ISO 9001:2015 Certified
Live Customer Support
4.5/5 on Trustpilot
100% Quality Guarantee

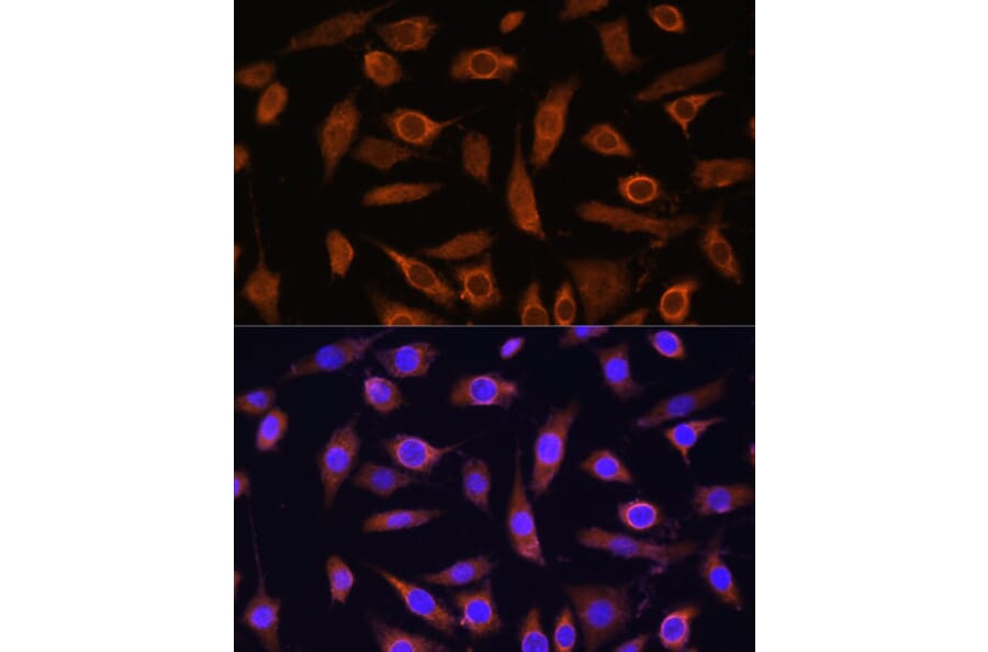
Anti-Mob1A Antibody (A308901)

Rabbit polyclonal antibody to Mob1A for WB and ICC/IF.

Shipping Information

$40
Dispatched from St. Louis, MO.
Lead Time: 7-10 business days.
Name
Anti-Mob1A Antibody
Description
Rabbit polyclonal antibody to Mob1A.
Applications
WB, ICC/IF
Dilutions
WB: 1:500-1:2,000, ICC/IF: 1:50-1:200
Reactivity
Human, Mouse, Rat
Immunogen
A synthetic peptide corresponding to a sequence within amino acids 150-250 of human MOB1A/MOB1B (NP_060691.2/NP_775739.1).
Sequence
TILKRLFRVYAHIYHQHFDSVMQLQEEAHLNTSFKHFIFFVQEFNLIDRRELAPLQELIEKLGSKDR/MSFLFGSRSSKTFKPKKNIPEGSHQYELLKHAE
Host
Rabbit
Clonality
Polyclonal
Isotype
IgG
Conjugate

Unconjugated

Purification
Affinity purification.
Concentration
Lot Specific
Molecular Weight
24 kDa
Product Form
Liquid
Formulation
Supplied in Phosphate Buffered Saline, pH 7.3, with 50% Glycerol and 0.01% Thiomersal.
Storage
Shipped at 4°C. Upon delivery aliquot and store at -20°C. Avoid freeze/thaw cycles.
Synonyms
B1, Mps One Binder kinase activator like 1B (yeast), C2orf6, Chromosome 2 open reading frame 6, FLJ10788, FLJ11595, MATS1, MOB kinase activator 1A, MOB1, Mob1 alpha, Mob1 homolog 1B, MOB1 Mps One Binder homolog A, MOB1 Mps One Binder kinase activator like 1B, MOB4B, Mob4B protein, MOBK1B, Mobkl1b, MOL1B_HUMAN, Mps one binder kinase activator like 1B, Mps one binder kinase activator-like 1B, Protein Mob4B
Disclaimer
This product is for research use only. It is not intended for diagnostic or therapeutic use.
Publishing research using Anti-Mob1A Antibody (A308901)? Please let us know so that we can list the citation on this page.