ISO 9001:2015 Certified
Live Customer Support
4.5/5 on Trustpilot
100% Quality Guarantee

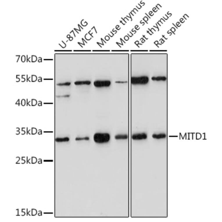
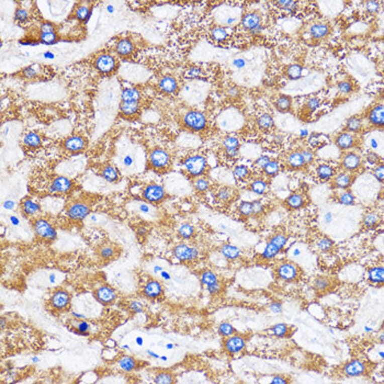
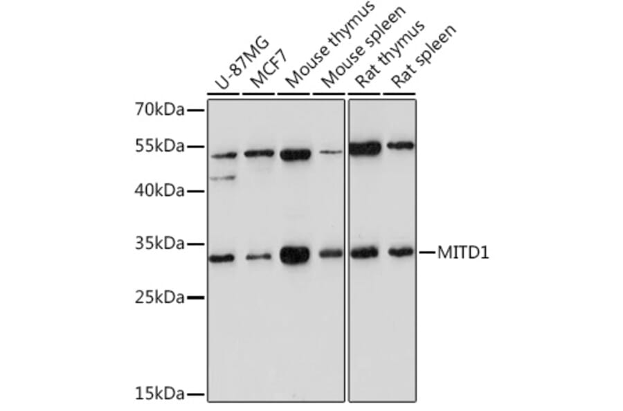
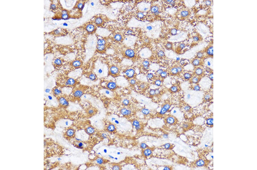
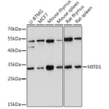
Anti-MITD1 Antibody (A306924)

Rabbit polyclonal antibody to MITD1 for WB and IHC.

Shipping Information

$40
Dispatched from St. Louis, MO.
Lead Time: 7-10 business days.
Name
Anti-MITD1 Antibody
Description
Rabbit polyclonal antibody to MITD1.
Applications
WB, IHC
Dilutions
WB: 1:500-1:2,000, IHC: 1:50-1:200
Reactivity
Human, Mouse, Rat
Immunogen
Recombinant fusion protein containing a sequence corresponding to amino acids 1-249 of human MITD1 (NP_620153.1).
Sequence
MAKSGLRQDPQSTAAATVLKRAVELDSESRYPQALVCYQEGIDLLLQVLKGTKDNTKRCNLREKISKYMDRAENIKKYLDQEKEDGKYHKQIKIEENATGFSYESLFREYLNETVTEVWIEDPYIRHTHQLYNFLRFCEMLIKRPCKVKTIHLLTSLDEGIEQVQQSRGLQEIEESLRSHGVLLEVQYSSSIHDREIRFNNGWMIKIGRGLDYFKKPQSRFSLGYCDFDLRPCHETTVDIFHKKHTKNI
Host
Rabbit
Clonality
Polyclonal
Isotype
IgG
Conjugate

Unconjugated

Purification
Affinity purification.
Concentration
Lot Specific
Molecular Weight
29 kDa
Product Form
Liquid
Formulation
Supplied in Phosphate Buffered Saline, pH 7.3, with 50% Glycerol and 0.01% Thiomersal.
Storage
Shipped at 4°C. Upon delivery aliquot and store at -20°C. Avoid freeze/thaw cycles.
Synonyms
MIT domain-containing protein 1
Disclaimer
This product is for research use only. It is not intended for diagnostic or therapeutic use.
Publishing research using Anti-MITD1 Antibody (A306924)? Please let us know so that we can list the citation on this page.

Proteins predicted to interact with MITD1

Predicted protein interactions based upon String database. Revelancy score correlates with probability of interaction.
98.3% Relevancy Score
93.4% Relevancy Score
75.1% Relevancy Score
74.1% Relevancy Score
74% Relevancy Score
69.9% Relevancy Score
67.9% Relevancy Score
66.8% Relevancy Score
59.1% Relevancy Score