ISO 9001:2015 Certified
Live Customer Support
4.5/5 on Trustpilot
100% Quality Guarantee

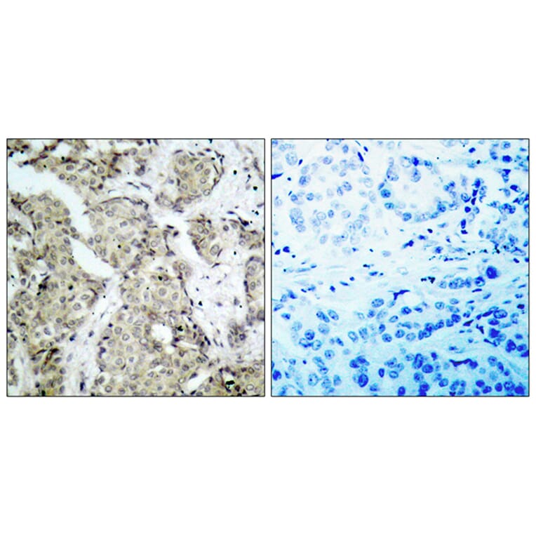
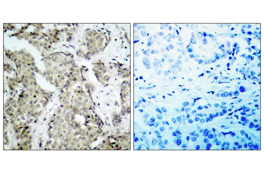
Anti-MKK3 (phospho Ser189) Antibody (A94431)

Rabbit polyclonal antibody to MKK3 (phospho Ser189) for WB, IHC, IF and ELISA.

Shipping Information

$40
Dispatched from St. Louis, MO.
Lead Time: 6-8 business days.
Name
Anti-MKK3 (phospho Ser189) Antibody
Description
Rabbit polyclonal antibody to MKK3 (phospho Ser189).
Specificity
This antibody detects endogenous levels of MKK3 only when phosphorylated at Ser189.
Applications
WB, IHC, IF, ELISA
Dilutions
WB: 1:500~1:1000, IHC: 1:50~1:100, ELISA: 1:5000
Reactivity
Human, Mouse, Rat
Cross Reactivity
No reported cross-reactivity.
Immunogen
Synthetic peptide derived from human MKK3 around the phosphorylation site of Ser189 (amino acids 173-222).
Host
Rabbit
Clonality
Polyclonal
Isotype
IgG
Conjugate

Unconjugated

Purification
Purified from rabbit serum by antigen affinity chromatography using the immunizing phospho peptide.
Molecular Weight
39kDa
Product Form
Liquid
Formulation
Supplied in Phosphate Buffered Saline (without Mg2+ and Ca2+), pH 7.4, with 150mM NaCl, 0.02% Sodium Azide, and 50% Glycerol.
Storage
Shipped at 4°C. Upon delivery aliquot and store at -20°C. Avoid freeze / thaw cycles.
Synonyms
Dual specificity mitogen-activated protein kinase kinase 3, MAP kinase kinase 3, MAP2K3, MAPK/ERK kinase 3, MAPKK 3, MEK 3, MKK3, PRKMK3, SAPK kinase 2, SAPKK-2, SAPKK2, SKK2, Stress-activated protein kinase kinase 2
Disclaimer
This product is for research use only. It is not intended for diagnostic or therapeutic use.
Publishing research using Anti-MKK3 (phospho Ser189) Antibody (A94431)? Please let us know so that we can list the citation on this page.

Alternative products to Anti-MKK3 (phospho Ser189) Antibody (A94431)

Proteins predicted to interact with MEK3

Predicted protein interactions based upon String database. Revelancy score correlates with probability of interaction.
99.9% Relevancy Score
98.9% Relevancy Score
98.8% Relevancy Score
98.7% Relevancy Score
98.7% Relevancy Score
98% Relevancy Score
97.8% Relevancy Score
97.7% Relevancy Score
97.6% Relevancy Score