Primary Antibodies
Secondary Antibodies
Proteins & Peptides
ELISA Kits
About Us
Contact Us
Sign In/Register
0
ISO 9001:2015 Certified
Live Customer Support
4.5/5 on Trustpilot
100% Quality Guarantee
Home
Primary Antibodies
MFSD2A Antibodies
Anti-MFSD2A Antibody (A47653)
Anti-MFSD2A Antibody (A47653)
Overview
Specifications
Images
Enlarge Image
Enlarge Image
$780
Product Datasheet
Rabbit polyclonal antibody to MFSD2A for ELISA, WB and IHC.
100% Guarantee
Price Match Guarantee
Product Size:
100µl
Quantity:
1
2
3
4
5
6
7
8
9
10
Add To Cart
Request a Quotation
Custom or Bulk Request
Shipping Information
Freight/Packing Charges:
$40
Dispatched from St. Louis, MO.
Lead Time: 6-9 business days.
Specifications
Name
Anti-MFSD2A Antibody
Description
Rabbit polyclonal antibody to MFSD2A
Applications
ELISA
,
WB
,
IHC
Reactivity
Human, Mouse, Rat
Immunogen
Raised against an 18 amino acid peptide near the carboxy terminus of human MFSD2A.
Host
Rabbit
Clonality
Polyclonal
Conjugate
Unconjugated
Purification
Affinity chromatography purified via peptide column
Formulation
Supplied in phosphate-buffered saline with 0.02% Sodium Azide.
Storage
Shipped at 4°C. Upon delivery aliquot and store at -20°C. Avoid freeze/thaw cycles.
Synonyms
HsMFSD2A, Major facilitator superfamily domain-containing protein 2A, MFSD2, NLS1, Sodium-dependent LPC symporter 1, Sodium-dependent lysophosphatidylcholine symporter 1
Suitable Secondaries
Goat Anti-Rabbit IgG H&L Antibody (AP) (A294874)
Goat Anti-Rabbit IgG H&L Antibody (Biotin) (A294795)
Goat Anti-Rabbit IgG H&L Antibody (FITC) (A294887)
Goat Anti-Rabbit IgG H&L Antibody (HRP) (A294888)
See all Anti-Rabbit IgG Secondaries →
Disclaimer
This product is for research use only. It is not intended for diagnostic or therapeutic use.
Scientific Validation Data
Validation Data
(2)
Enlarge Image
Anti-MFSD2A Antibody (A47653)
Western blot analysis of MFSD2A in rat lung tissue lysate with MFSD2A antibody at (A) 1 and (B) 2 µg/mL.
Enlarge Image
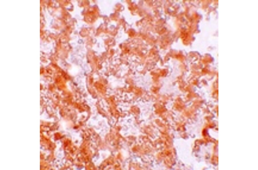
Immunohistochemistry - Anti-MFSD2A Antibody (A47653)
Immunohistochemistry of MFSD2A in rat lung tissue with MFSD2A antibody at 5 µg/mL.
Publishing research using Anti-MFSD2A Antibody (A47653)? Please
let us know
so that we can list the citation on this page.
Alternative products to Anti-MFSD2A Antibody (A47653)
(2)
A37310
Anti-MFSD2A Antibody
Rabbit polyclonal antibody to MFSD2A for WB and IHC.
(2)
A37310
Anti-MFSD2A Antibody
Rabbit polyclonal antibody to MFSD2A for WB and IHC.
Proteins predicted to interact with MFSD2A
Predicted protein interactions based upon String database. Revelancy score correlates with probability of interaction.
ERVW-1 Antibodies
94.9% Relevancy Score
Thymidylate Synthase Antibodies
67.7% Relevancy Score
Thymidine Kinase 1 Antibodies
67.5% Relevancy Score
Synapsin II Antibodies
64% Relevancy Score
CSTF3 Antibodies
63% Relevancy Score
ASCT2 Antibodies
62.9% Relevancy Score
Claudin-5 Antibodies
61.4% Relevancy Score
GAPDH Antibodies
51.3% Relevancy Score
ANKLE2 Antibodies
50.7% Relevancy Score
Top