ISO 9001:2015 Certified
Live Customer Support
4.5/5 on Trustpilot
100% Quality Guarantee

Anti-MMS2 Antibody (A15474)

Rabbit polyclonal antibody to MMS2 for WB and IHC.

Shipping Information

$40
Dispatched from St. Louis, MO.
Lead Time: 7-10 business days.
Name
Anti-MMS2 Antibody
Description
Rabbit polyclonal antibody to MMS2.
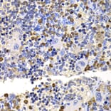
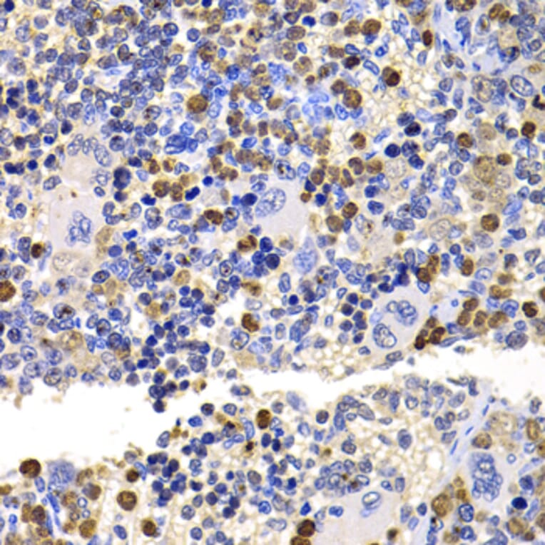
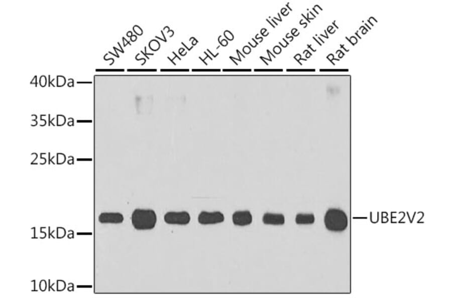
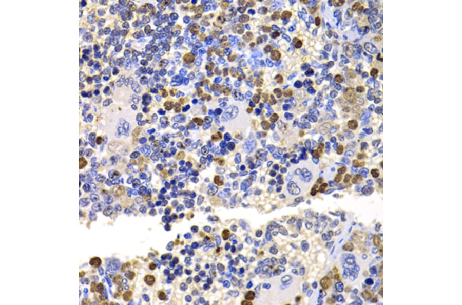
Applications
WB, IHC
Dilutions
WB: 1:500-1:2,000, IHC: 1:50-1:200
Reactivity
Human, Mouse, Rat
Immunogen
Recombinant fusion protein containing a sequence corresponding to amino acids 1-145 of human UBE2V2 (NP_003341.1).
Sequence
MAVSTGVKVPRNFRLLEELEEGQKGVGDGTVSWGLEDDEDMTLTRWTGMIIGPPRTNYENRIYSLKVECGPKYPEAPPSVRFVTKINMNGINNSSGMVDARSIPVLAKWQNSYSIKVVLQELRRLMMSKENMKLPQPPEGQTYNN
Host
Rabbit
Clonality
Polyclonal
Isotype
IgG
Conjugate

Unconjugated

Purification
Affinity purification.
Concentration
Lot Specific
Molecular Weight
16 kDa
Product Form
Liquid
Formulation
Supplied in Phosphate Buffered Saline, pH 7.3, with 50% Glycerol and 0.02% Sodium Azide.
Storage
Shipped at 4°C. Upon delivery aliquot and store at -20°C. Avoid freeze/thaw cycles.
Synonyms
DDVit 1, EDAF-1, EDPF-1, Enterocyte differentiation-associated factor 1, Enterocyte differentiation-promoting factor 1, MMS2 homolog, UBE2V2, Ubiquitin-conjugating enzyme E2 variant 2, UEV2, Vitamin D3-inducible protein
Disclaimer
This product is for research use only. It is not intended for diagnostic or therapeutic use.
Publishing research using Anti-MMS2 Antibody (A15474)? Please let us know so that we can list the citation on this page.

Alternative products to Anti-MMS2 Antibody (A15474)

Proteins predicted to interact with MMS2

Predicted protein interactions based upon String database. Revelancy score correlates with probability of interaction.
99.9% Relevancy Score
99.9% Relevancy Score
99.7% Relevancy Score
99.2% Relevancy Score
99% Relevancy Score
98.8% Relevancy Score
98.2% Relevancy Score
97.1% Relevancy Score
96.6% Relevancy Score