ISO 9001:2015 Certified
Live Customer Support
4.5/5 on Trustpilot
100% Quality Guarantee

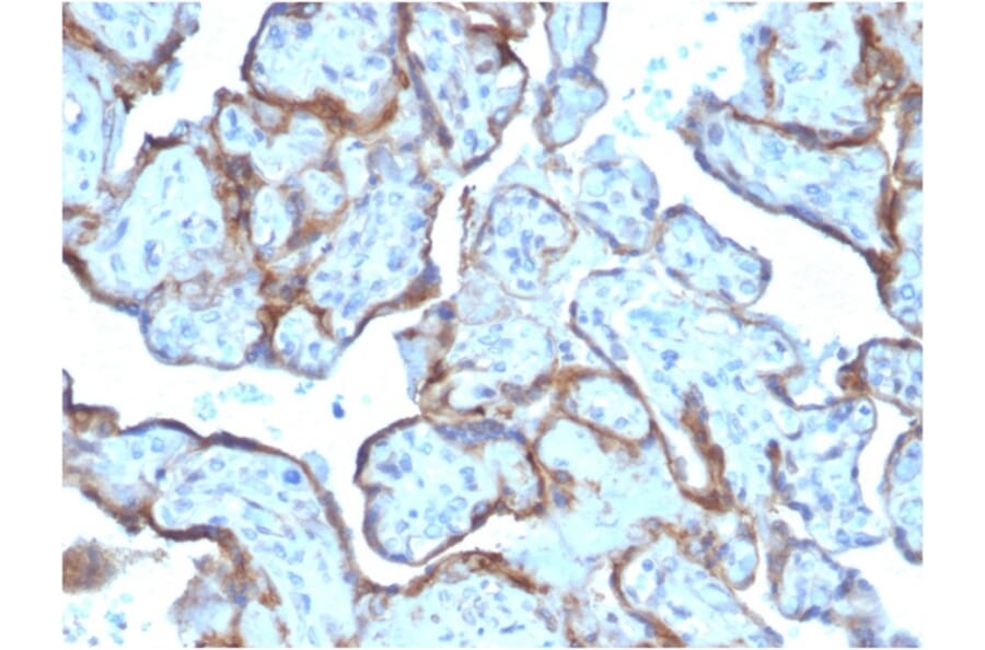
Anti-MMP3 Antibody [MMP3/2806] - BSA and Azide free (A252551)

Mouse monoclonal [MMP3/2806] antibody to MMP3 for ELISA and IHC-P.

Alternative Formats and ConjugatesAlternative Formats

Shipping Information

$40
Dispatched from St. Louis, MO.
Lead Time: 5-8 business days.
Name
Anti-MMP3 Antibody [MMP3/2806] - BSA and Azide free
Description
Mouse monoclonal [MMP3/2806] antibody to MMP3.
Specificity
The matrix metalloproteinases (MMP) are a family of peptidase enzymes responsible for the degradation of extracellular matrix components, including collagen, gelatin, fibronectin, laminin and proteoglycan. Transcription of MMP genes is differentially activated by phorbol ester, lipopolysaccharide (LPS) or staphylococcal enterotoxin B (SEB). MMP catalysis requires both calcium and zinc. MMP-3, MMP-10 and MMP-11 (also designated stromelysin-1, 2 and 3, respectively) activate procollagenase. MMP-3 activation of procollagenase can occur via two pathways. Direct activation by MMP-3 is slow and activation by MMP-3 in conjunction with tissue or plasma proteinases is rapid. MMP-10 is expressed in small intestine, and at lower levels in lung and heart. MMP-11 is specifically expressed in stromal cells of breast carcinomas and contributes to epithelial cell malignancies.
Applications
ELISA, IHC-P
Dilutions
IHC-P: 1-2 µg/ml
Reactivity
Human
Immunogen
Recombinant fragment, around amino acids 236-363, of human MMP3 protein. The exact sequence is proprietary.
Host
Mouse
Clonality
Monoclonal
Clone ID
MMP3/2806
Isotype
IgG2c
Light Chains
kappa
Conjugate

Unconjugated

Purification
Protein A chromatography.
Concentration
1 mg/ml
Molecular Weight
57 kDa
Product Form
Liquid
Formulation
Supplied in 10mM Phosphate Buffered Saline; without Sodium Azide and carrier free.
Storage
Shipped at 4°C. Upon delivery aliquot and store at -20°C. Avoid freeze / thaw cycles.
General Notes
This monoclonal antibody is also available in a different formulation with BSA and Sodium Azide - Anti-MMP3 Antibody [MMP3/2806] (A249371).
Synonyms
Matrix metalloproteinase-3, MMP-3, SL-1, STMY1, Stromelysin-1, Transin-1
Disclaimer
This product is for research use only. It is not intended for diagnostic or therapeutic use.
Publishing research using Anti-MMP3 Antibody [MMP3/2806] - BSA and Azide free (A252551)? Please let us know so that we can list the citation on this page.

Alternative products to Anti-MMP3 Antibody [MMP3/2806] - BSA and Azide free (A252551)

Proteins predicted to interact with MMP3

Predicted protein interactions based upon String database. Revelancy score correlates with probability of interaction.
99.9% Relevancy Score
99.7% Relevancy Score
98.5% Relevancy Score
97.3% Relevancy Score
96.7% Relevancy Score
95.6% Relevancy Score
93.6% Relevancy Score
92.2% Relevancy Score
91.8% Relevancy Score