee

Anti-MED22 Antibody [PCRP-MED22-2A7] - BSA and Azide free (A278405)

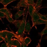
Mouse monoclonal [PCRP-MED22-2A7] antibody to MED22 for ELISA, IF, IP and Flow Cytometry.

Alternative Formats and ConjugatesAlternative Formats

Shipping Information

$40
Dispatched from St. Louis, MO.
Lead Time: 5-8 business days.
Name
Anti-MED22 Antibody [PCRP-MED22-2A7] - BSA and Azide free
Description
Mouse monoclonal [PCRP-MED22-2A7] antibody to MED22.
Specificity
Med22 is a subunit of the RNA polymerase II (Pol II) transcriptional mediator complex. The mediator complex is a coactivator involved in the regulated transcription of Pol II-dependent genes. Functioning as a bridge to convey information from gene-specific regulatory proteins to the basal Pol II transcription machinery, the mediator complex is recruited to promoter regions by directly interacting with regulatory proteins. The mediator complex also serves as a scaffold for the assembly of a functional pre-initiation complex with Pol II and other general transcription factors. Med22 (mediator complex subunit 22), also known as SURF5 (surfeit locus protein 5), is a ubiquitously expressed 200 amino acid nuclear protein that is one of several components of the mediator complex. There are two isoforms of Med22 that are produced as a result of alternative splicing events.
Applications
ELISA, IF, IP, Flow Cytometry
Dilutions
IF: 0.5-2 µg/ml, IP: 1-2µg / 100-500µg proteins, Flow Cytometry: 0.5-2 µg/million cells
Reactivity
Human
Immunogen
Recombinant full-length human MED22 protein.
Host
Mouse
Clonality
Monoclonal
Clone ID
PCRP-MED22-2A7
Isotype
IgG2b
Conjugate

Unconjugated

Purification
Protein A/G chromatography.
Concentration
1 mg/ml
Molecular Weight
22 kDa
Product Form
Liquid
Formulation
Supplied in 10mM Phosphate Buffered Saline; without Sodium Azide and carrier free.
Storage
Shipped at 4°C. Upon delivery aliquot and store at -20°C. Avoid freeze / thaw cycles.
General Notes
This monoclonal antibody is also available in a different formulation with BSA and Sodium Azide - Anti-MED22 Antibody [PCRP-MED22-2A7] (A277817).
Synonyms
Mediator complex subunit 22, Mediator of RNA polymerase II transcription subunit 22, Surf-5, Surfeit locus protein 5
Disclaimer
This product is for research use only. It is not intended for diagnostic or therapeutic use.
Publishing research using Anti-MED22 Antibody [PCRP-MED22-2A7] - BSA and Azide free (A278405)? Please let us know so that we can list the citation on this page.

Alternative products to Anti-MED22 Antibody [PCRP-MED22-2A7] - BSA and Azide free (A278405)

Proteins predicted to interact with SURF5

Predicted protein interactions based upon String database. Revelancy score correlates with probability of interaction.
99.9% Relevancy Score
99.9% Relevancy Score
99.9% Relevancy Score
99.9% Relevancy Score
99.9% Relevancy Score
99.9% Relevancy Score
99.9% Relevancy Score
99.9% Relevancy Score
99.9% Relevancy Score