Western Blot - Anti-Monoacylglycerol Lipase/MGL Antibody (A82819)
Monoacylglycerol Lipase/MGL expression in Mouse Adipose lysate analyzed by western blot. Cells were lysed in RIPA buffer and 35µg protein was run per lane. Primary antibody incubation was performed with Anti-Monoacylglycerol Lipase/MGL Antibody (A82819) at 0.5µg/ml and detected by chemiluminescence.
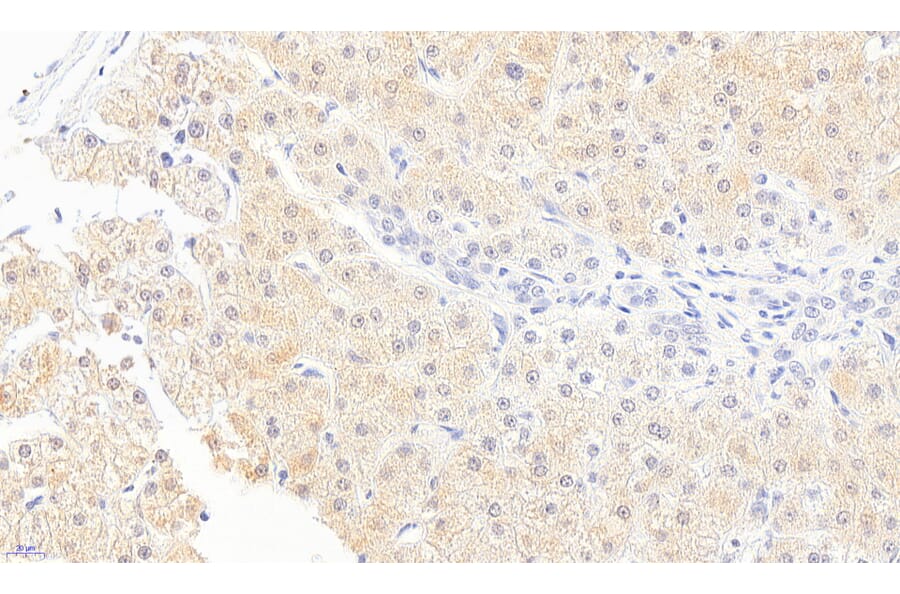
Monoacylglycerol Lipase/MGL expression in Human Liver analyzed by immunohistochemistry. Tissue was paraffin-embedded, and antigen retrieval was achieved by heating in citrate buffer, pH 6. Staining was performed with Anti-Monoacylglycerol Lipase/MGL Antibody (A82819) at 5µg/ml and revealed with horseradish peroxidase (HRP).
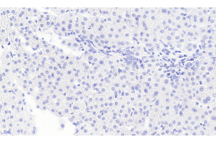
Negative control for Monoacylglycerol Lipase/MGL expression in Human Liver analyzed by immunohistochemistry. Tissue was paraffin-embedded, and staining procedure was performed in the absence of primary antibody.
Monoacylglycerol Lipase/MGL expression in U2OS cells analyzed by immunofluorescence. Cells were permeabilized with 0.15% Triton. Staining was performed with Anti-Monoacylglycerol Lipase/MGL Antibody (A82819) at 10µg/ml for 1 hour and Alexa Fluor 488 secondary antibody at 2µg/ml. Cytoplasmic and nuclear staining shown and nuclei were stained with DAPI (blue) while actin filaments were stained with phalloidin (red). Negative control: Goat IgG Isotype Control at 10µg/ml followed by Alexa Fluor 488 secondary antibody at 2µg/ml.
Monoacylglycerol Lipase/MGL expression in A431 cells analyzed by immunofluorescence. Cells were permeabilized with 0.15% Triton. Staining was performed with Anti-Monoacylglycerol Lipase/MGL Antibody (A82819) at 10µg/ml for 1 hour and Alexa Fluor 488 secondary antibody at 2µg/ml. Cytoplasmic and ER staining shown and nuclei were stained with DAPI (blue). Negative control: Goat IgG Isotype Control at 10µg/ml followed by Alexa Fluor 488 secondary antibody at 2µg/ml.
Monoacylglycerol Lipase/MGL expression in A431 cells (blue line) analyzed by flow cytometry. Cells were fixed in PFA and permeabilized with 0.5% Triton. Staining was performed with Anti-Monoacylglycerol Lipase/MGL Antibody (A82819) at 10µg/ml for 1 hour and Alexa Fluor 488 secondary antibody at 1µg/ml. Negative Control: Goat IgG Isotype Control (black line) followed by Alexa Fluor 488 secondary antibody.