Primary Antibodies
Secondary Antibodies
Proteins & Peptides
ELISA Kits
About Us
Contact Us
Sign In/Register
0
ISO 9001:2015 Certified
Live Customer Support
4.5/5 on Trustpilot
100% Quality Guarantee
Home
Primary Antibodies
MGEA5 Antibodies
Anti-MGEA5 Antibody (A37809)
Anti-MGEA5 Antibody (A37809)
Overview
Specifications
Images
Enlarge Image
Enlarge Image
$430
Product Datasheet
Rabbit polyclonal antibody to MGEA5 for WB and IHC.
100% Guarantee
Price Match Guarantee
Product Size:
100µl
Quantity:
1
2
3
4
5
6
7
8
9
10
Add To Cart
Request a Quotation
Custom or Bulk Request
Shipping Information
Freight/Packing Charges:
$40
Dispatched from St. Louis, MO.
Lead Time: 6-9 business days.
Specifications
Name
Anti-MGEA5 Antibody
Description
Rabbit polyclonal antibody to MGEA5
Specificity
The antibody detects endogenous levels of total MGEA5 protein.
Applications
WB
,
IHC
Reactivity
Human, Mouse, Rat
Immunogen
Fusion protein corresponding to a region derived from internal residues of human Meningioma expressed antigen 5 (hyaluronidase)
Host
Rabbit
Clonality
Polyclonal
Conjugate
Unconjugated
Purification
Antigen affinity purification.
Concentration
0.6 mg/mL
Formulation
Supplied in PBS, pH 7.3, containing 0.05% sodium azide and 50% glycerol.
Storage
Shipped at 4°C. Upon delivery aliquot and store at -20°C. Avoid freeze/thaw cycles.
Synonyms
Beta-hexosaminidase, Beta-N-acetylglucosaminidase, Beta-N-acetylhexosaminidase, HEXC, KIAA0679, MEA5, Meningioma-expressed antigen 5, N-acetyl-beta-D-glucosaminidase, OGA, Protein O-GlcNAcase
Suitable Secondaries
Goat Anti-Rabbit IgG H&L Antibody (AP) (A294874)
Goat Anti-Rabbit IgG H&L Antibody (Biotin) (A294795)
Goat Anti-Rabbit IgG H&L Antibody (FITC) (A294887)
Goat Anti-Rabbit IgG H&L Antibody (HRP) (A294888)
See all Anti-Rabbit IgG Secondaries →
Disclaimer
This product is for research use only. It is not intended for diagnostic or therapeutic use.
Scientific Validation Data
Validation Data
(2)
Enlarge Image
Anti-MGEA5 Antibody (A37809)
Gel: 8% SDS-PAGE Lysates (from left to right): Human fetal liver tissue Amount of lysate: 40ug per lane Primary antibody: 1/300 dilution Secondary antibody dilution: 1/8000 Exposure time: 30 seconds
Enlarge Image
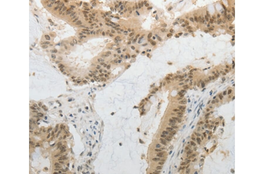
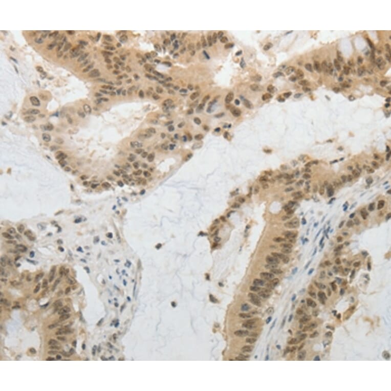
Immunohistochemistry - Anti-MGEA5 Antibody (A37809)
Immunohistochemical analysis of paraffin-embedded Human colon cancer tissue using #35763 at dilution 1/20.
Publishing research using Anti-MGEA5 Antibody (A37809)? Please
let us know
so that we can list the citation on this page.
Alternative products to Anti-MGEA5 Antibody (A37809)
A347169
Anti-MGEA5 Antibody [23GB2270]
Recombinant rabbit monoclonal [23GB2270] antibody to MGEA5 for WB, Flow Cytometry and ICC/IF.
A347168
Anti-MGEA5 Antibody [24GB6120]
Recombinant rabbit monoclonal [24GB6120] antibody to MGEA5 for WB, Flow Cytometry and ICC/IF.
A347169
Anti-MGEA5 Antibody [23GB2270]
Recombinant rabbit monoclonal [23GB2270] antibody to MGEA5 for WB, Flow Cytometry and ICC/IF.
A347168
Anti-MGEA5 Antibody [24GB6120]
Recombinant rabbit monoclonal [24GB6120] antibody to MGEA5 for WB, Flow Cytometry and ICC/IF.
Proteins predicted to interact with MGEA5
Predicted protein interactions based upon String database. Revelancy score correlates with probability of interaction.
OGT Antibodies
98.5% Relevancy Score
Aurora B Antibodies
93% Relevancy Score
GM2A Antibodies
85.7% Relevancy Score
GUSB Antibodies
83% Relevancy Score
HEXB Antibodies
81.5% Relevancy Score
beta 2 Microglobulin Antibodies
79% Relevancy Score
TIM 1 Antibodies
77.3% Relevancy Score
ARSB Antibodies
76.1% Relevancy Score
GFPT2 Antibodies
75.8% Relevancy Score
Top