ISO 9001:2015 Certified
Live Customer Support
4.5/5 on Trustpilot
100% Quality Guarantee

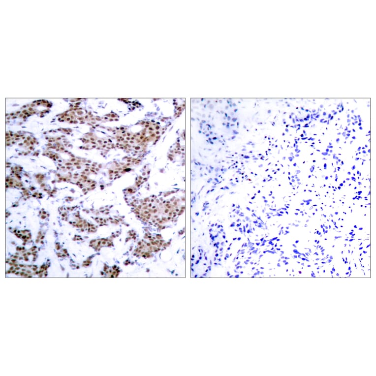
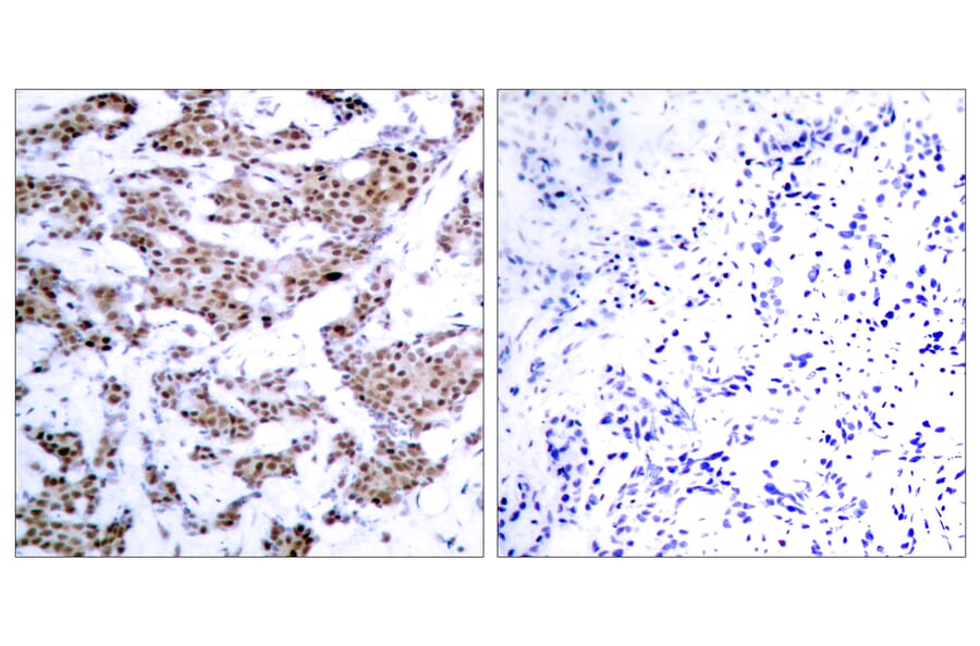
Anti-MEF2A (phospho Thr312) Antibody (A93489)

Rabbit polyclonal antibody to MEF2A (phospho Thr312) for WB, IHC, IF, IP and ELISA.

Shipping Information

$40
Dispatched from St. Louis, MO.
Lead Time: 6-8 business days.
Name
Anti-MEF2A (phospho Thr312) Antibody
Description
Rabbit polyclonal antibody to MEF2A (phospho Thr312).
Specificity
This antibody detects endogenous levels of MEF2A only when phosphorylated at Thr312.
Applications
WB, IHC, IF, IP, ELISA
Dilutions
WB: 1:500~1:1000, IHC: 1:50~1:100, ELISA: 1:20000
Reactivity
Human, Mouse, Rat
Cross Reactivity
No reported cross-reactivity.
Immunogen
Synthetic peptide derived from human MEF2A around the phosphorylation site of Thr312 (amino acids 279-328).
Host
Rabbit
Clonality
Polyclonal
Isotype
IgG
Conjugate

Unconjugated

Purification
Purified from rabbit serum by antigen affinity chromatography using the immunizing phospho peptide.
Molecular Weight
54kDa
Product Form
Liquid
Formulation
Supplied in Phosphate Buffered Saline (without Mg2+ and Ca2+), pH 7.4, with 150mM NaCl, 0.02% Sodium Azide, and 50% Glycerol.
Storage
Shipped at 4°C. Upon delivery aliquot and store at -20°C. Avoid freeze / thaw cycles.
Synonyms
MEF2, Myocyte-specific enhancer factor 2A, Serum response factor-like protein 1
Disclaimer
This product is for research use only. It is not intended for diagnostic or therapeutic use.
Publishing research using Anti-MEF2A (phospho Thr312) Antibody (A93489)? Please let us know so that we can list the citation on this page.

Alternative products to Anti-MEF2A (phospho Thr312) Antibody (A93489)

Proteins predicted to interact with MEF2A

Predicted protein interactions based upon String database. Revelancy score correlates with probability of interaction.
99.1% Relevancy Score
98.9% Relevancy Score
98.7% Relevancy Score
97.3% Relevancy Score
97.2% Relevancy Score
96.7% Relevancy Score
96.2% Relevancy Score
95.9% Relevancy Score
94.4% Relevancy Score