ISO 9001:2015 Certified
Live Customer Support
4.5/5 on Trustpilot
100% Quality Guarantee

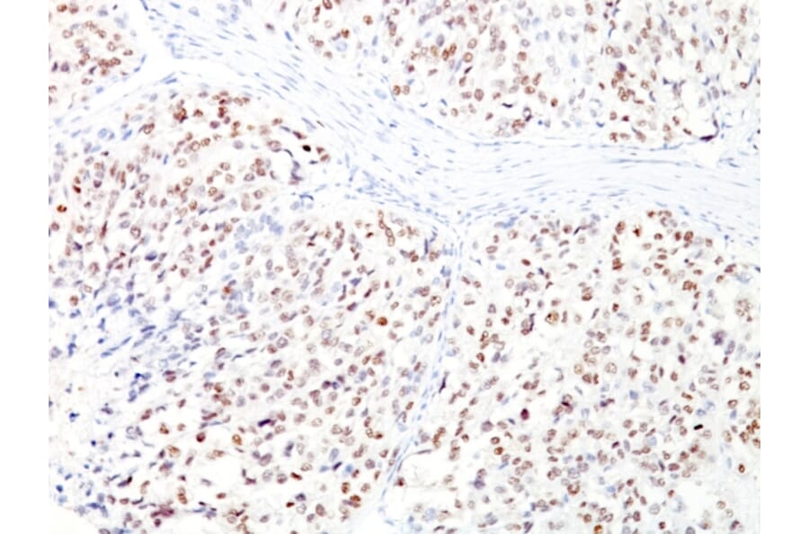
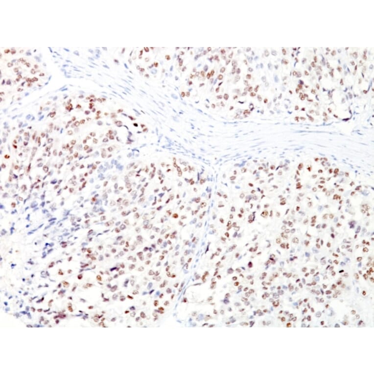
Anti-MiTF Antibody [D5 + MITF/915] (A249340)

Mouse monoclonal [D5 + MITF/915] antibody to MiTF for IHC-P.

Alternative Formats and ConjugatesAlternative Formats

Shipping Information

$40
Dispatched from St. Louis, MO.
Lead Time: 5-8 business days.
Name
Anti-MiTF Antibody [D5 + MITF/915]
Description
Mouse monoclonal [D5 + MITF/915] antibody to MiTF.
Applications
IHC-P
Dilutions
IHC-P: 1-2 µg/ml
Reactivity
Human
Cross Reactivity
This antibody does not cross react with Mouse or Rat.
Immunogen
Clone D5: NH2 terminus fragment of human Mi protein. Clone MITF/915: Recombinant human MiTF protein.
Host
Mouse
Clonality
Oligoclonal
Clone ID
D5 + MITF/915
Isotype
IgG1, kappa + IgG1, kappa
Conjugate

Unconjugated

Purification
Protein A/G chromatography.
Concentration
200 µg/ml
Molecular Weight
52-56 kDa (doublet)
Product Form
Liquid
Formulation
Supplied in 10mM Phosphate Buffered Saline with 0.05% BSA and 0.05% Sodium Azide.
Storage
Shipped at 4°C. Upon delivery aliquot and store at -20°C. Avoid freeze / thaw cycles.
General Notes

Please note, this product is an oligoclonal antibody; it is a cocktail of monoclonal antibodies that have been carefully selected. Oligoclonal antibodies not only have the specificity and batch-to-batch consistency of a monoclonal antibody, but they also have the advantage of the sensitivity of a polyclonal antibody due to their ability to recognize multiple epitopes on an antigen.

This oligoclonal antibody is also available in a different formulation without BSA and Sodium Azide - Anti-MiTF Antibody [D5 + MITF/915] - BSA and Azide free (A252520).

Synonyms
bHLHe32, Class E basic helix-loop-helix protein 32, Microphthalmia-associated transcription factor
Disclaimer
This product is for research use only. It is not intended for diagnostic or therapeutic use.
Publishing research using Anti-MiTF Antibody [D5 + MITF/915] (A249340)? Please let us know so that we can list the citation on this page.

Alternative products to Anti-MiTF Antibody [D5 + MITF/915] (A249340)

Proteins predicted to interact with MITF

Predicted protein interactions based upon String database. Revelancy score correlates with probability of interaction.
99.6% Relevancy Score
98.1% Relevancy Score
97.6% Relevancy Score
96.8% Relevancy Score
95.6% Relevancy Score
94% Relevancy Score
94% Relevancy Score
93.6% Relevancy Score
93.2% Relevancy Score