Primary Antibodies
Secondary Antibodies
Proteins & Peptides
ELISA Kits
About Us
Contact Us
Sign In/Register
0
ISO 9001:2015 Certified
Live Customer Support
4.5/5 on Trustpilot
100% Quality Guarantee
Home
Primary Antibodies
MEF2C Antibodies
Anti-MEF2C Antibody (A37601)
Anti-MEF2C Antibody (A37601)
Overview
Specifications
Images
Enlarge Image
Enlarge Image
$415
Product Datasheet
Rabbit polyclonal antibody to MEF2C for WB and IHC.
100% Guarantee
Price Match Guarantee
Product Size:
50µl
100µl
Quantity:
1
2
3
4
5
6
7
8
9
10
Add To Cart
Request a Quotation
Custom or Bulk Request
Shipping Information
Freight/Packing Charges:
$40
Dispatched from St. Louis, MO.
Lead Time: 6-9 business days.
Tags:
Cardiomyocyte Marker
Specifications
Name
Anti-MEF2C Antibody
Description
Rabbit polyclonal antibody to MEF2C
Specificity
The antibody detects endogenous level of total MEF2C protein.
Applications
WB
,
IHC
Reactivity
Human, Mouse, Rat
Immunogen
Recombinant protein of human MEF2C.
Host
Rabbit
Clonality
Polyclonal
Conjugate
Unconjugated
Purification
Antibodies were purified by affinity purification using immunogen.
Concentration
1.0 mg/mL
Formulation
Supplied in phosphate-buffered saline (without Mg²? and Ca²?), pH 7.4, containing 150 mM NaCl, 0.02% sodium azide, and 50% glycerol.
Storage
Shipped at 4°C. Upon delivery aliquot and store at -20°C. Avoid freeze/thaw cycles.
Synonyms
Myocyte enhancer factor 2C, Myocyte-specific enhancer factor 2C
Suitable Secondaries
Goat Anti-Rabbit IgG H&L Antibody (AP) (A294874)
Goat Anti-Rabbit IgG H&L Antibody (Biotin) (A294795)
Goat Anti-Rabbit IgG H&L Antibody (FITC) (A294887)
Goat Anti-Rabbit IgG H&L Antibody (HRP) (A294888)
See all Anti-Rabbit IgG Secondaries →
Disclaimer
This product is for research use only. It is not intended for diagnostic or therapeutic use.
Scientific Validation Data
Validation Data
(2)
Enlarge Image
Anti-MEF2C Antibody (A37601)
Western blot analysis of extracts of various cell lines, using MEF2C antibody.
Enlarge Image
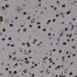
Immunohistochemistry - Anti-MEF2C Antibody (A37601)
Immunohistochemistry of paraffin-embedded mouse brain using MEF2C antibody at dilution of 1: 200 (400x lens).
Publishing research using Anti-MEF2C Antibody (A37601)? Please
let us know
so that we can list the citation on this page.
Alternative products to Anti-MEF2C Antibody (A37601)
(4)
A89975
Anti-MEF2C Antibody
Rabbit polyclonal antibody to MEF2C for WB, IHC and ICC/IF.
(2)
A93827
Anti-MEF2C (phospho Ser396) Antibody
Rabbit polyclonal antibody to MEF2C (phospho Ser396) for WB, IHC, IF and ELISA.
(2)
A29634
Anti-MEF2C (phospho-S396) Antibody
Rabbit polyclonal antibody to MEF2C (phospho-S396) for WB, IHC and IF.
A30364
Anti-MEF2C Antibody
Rabbit polyclonal antibody to MEF2C for WB and IHC.
(2)
A99040
Anti-MEF2C Antibody
Rabbit polyclonal antibody to MEF2C for WB, IHC, IF and ELISA.
A94487
Anti-MEF2C (phospho Ser387) Antibody
Rabbit polyclonal antibody to MEF2C (phospho Ser387) for IHC, IF and ELISA.
A322390
Anti-MEF2C Antibody [OTI4B10]
Mouse monoclonal [OTI4B10] antibody to MEF2C for Flow Cytometry, IF and WB.
A322389
Anti-MEF2C Antibody [OTI4B10] - BSA and Azide free
Mouse monoclonal [OTI4B10] antibody to MEF2C for Flow Cytometry, IF and WB.
(2)
A50440
Anti-MEF2C (Phospho-Ser396) Antibody
Rabbit polyclonal antibody to MEF2C (Phospho-Ser396) for WB and IHC.
A322392
Anti-MEF2C Antibody [UMAB17]
Mouse monoclonal [UMAB17] antibody to MEF2C for IF and IHC.
A322391
Anti-MEF2C Antibody [UMAB17] - BSA and Azide free
Mouse monoclonal [UMAB17] antibody to MEF2C for IF and IHC.
(2)
A41345
Anti-MEF2C (Ab-396) Antibody
Rabbit polyclonal antibody to MEF2C (Ab-396) for WB.
(4)
A89975
Anti-MEF2C Antibody
Rabbit polyclonal antibody to MEF2C for WB, IHC and ICC/IF.
(2)
A93827
Anti-MEF2C (phospho Ser396) Antibody
Rabbit polyclonal antibody to MEF2C (phospho Ser396) for WB, IHC, IF and ELISA.
(2)
A29634
Anti-MEF2C (phospho-S396) Antibody
Rabbit polyclonal antibody to MEF2C (phospho-S396) for WB, IHC and IF.
A30364
Anti-MEF2C Antibody
Rabbit polyclonal antibody to MEF2C for WB and IHC.
(2)
A99040
Anti-MEF2C Antibody
Rabbit polyclonal antibody to MEF2C for WB, IHC, IF and ELISA.
A94487
Anti-MEF2C (phospho Ser387) Antibody
Rabbit polyclonal antibody to MEF2C (phospho Ser387) for IHC, IF and ELISA.
A322390
Anti-MEF2C Antibody [OTI4B10]
Mouse monoclonal [OTI4B10] antibody to MEF2C for Flow Cytometry, IF and WB.
A322389
Anti-MEF2C Antibody [OTI4B10] - BSA and Azide free
Mouse monoclonal [OTI4B10] antibody to MEF2C for Flow Cytometry, IF and WB.
(2)
A50440
Anti-MEF2C (Phospho-Ser396) Antibody
Rabbit polyclonal antibody to MEF2C (Phospho-Ser396) for WB and IHC.
A322392
Anti-MEF2C Antibody [UMAB17]
Mouse monoclonal [UMAB17] antibody to MEF2C for IF and IHC.
A322391
Anti-MEF2C Antibody [UMAB17] - BSA and Azide free
Mouse monoclonal [UMAB17] antibody to MEF2C for IF and IHC.
(2)
A41345
Anti-MEF2C (Ab-396) Antibody
Rabbit polyclonal antibody to MEF2C (Ab-396) for WB.
See all MEF2C Antibodies
Proteins predicted to interact with MEF2C
Predicted protein interactions based upon String database. Revelancy score correlates with probability of interaction.
NKX2.5 Antibodies
98.8% Relevancy Score
HDAC4 Antibodies
98.4% Relevancy Score
GATA4 Antibodies
96.9% Relevancy Score
Myogenin Antibodies
96.4% Relevancy Score
MyoD1 Antibodies
95.6% Relevancy Score
ERK5 Antibodies
95.6% Relevancy Score
PGC1 alpha Antibodies
94.3% Relevancy Score
MEF2A Antibodies
94% Relevancy Score
beta Catenin Antibodies
93.9% Relevancy Score
Top