ISO 9001:2015 Certified
Live Customer Support
4.5/5 on Trustpilot
100% Quality Guarantee

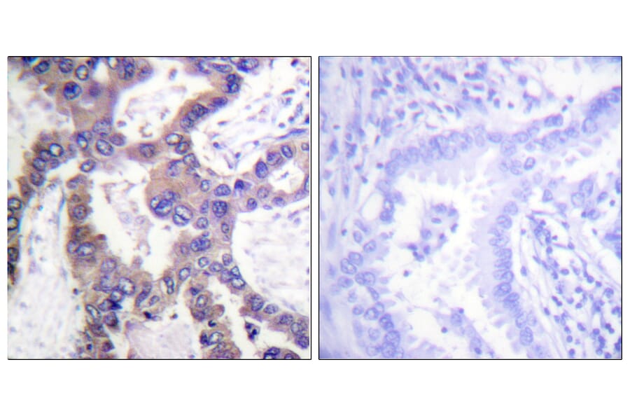
Anti-MKP1 (phospho Ser359) Antibody (A95670)

Rabbit polyclonal antibody to MKP1 (phospho Ser359) for IHC, IF and ELISA.

Shipping Information

$40
Dispatched from St. Louis, MO.
Lead Time: 6-8 business days.
Name
Anti-MKP1 (phospho Ser359) Antibody
Description
Rabbit polyclonal antibody to MKP1 (phospho Ser359).
Specificity
This antibody detects endogenous levels of MKP1 only when phosphorylated at Ser359.
Applications
IHC, IF, ELISA
Dilutions
IHC: 1:50~1:100, ELISA: 1:10000
Reactivity
Human, Rat, Mouse
Cross Reactivity
No reported cross-reactivity.
Immunogen
Synthetic peptide derived from human MKP1 around the phosphorylation site of Ser359 (amino acids 318-367).
Host
Rabbit
Clonality
Polyclonal
Isotype
IgG
Conjugate

Unconjugated

Purification
Purified from rabbit serum by antigen affinity chromatography using the immunizing phospho peptide.
Molecular Weight
39kDa
Product Form
Liquid
Formulation
Supplied in Phosphate Buffered Saline (without Mg2+ and Ca2+), pH 7.4, with 150mM NaCl, 0.02% Sodium Azide, and 50% Glycerol.
Storage
Shipped at 4°C. Upon delivery aliquot and store at -20°C. Avoid freeze / thaw cycles.
Synonyms
CL100, Dual specificity protein phosphatase 1, Dual specificity protein phosphatase hVH1, MAP kinase phosphatase 1, Mitogen-activated protein kinase phosphatase 1, MKP-1, MKP1, Protein-tyrosine phosphatase CL100, PTPN10, VH1
Disclaimer
This product is for research use only. It is not intended for diagnostic or therapeutic use.
Publishing research using Anti-MKP1 (phospho Ser359) Antibody (A95670)? Please let us know so that we can list the citation on this page.

Alternative products to Anti-MKP1 (phospho Ser359) Antibody (A95670)

Proteins predicted to interact with DUSP1

Predicted protein interactions based upon String database. Revelancy score correlates with probability of interaction.
99.8% Relevancy Score
99.6% Relevancy Score
99.6% Relevancy Score
99.2% Relevancy Score
97.3% Relevancy Score
97.2% Relevancy Score
96.8% Relevancy Score
96.1% Relevancy Score
95.5% Relevancy Score