Primary Antibodies
Secondary Antibodies
Proteins & Peptides
ELISA Kits
About Us
Contact Us
Sign In/Register
0
ISO 9001:2015 Certified
Live Customer Support
4.5/5 on Trustpilot
100% Quality Guarantee
Home
Primary Antibodies
MIOX Antibodies
Anti-MIOX Antibody (A47071)
Anti-MIOX Antibody (A47071)
Overview
Specifications
Images
Enlarge Image
Enlarge Image
$430
Product Datasheet
Rabbit polyclonal antibody to MIOX for IHC.
100% Guarantee
Price Match Guarantee
Product Size:
100µl
Quantity:
1
2
3
4
5
6
7
8
9
10
Add To Cart
Request a Quotation
Custom or Bulk Request
Shipping Information
Freight/Packing Charges:
$40
Dispatched from St. Louis, MO.
Lead Time: 6-9 business days.
Specifications
Name
Anti-MIOX Antibody
Description
Rabbit polyclonal antibody to MIOX
Specificity
The antibody detects endogenous levels of total MIOX protein.
Applications
IHC
Dilutions
Immunohistochemistry: 1:20-1:100
Reactivity
Human
Immunogen
Full length fusion protein of human MIOX
Host
Rabbit
Clonality
Polyclonal
Conjugate
Unconjugated
Purification
Antigen affinity purification.
Concentration
1.2 mg/mL
Formulation
Rabbit IgG in pH7.4 PBS, 0.05% NaN3, 40% Glycerol.
Storage
Shipped at 4°C. Upon delivery aliquot and store at -20°C. Avoid freeze/thaw cycles.
Synonyms
Aldehyde reductase-like 6, ALDRL6, Inositol oxygenase, Kidney-specific protein 32, KSP32, MI oxygenase, Myo-inositol oxygenase, Renal-specific oxidoreductase, RSOR
Suitable Secondaries
Goat Anti-Rabbit IgG H&L Antibody (AP) (A294874)
Goat Anti-Rabbit IgG H&L Antibody (Biotin) (A294795)
Goat Anti-Rabbit IgG H&L Antibody (FITC) (A294887)
Goat Anti-Rabbit IgG H&L Antibody (HRP) (A294888)
See all Anti-Rabbit IgG Secondaries →
Disclaimer
This product is for research use only. It is not intended for diagnostic or therapeutic use.
Scientific Validation Data
Validation Data
(2)
Enlarge Image
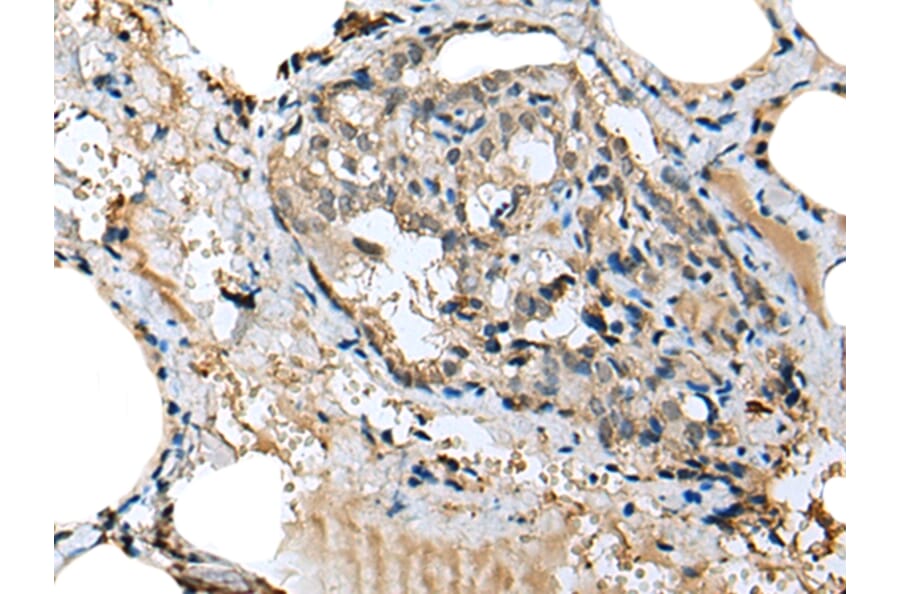
Immunohistochemistry - Anti-MIOX Antibody (A47071)
Immunohistochemical analysis of paraffin-embedded Human brain tissue using #43378 at dilution 1/25.
Enlarge Image
Immunohistochemistry - Anti-MIOX Antibody (A47071)
Immunohistochemical analysis of paraffin-embedded Human thyroid cancer tissue using #43378 at dilution 1/25.
Publishing research using Anti-MIOX Antibody (A47071)? Please
let us know
so that we can list the citation on this page.
Alternative products to Anti-MIOX Antibody (A47071)
(3)
A92087
Anti-MIOX Antibody
Rabbit polyclonal antibody to MIOX for WB and ICC/IF.
(3)
A92087
Anti-MIOX Antibody
Rabbit polyclonal antibody to MIOX for WB and ICC/IF.
Proteins predicted to interact with MIOX
Predicted protein interactions based upon String database. Revelancy score correlates with probability of interaction.
AKR1A1 Antibodies
96.8% Relevancy Score
IMPA1 Antibodies
94.3% Relevancy Score
IMPA2 Antibodies
93.1% Relevancy Score
UGT1A9 Antibodies
90.2% Relevancy Score
UGT2B10 Antibodies
90.1% Relevancy Score
UGT2B7 Antibodies
90.1% Relevancy Score
UGT1A1 Antibodies
90.1% Relevancy Score
UGT1A6 Antibodies
90.1% Relevancy Score
UGT2B4 Antibodies
90.1% Relevancy Score
Top