ISO 9001:2015 Certified
Live Customer Support
4.5/5 on Trustpilot
100% Quality Guarantee

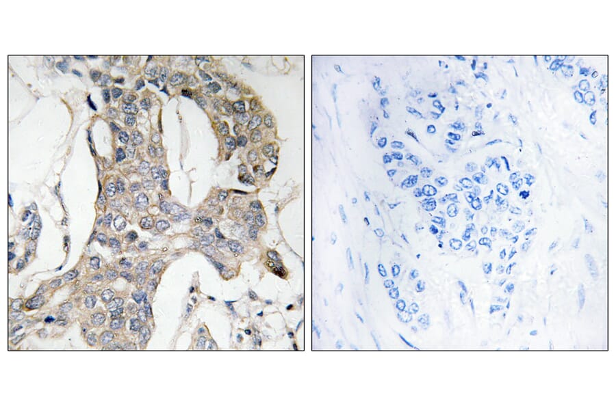
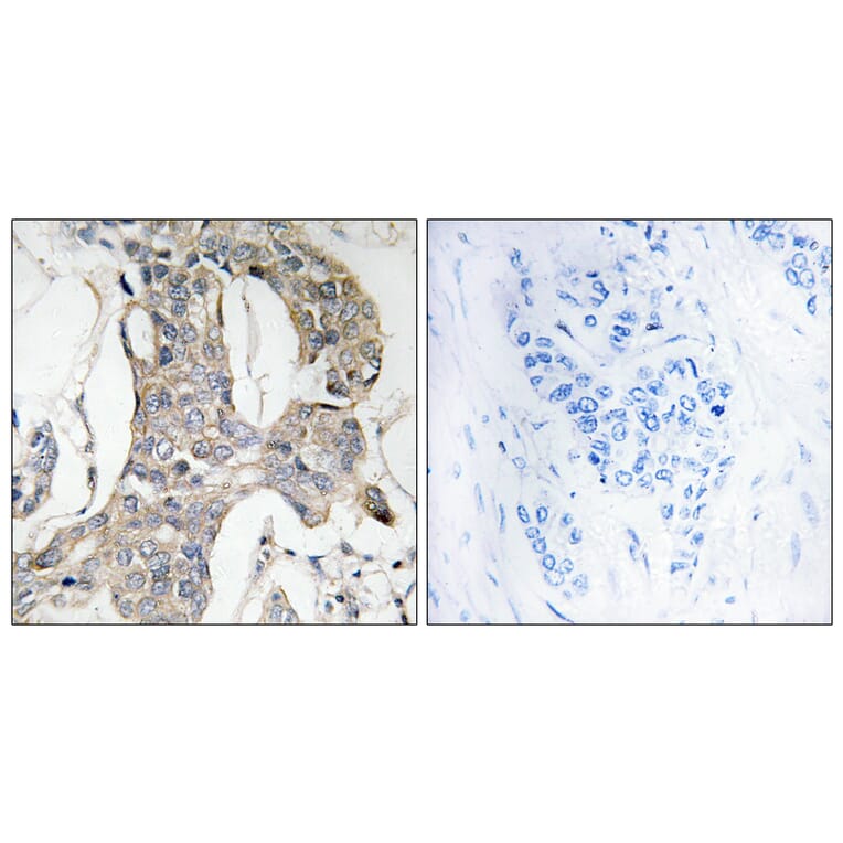
Anti-MKP1 + MKP2 (phospho Ser296 + Ser318) Antibody (A96256)

Rabbit polyclonal antibody to MKP1 + MKP2 (phospho Ser296 + Ser318) for WB, IHC, IF and ELISA.

Shipping Information

$40
Dispatched from St. Louis, MO.
Lead Time: 6-8 business days.
Name
Anti-MKP1 + MKP2 (phospho Ser296 + Ser318) Antibody
Description
Rabbit polyclonal antibody to MKP1 + MKP2 (phospho Ser296 + Ser318).
Specificity
This antibody detects endogenous levels of MKP-1/2 only when phosphorylated at Ser296/318.
Applications
WB, IHC, IF, ELISA
Dilutions
WB: 1:500~1:1000, IHC: 1:50~1:100, ELISA: 1:5000
Reactivity
Human, Mouse, Rat
Cross Reactivity
No reported cross-reactivity.
Immunogen
Synthetic peptide derived from human MKP-1/2 around the phosphorylation site of Ser296/318 (amino acids 261-310).
Host
Rabbit
Clonality
Polyclonal
Isotype
IgG
Conjugate

Unconjugated

Purification
Purified from rabbit serum by antigen affinity chromatography using the immunizing phospho peptide.
Molecular Weight
39kDa
Product Form
Liquid
Formulation
Supplied in Phosphate Buffered Saline (without Mg2+ and Ca2+), pH 7.4, with 150mM NaCl, 0.02% Sodium Azide, and 50% Glycerol.
Storage
Shipped at 4°C. Upon delivery aliquot and store at -20°C. Avoid freeze / thaw cycles.
Disclaimer
This product is for research use only. It is not intended for diagnostic or therapeutic use.
Publishing research using Anti-MKP1 + MKP2 (phospho Ser296 + Ser318) Antibody (A96256)? Please let us know so that we can list the citation on this page.