Recombinant fusion protein containing a sequence corresponding to amino acids 1-260 of human Monoamine Oxidase A (Monoamine Oxidase A (MAOA)) (NP_000231.1).
Western Blot - Anti-Monoamine Oxidase A/MAO-A Antibody (A13436)
Western blot analysis of extracts of various cell lines, using Anti-Monoamine Oxidase A/MAO-A Antibody (A13436) at 1:1,000 dilution. The secondary antibody was Goat Anti-Rabbit IgG H&L Antibody (HRP) at 1:10,000 dilution. Lysates/proteins were present at 25µg per lane. The blocking buffer used was 3% non-fat dry milk in TBST.
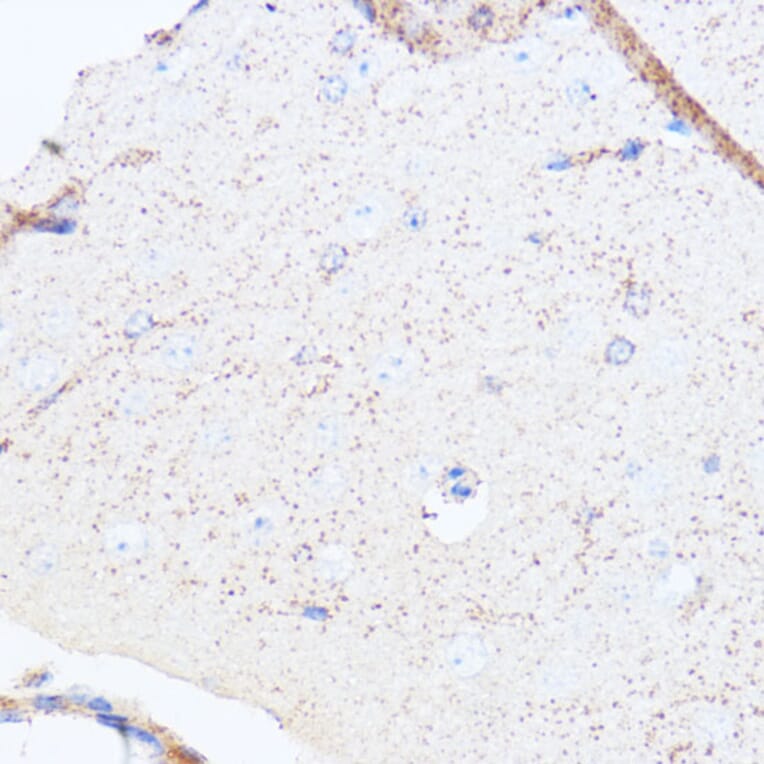
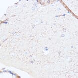
Immunohistochemistry analysis of paraffin-embedded rat brain using Anti-Monoamine Oxidase A/MAO-A Antibody (A13436) at a dilution of 1:100 (40x lens). Perform microwave antigen retrieval with 10 mM PBS buffer pH 7.2 before commencing with IHC staining protocol.
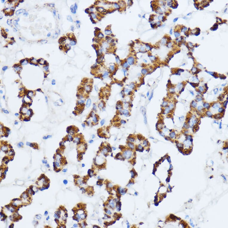
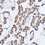
Immunohistochemistry analysis of paraffin-embedded human thyroid cancer using Anti-Monoamine Oxidase A/MAO-A Antibody (A13436) at a dilution of 1:100 (40x lens). Perform microwave antigen retrieval with 10 mM PBS buffer pH 7.2 before commencing with IHC staining protocol.
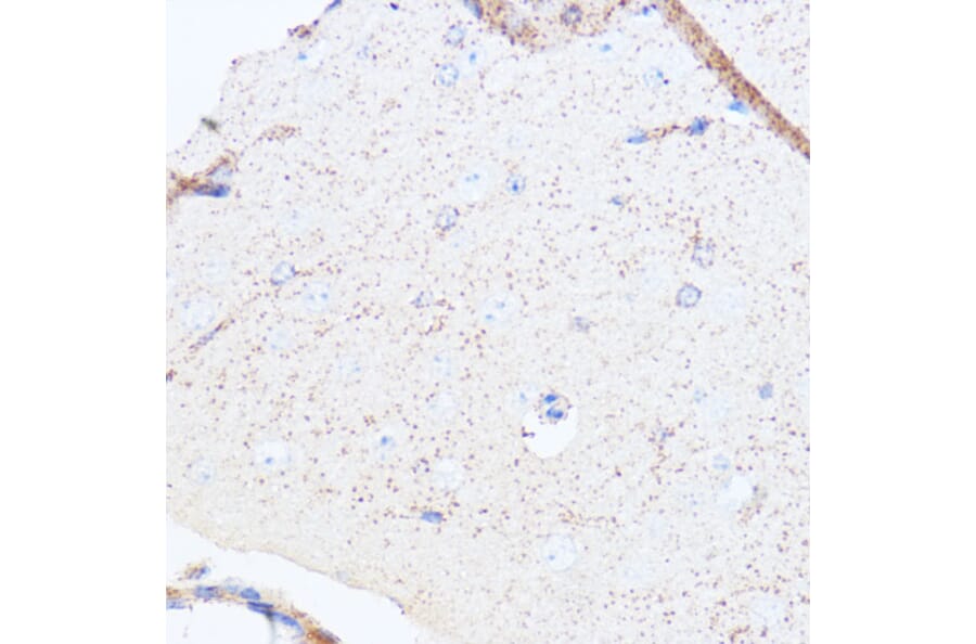
Immunohistochemistry analysis of paraffin-embedded mouse brain using Anti-Monoamine Oxidase A/MAO-A Antibody (A13436) at a dilution of 1:100 (40x lens). Perform microwave antigen retrieval with 10 mM PBS buffer pH 7.2 before commencing with IHC staining protocol.
Immunofluorescence analysis of C6 cells using Anti-Monoamine Oxidase A/MAO-A Antibody (A13436) at a dilution of 1:100. DAPI was used to stain the cell nuclei (blue).
Immunofluorescence analysis of NIH/3T3 cells using Anti-Monoamine Oxidase A/MAO-A Antibody (A13436) at a dilution of 1:100. DAPI was used to stain the cell nuclei (blue).