ISO 9001:2015 Certified
Live Customer Support
4.5/5 on Trustpilot
100% Quality Guarantee

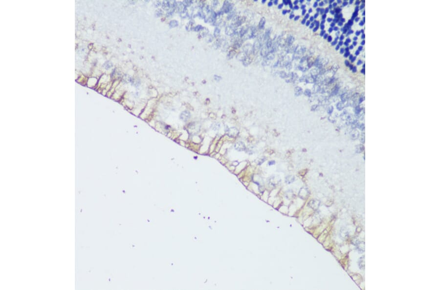
Anti-Melanopsin Antibody (A92661)

This product is discontinued

Anti-Melanopsin Antibody (A92661) has been discontinued and is no longer available.

View all Melanopsin Antibodies.

Name
Anti-Melanopsin Antibody
Description
Rabbit polyclonal antibody to Melanopsin.
Applications
WB, IHC
Dilutions
WB: 1:500-1:2,000, IHC: 1:50-1:200
Reactivity
Human, Mouse, Rat
Immunogen
Recombinant fusion protein containing a sequence corresponding to amino acids 365-489 of human OPN4 (NP_001025186.1).
Sequence
HPKYRVAIAQHLPCLGVLLGVSRRHSRPYPSYRSTHRSTLTSHTSNLSWISIRRRQESLGSESEVGWTHMEAAAVWGAAQQANGRSLYGQGLEDLEAKAPPRPQGHEAETPGKTKGLIPSQDPRM
Host
Rabbit
Clonality
Polyclonal
Isotype
IgG
Conjugate

Unconjugated

Purification
Affinity purification.
Product Form
Liquid
Formulation
Supplied in Phosphate Buffered Saline, pH 7.3, with 50% Glycerol and 0.01% Thiomersal.
Storage
Shipped at 4°C. Upon delivery aliquot and store at -20°C. Avoid freeze / thaw cycles.
Synonyms
MOP, OPN4, Opsin-4
Disclaimer
This product is for research use only. It is not intended for diagnostic or therapeutic use.

Alternative products to Anti-Melanopsin Antibody (A92661)

Proteins predicted to interact with Melanopsin

Predicted protein interactions based upon String database. Revelancy score correlates with probability of interaction.
94.2% Relevancy Score
90.5% Relevancy Score
85.1% Relevancy Score
83.9% Relevancy Score
78.2% Relevancy Score
77.6% Relevancy Score
73.9% Relevancy Score
73.7% Relevancy Score