Western blot analysis of lysates from Jurkat cells using Anti-MKP1 + MKP2 Antibody. The right hand lane represents a negative control, where the antibody is blocked by the immunising peptide.
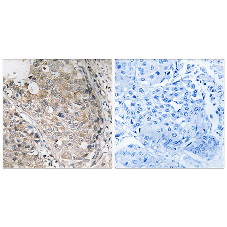
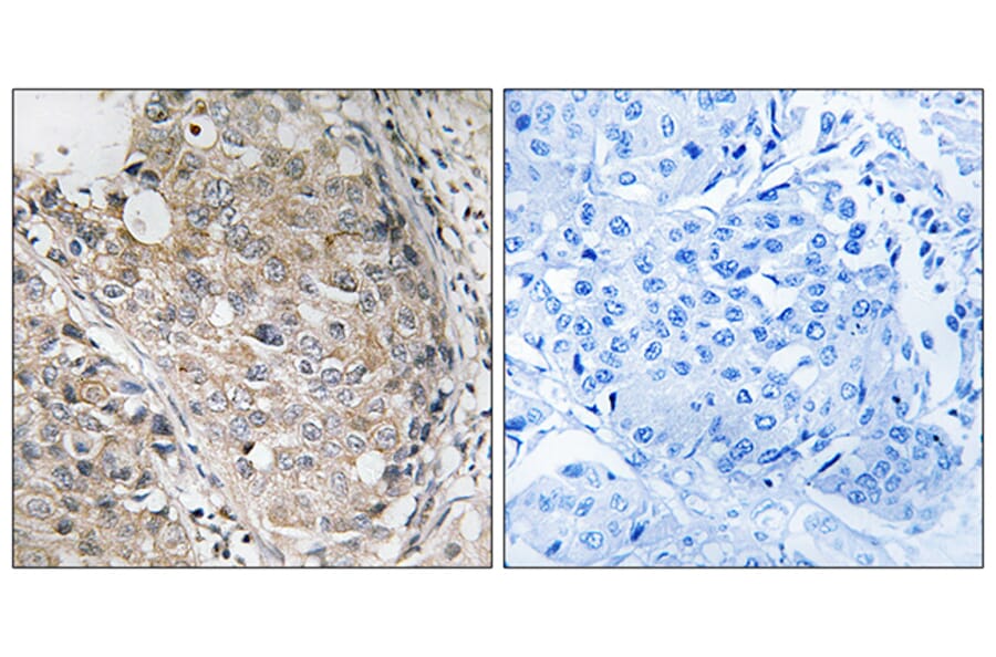
Immunohistochemical analysis of paraffin-embedded human breast carcinoma tissue using Anti-MKP1 + MKP2 Antibody. The right hand panel represents a negative control, where the antibody was pre-incubated with the immunising peptide.