Primary Antibodies
Secondary Antibodies
Proteins & Peptides
ELISA Kits
About Us
Contact Us
Sign In/Register
0
ISO 9001:2015 Certified
Live Customer Support
4.5/5 on Trustpilot
100% Quality Guarantee
Home
Primary Antibodies
MEK1 Antibodies
Anti-MEK1 (phospho-S218/S222) Antibody (A32395)
Anti-MEK1 (phospho-S218/S222) Antibody (A32395)
Overview
Specifications
Images
Enlarge Image
Enlarge Image
Enlarge Image
Enlarge Image
Enlarge Image
Enlarge Image
Enlarge Image
Enlarge Image
+1
$455
Rabbit monoclonal antibody to MEK1 (phospho-S218/S222) for WB, ICC/IF and IHC.
100% Guarantee
Price Match Guarantee
Product Size:
50µl
100µl
Quantity:
1
2
3
4
5
6
7
8
9
10
Add To Cart
Request a Quotation
Custom or Bulk Request
Shipping Information
Freight/Packing Charges:
$40
Dispatched from St. Louis, MO.
Lead Time: 7-10 business days.
Specifications
Name
Anti-MEK1 (phospho-S218/S222) Antibody
Description
Rabbit monoclonal antibody to MEK1 (phospho-S218/S222)
Specificity
This antibody detects endogenous levels of MEK1 protein only when phosphorylated at Ser218 and/or Ser222.
Applications
WB
,
ICC/IF
,
IHC
Reactivity
Human
Immunogen
Recombinant antibody.
Host
Rabbit
Clonality
Monoclonal
Conjugate
Unconjugated
Molecular Weight
~ 43 kDa
Purity
Protein A affinity purified
Product Form
Recombinant Rabbit Monoclonal Antibody. 1*TBS (pH7.4), 1%BSA, 40%Glycerol. Preservative: 0.05% Sodium Azide.
Synonyms
Dual specificity mitogen-activated protein kinase kinase 1, ERK activator kinase 1, MAP kinase kinase 1, MAP2K1, MAPK/ERK kinase 1, MAPKK 1, MEK 1, MKK1, PRKMK1
Suitable Secondaries
Goat Anti-Rabbit IgG H&L Antibody (AP) (A294874)
Goat Anti-Rabbit IgG H&L Antibody (Biotin) (A294795)
Goat Anti-Rabbit IgG H&L Antibody (FITC) (A294887)
Goat Anti-Rabbit IgG H&L Antibody (HRP) (A294888)
See all Anti-Rabbit IgG Secondaries →
Disclaimer
This product is for research use only. It is not intended for diagnostic or therapeutic use.
Scientific Validation Data
Validation Data
(8)
Enlarge Image
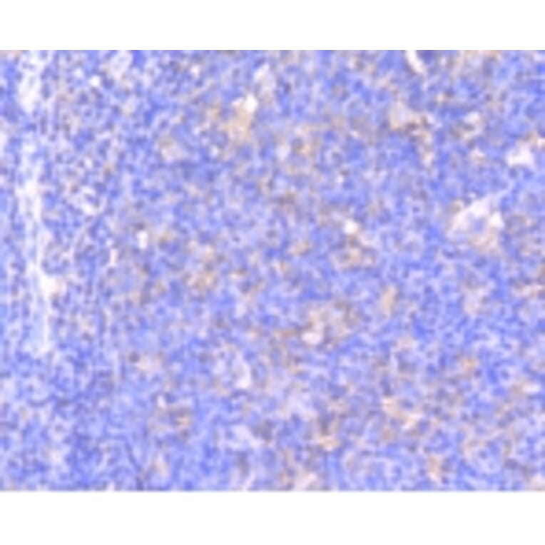
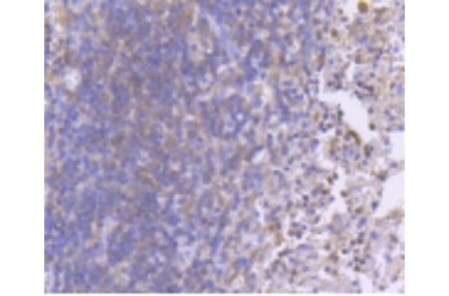
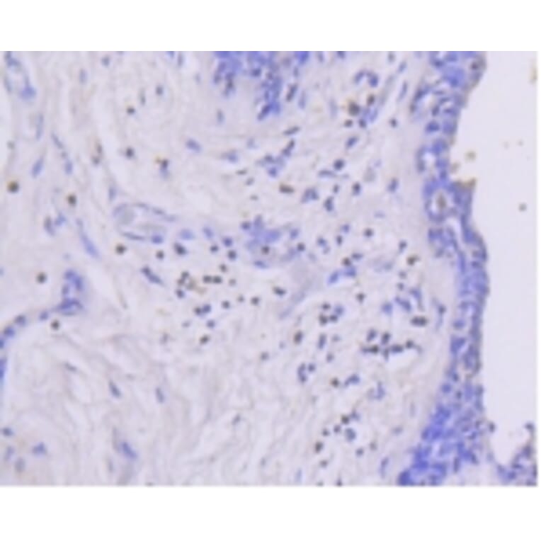
Anti-MEK1 (phospho-S218/S222) Antibody (A32395)
For details please refer to datasheet.
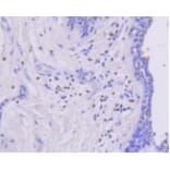
Enlarge Image
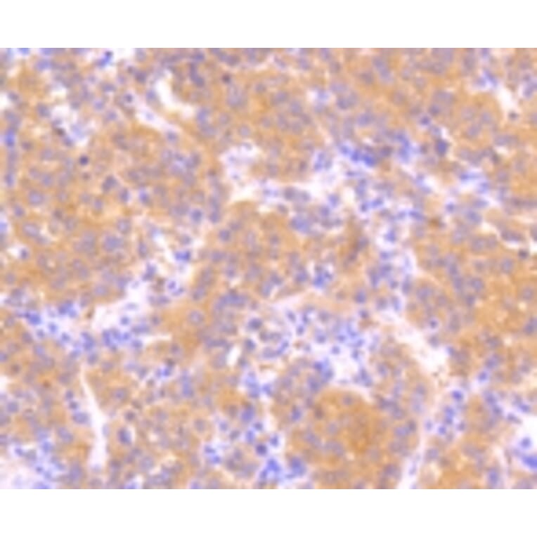
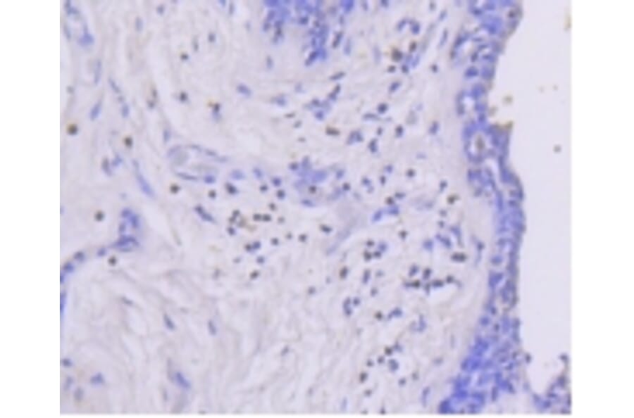
Anti-MEK1 (phospho-S218/S222) Antibody (A32395)
For details please refer to datasheet.
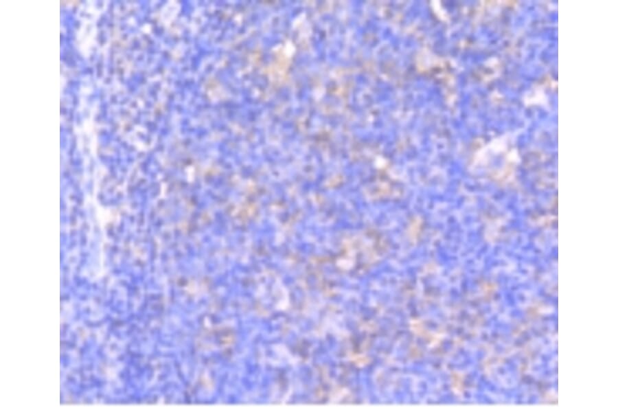
Enlarge Image
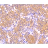
Anti-MEK1 (phospho-S218/S222) Antibody (A32395)
For details please refer to datasheet.
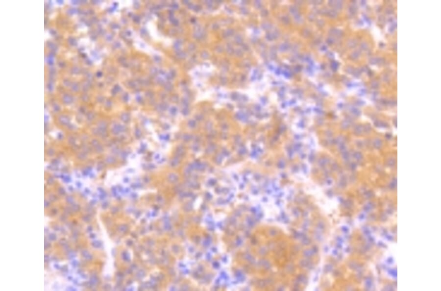
Enlarge Image
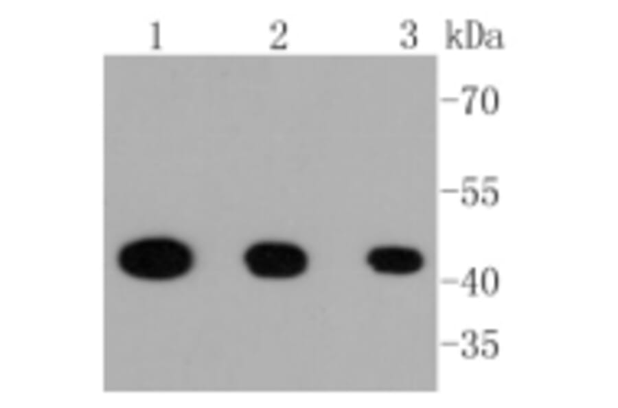
Anti-MEK1 (phospho-S218/S222) Antibody (A32395)
For details please refer to datasheet.
Enlarge Image
Anti-MEK1 (phospho-S218/S222) Antibody (A32395)
For details please refer to datasheet.
Enlarge Image
Anti-MEK1 (phospho-S218/S222) Antibody (A32395)
For details please refer to datasheet.
Enlarge Image
Anti-MEK1 (phospho-S218/S222) Antibody (A32395)
For details please refer to datasheet.
Enlarge Image
Anti-MEK1 (phospho-S218/S222) Antibody (A32395)
For details please refer to datasheet.
Show more images
Publishing research using Anti-MEK1 (phospho-S218/S222) Antibody (A32395)? Please
let us know
so that we can list the citation on this page.
Alternative products to Anti-MEK1 (phospho-S218/S222) Antibody (A32395)
(6)
A32314
Anti-MEK1/2 Antibody
Rabbit monoclonal antibody to MEK1/2 for WB, ICC/IF and IHC.
(4)
A50192
Anti-MEK1 (Phospho-Ser221) Antibody
Rabbit polyclonal antibody to MEK1 (Phospho-Ser221) for WB, IHC and IF.
(2)
A27687
Anti-MEK1/2 (phospho-S218/222) Antibody
Rabbit polyclonal antibody to MEK1/2 (phospho-S218/222) for WB and IHC.
(3)
A307613
Anti-MEK1 Antibody [ARC0044]
Rabbit monoclonal [ARC0044] antibody to MEK1 for WB, ICC/IF and IP.
(3)
A34575
Anti-MEK1 / MEK2 (Ab-217 / 221) Antibody
Rabbit polyclonal antibody to MEK1 / MEK2 (Ab-217 / 221) for WB, IHC and IF.
(2)
A54566
Anti-MAP2K1 Antibody
Chicken polyclonal antibody to MAP2K1 for ELISA, IHC, IP and WB.
(4)
A92940
Anti-MEK1 Antibody
Rabbit polyclonal antibody to MEK1 for WB and IHC.
(4)
A24931
Anti-MEK1 (P293) Antibody
Rabbit polyclonal antibody to MEK1 (P293) for WB and IHC.
(3)
A27762
Anti-MEK1 (phospho-T286) Antibody
Rabbit polyclonal antibody to MEK1 (phospho-T286) for WB and IHC.
(2)
A35775
Anti-MEK-1 / 2 Antibody
Rabbit polyclonal antibody to MEK-1 / 2 for WB, IHC and ELISA.
A322397
Anti-MEK1 Antibody [OTI4E1]
Mouse monoclonal [OTI4E1] antibody to MEK1 for IF, IHC and WB.
A322396
Anti-MEK1 Antibody [OTI4E1] - BSA and Azide free
Mouse monoclonal [OTI4E1] antibody to MEK1 for IF, IHC and WB.
(6)
A32314
Anti-MEK1/2 Antibody
Rabbit monoclonal antibody to MEK1/2 for WB, ICC/IF and IHC.
(4)
A50192
Anti-MEK1 (Phospho-Ser221) Antibody
Rabbit polyclonal antibody to MEK1 (Phospho-Ser221) for WB, IHC and IF.
(2)
A27687
Anti-MEK1/2 (phospho-S218/222) Antibody
Rabbit polyclonal antibody to MEK1/2 (phospho-S218/222) for WB and IHC.
(3)
A307613
Anti-MEK1 Antibody [ARC0044]
Rabbit monoclonal [ARC0044] antibody to MEK1 for WB, ICC/IF and IP.
(3)
A34575
Anti-MEK1 / MEK2 (Ab-217 / 221) Antibody
Rabbit polyclonal antibody to MEK1 / MEK2 (Ab-217 / 221) for WB, IHC and IF.
(2)
A54566
Anti-MAP2K1 Antibody
Chicken polyclonal antibody to MAP2K1 for ELISA, IHC, IP and WB.
(4)
A92940
Anti-MEK1 Antibody
Rabbit polyclonal antibody to MEK1 for WB and IHC.
(4)
A24931
Anti-MEK1 (P293) Antibody
Rabbit polyclonal antibody to MEK1 (P293) for WB and IHC.
(3)
A27762
Anti-MEK1 (phospho-T286) Antibody
Rabbit polyclonal antibody to MEK1 (phospho-T286) for WB and IHC.
(2)
A35775
Anti-MEK-1 / 2 Antibody
Rabbit polyclonal antibody to MEK-1 / 2 for WB, IHC and ELISA.
A322397
Anti-MEK1 Antibody [OTI4E1]
Mouse monoclonal [OTI4E1] antibody to MEK1 for IF, IHC and WB.
A322396
Anti-MEK1 Antibody [OTI4E1] - BSA and Azide free
Mouse monoclonal [OTI4E1] antibody to MEK1 for IF, IHC and WB.
See all MEK1 Antibodies
Proteins predicted to interact with MEK1
Predicted protein interactions based upon String database. Revelancy score correlates with probability of interaction.
ERK1 Antibodies
99.9% Relevancy Score
B-Raf Antibodies
99.9% Relevancy Score
ERK2 Antibodies
99.9% Relevancy Score
Raf1 Antibodies
99.9% Relevancy Score
MAPKSP1 Antibodies
99.8% Relevancy Score
KSR2 Antibodies
99.7% Relevancy Score
KSR1 Antibodies
99.6% Relevancy Score
MEK2 Antibodies
99.6% Relevancy Score
KRAS Antibodies
99.5% Relevancy Score
Top