ISO 9001:2015 Certified
Live Customer Support
4.5/5 on Trustpilot
100% Quality Guarantee

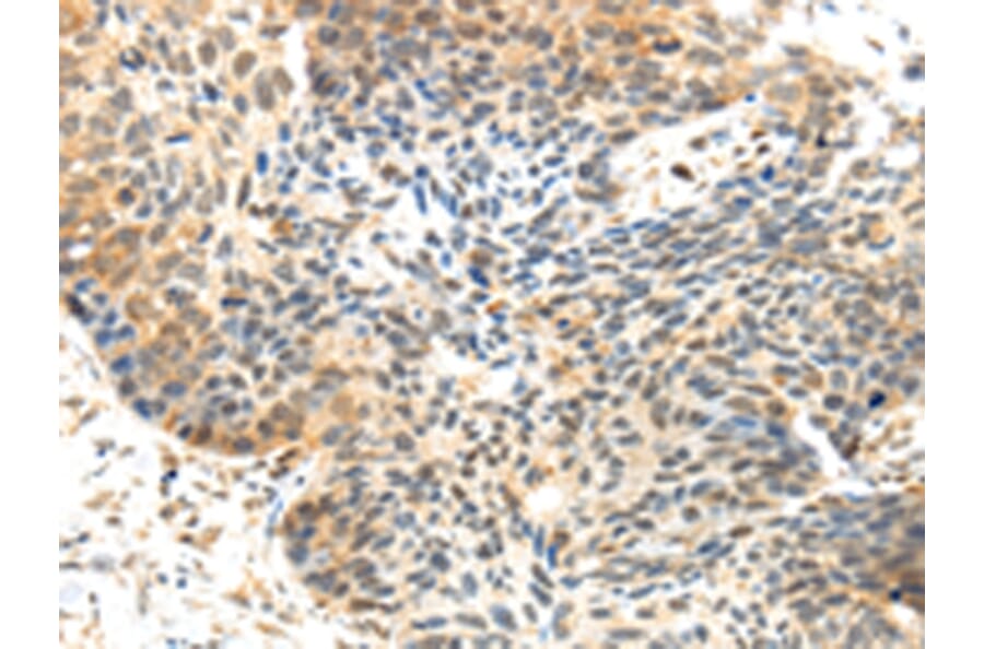
Anti-MET Antibody (A39181)

Rabbit polyclonal antibody to MET for WB, ICC/IF and IHC.

Shipping Information

$40
Dispatched from St. Louis, MO.
Lead Time: 6-9 business days.
Name
Anti-MET Antibody
Description
Rabbit polyclonal antibody to MET
Specificity
The antibody detects endogenous levels of total MET protein.
Applications
WB, ICC/IF, IHC
Reactivity
Human, Mouse, Rat
Immunogen
Synthetic peptide of human MET
Host
Rabbit
Clonality
Polyclonal
Conjugate

Unconjugated

Purification
Antigen affinity purification.
Concentration
1.8 mg/mL
Formulation
Rabbit IgG in pH7.4 PBS, 0.05% NaN3, 40% Glycerol.
Storage
Shipped at 4°C. Upon delivery aliquot and store at -20°C. Avoid freeze/thaw cycles.
Synonyms
AUTS9, c met, D249, Hepatocyte growth factor receptor, HGF, HGF receptor, HGF/SF receptor, HGFR, Met (c-Met), Met proto oncogene tyrosine kinase, MET proto oncogene, receptor tyrosine kinase, Met proto-oncogene, Met proto-oncogene (hepatocyte growth factor receptor), Met protooncogene, MET_HUMAN, Oncogene MET, Par4, Proto-oncogene c-Met, RCCP2, Scatter factor receptor, SF receptor, Tyrosine-protein kinase Met
Disclaimer
This product is for research use only. It is not intended for diagnostic or therapeutic use.
Publishing research using Anti-MET Antibody (A39181)? Please let us know so that we can list the citation on this page.