Primary Antibodies
Secondary Antibodies
Proteins & Peptides
ELISA Kits
About Us
Contact Us
Sign In/Register
0
ISO 9001:2015 Certified
Live Customer Support
4.5/5 on Trustpilot
100% Quality Guarantee
Home
Primary Antibodies
MED28 Antibodies
Anti-MED28 Antibody (A38295)
Anti-MED28 Antibody (A38295)
Overview
Specifications
Images
Enlarge Image
Enlarge Image
Enlarge Image
$430
Product Datasheet
Rabbit polyclonal antibody to MED28 for WB and IHC.
100% Guarantee
Price Match Guarantee
Product Size:
100µl
Quantity:
1
2
3
4
5
6
7
8
9
10
Add To Cart
Request a Quotation
Custom or Bulk Request
Shipping Information
Freight/Packing Charges:
$40
Dispatched from St. Louis, MO.
Lead Time: 6-9 business days.
Specifications
Name
Anti-MED28 Antibody
Description
Rabbit polyclonal antibody to MED28
Specificity
The antibody detects endogenous levels of total MED28 protein.
Applications
WB
,
IHC
Reactivity
Human
Immunogen
Full length fusion protein of human MED28
Host
Rabbit
Clonality
Polyclonal
Conjugate
Unconjugated
Purification
Antigen affinity purification.
Concentration
1.6 mg/mL
Formulation
Rabbit IgG in pH7.4 PBS, 0.05% NaN3, 40% Glycerol.
Storage
Shipped at 4°C. Upon delivery aliquot and store at -20°C. Avoid freeze/thaw cycles.
Synonyms
EG1, Endothelial-derived protein 1, Magicin, Mediator complex subunit 28, Mediator of RNA polymerase II transcription subunit 28, Merlin and Grb2-interacting cytoskeletal protein, Tumor angiogenesis marker EG-1
Suitable Secondaries
Goat Anti-Rabbit IgG H&L Antibody (AP) (A294874)
Goat Anti-Rabbit IgG H&L Antibody (Biotin) (A294795)
Goat Anti-Rabbit IgG H&L Antibody (FITC) (A294887)
Goat Anti-Rabbit IgG H&L Antibody (HRP) (A294888)
See all Anti-Rabbit IgG Secondaries →
Disclaimer
This product is for research use only. It is not intended for diagnostic or therapeutic use.
Scientific Validation Data
Validation Data
(3)
Enlarge Image
Anti-MED28 Antibody (A38295)
Gel: 12% SDS-PAGE Lysate: 40 μg Lane: Human placenta tissue Primary antibody: 1/400 dilution Secondary antibody: Goat anti rabbit IgG at 1/8000 dilution Exposure time: 30 seconds
Enlarge Image
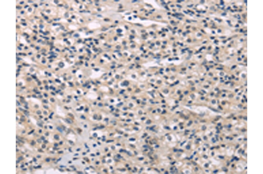
Immunohistochemistry - Anti-MED28 Antibody (A38295)
Immunohistochemical analysis of paraffin-embedded Human prostate cancer tissue using #43339 at dilution 1/30.
Enlarge Image
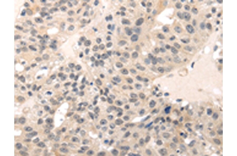
Immunohistochemistry - Anti-MED28 Antibody (A38295)
Immunohistochemical analysis of paraffin-embedded Human breast cancer tissue using #43339 at dilution 1/30.
Publishing research using Anti-MED28 Antibody (A38295)? Please
let us know
so that we can list the citation on this page.
Alternative products to Anti-MED28 Antibody (A38295)
(2)
A47953
Anti-MED28 Antibody
Rabbit polyclonal antibody to MED28 for ELISA, WB and IHC.
A28706
Anti-MED28 Antibody
Rabbit polyclonal antibody to MED28 for WB.
(2)
A47953
Anti-MED28 Antibody
Rabbit polyclonal antibody to MED28 for ELISA, WB and IHC.
A28706
Anti-MED28 Antibody
Rabbit polyclonal antibody to MED28 for WB.
Proteins predicted to interact with MED28
Predicted protein interactions based upon String database. Revelancy score correlates with probability of interaction.
CRSP8 Antibodies
99.9% Relevancy Score
MED31 Antibodies
99.9% Relevancy Score
TRAP220 Antibodies
99.9% Relevancy Score
MED6 Antibodies
99.9% Relevancy Score
THRAP5 Antibodies
99.9% Relevancy Score
MED11 Antibodies
99.9% Relevancy Score
MED18 Antibodies
99.9% Relevancy Score
MED17 Antibodies
99.9% Relevancy Score
TRAP100 Antibodies
99.9% Relevancy Score
Top