ISO 9001:2015 Certified
Live Customer Support
4.5/5 on Trustpilot
100% Quality Guarantee

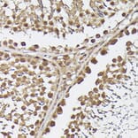
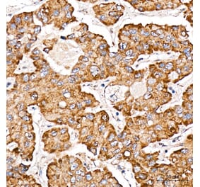
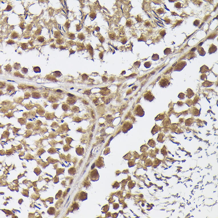
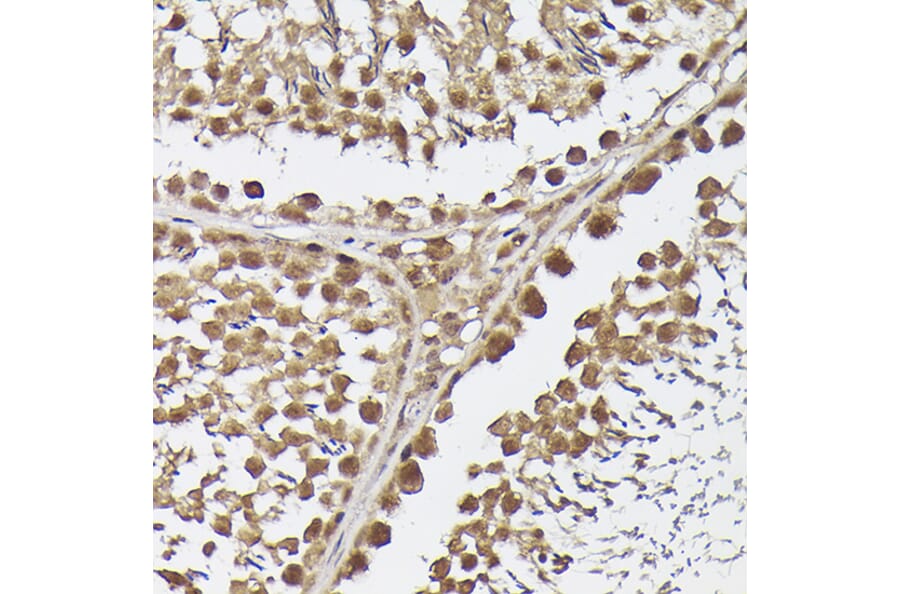
Anti-METTL4 Antibody (A16307)

Rabbit polyclonal antibody to METTL4 for WB, IHC and ICC/IF.

Shipping Information

$40
Dispatched from St. Louis, MO.
Lead Time: 7-10 business days.
Name
Anti-METTL4 Antibody
Description
Rabbit polyclonal antibody to METTL4.
Applications
WB, IHC, ICC/IF
Dilutions
WB: 1:1,000-1:2,000, IHC: 1:50-1:200, ICC/IF: 1:50-1:200
Reactivity
Human, Mouse, Rat
Immunogen
Recombinant fusion protein containing a sequence corresponding to amino acids 1-190 of human METTL4 (NP_073751.3).
Sequence
MSVVHQLSAGWLLDHLSFINKINYQLHQHHEPCCRKKEFTTSVHFESLQMDSVSSSGVCAAFIASDSSTKPENDDGGNYEMFTRKFVFRPELFDVTKPYITPAVHKECQQSNEKEDLMNGVKKEISISIIGKKRKRCVVFNQGELDAMEYHTKIRELILDGSLQLIQEGLKSGFLYPLFEKQDKGSKPIT
Host
Rabbit
Clonality
Polyclonal
Isotype
IgG
Conjugate

Unconjugated

Purification
Affinity purification.
Concentration
Lot Specific
Molecular Weight
54 kDa
Product Form
Liquid
Formulation
Supplied in Phosphate Buffered Saline, pH 7.3, with 50% Glycerol and 0.05% Proclin 300.
Storage
Shipped at 4°C. Upon delivery aliquot and store at -20°C. Avoid freeze/thaw cycles.
Synonyms
2'-O-methyladenosine-N(6)-)-methyltransferase METTL4, Methyltransferase-like protein 4, N(6)-adenine-specific DNA methyltransferase METTL4, N(6)-adenine-specific methyltransferase METTL4, snRNA
Disclaimer
This product is for research use only. It is not intended for diagnostic or therapeutic use.
Publishing research using Anti-METTL4 Antibody (A16307)? Please let us know so that we can list the citation on this page.

Alternative products to Anti-METTL4 Antibody (A16307)

Proteins predicted to interact with METTL4

Predicted protein interactions based upon String database. Revelancy score correlates with probability of interaction.
99.9% Relevancy Score
99.3% Relevancy Score
99.2% Relevancy Score
86% Relevancy Score
76.1% Relevancy Score
74.9% Relevancy Score
72.6% Relevancy Score
70.2% Relevancy Score
66.9% Relevancy Score