Western Blot - Anti-Monoamine Oxidase B/MAOB Antibody (A13511)
Western blot analysis of extracts of HeLa cells, using Anti-Monoamine Oxidase B/MAOB Antibody (A13511) at 1:1,000 dilution. The secondary antibody was Goat Anti-Rabbit IgG H&L Antibody (HRP) at 1:10,000 dilution. Lysates/proteins were present at 25µg per lane. The blocking buffer used was 3% non-fat dry milk in TBST. Detection was with a ECL Basic Kit. Exposure time: 1s.
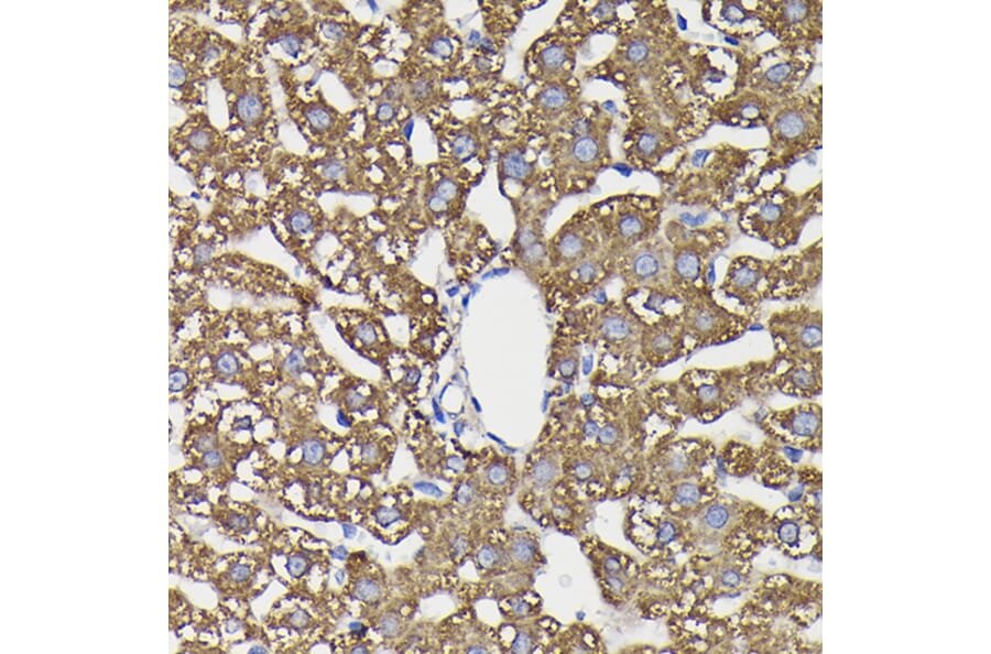
Immunohistochemistry analysis of paraffin-embedded rat liver using Anti-Monoamine Oxidase B/MAOB Antibody (A13511) at a dilution of 1:100 (40x lens). Perform high pressure antigen retrieval with 10 mM citrate buffer pH 6.0 before commencing with IHC staining protocol.
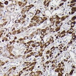
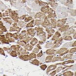
Immunohistochemistry analysis of paraffin-embedded rat heart using Anti-Monoamine Oxidase B/MAOB Antibody (A13511) at a dilution of 1:100 (40x lens). Perform high pressure antigen retrieval with 10 mM citrate buffer pH 6.0 before commencing with IHC staining protocol.
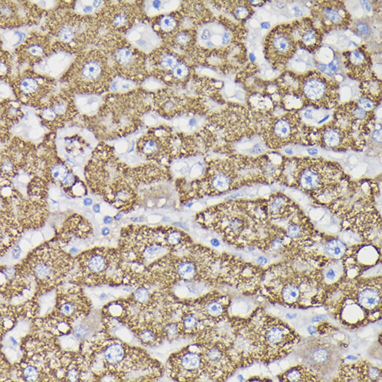
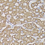
Immunohistochemistry analysis of paraffin-embedded human liver using Anti-Monoamine Oxidase B/MAOB Antibody (A13511) at a dilution of 1:100 (40x lens). Perform high pressure antigen retrieval with 10 mM citrate buffer pH 6.0 before commencing with IHC staining protocol.
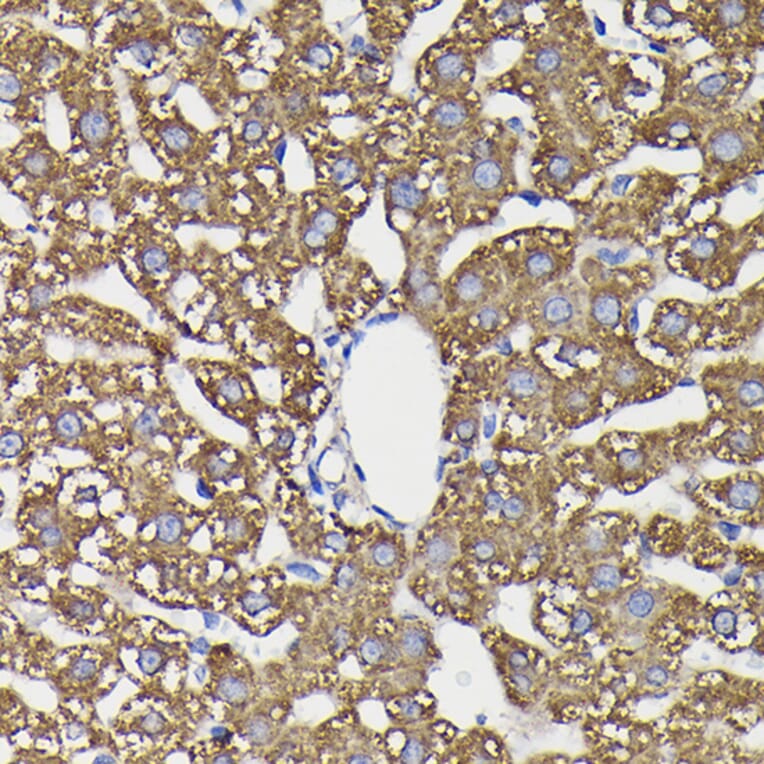
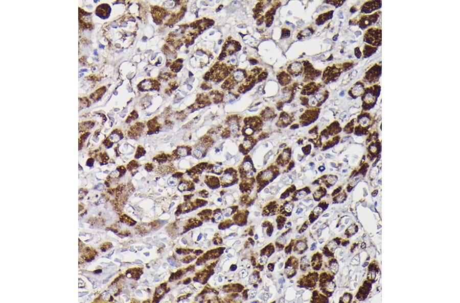
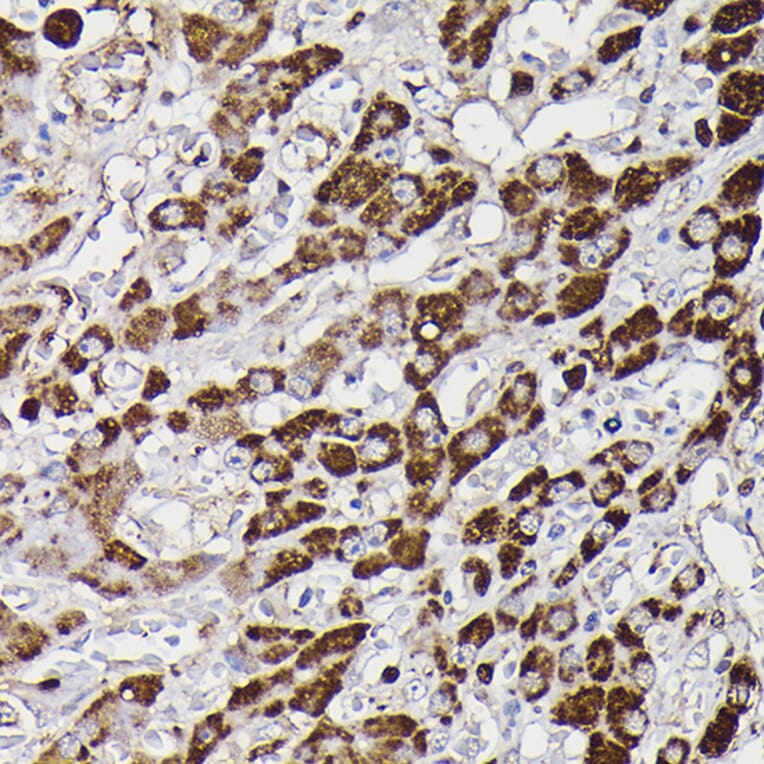
Immunohistochemistry analysis of paraffin-embedded human liver cancer using Anti-Monoamine Oxidase B/MAOB Antibody (A13511) at a dilution of 1:100 (40x lens). Perform high pressure antigen retrieval with 10 mM citrate buffer pH 6.0 before commencing with IHC staining protocol.
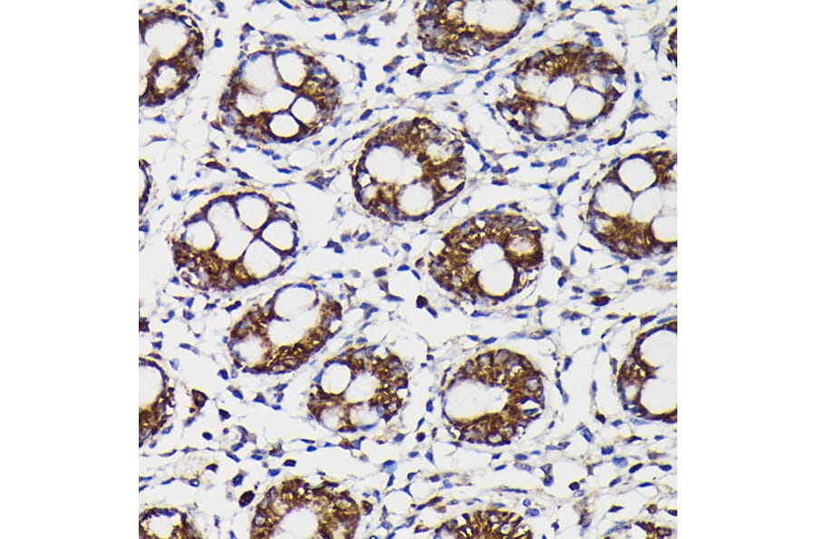
Immunohistochemistry analysis of paraffin-embedded human colon tissue using Anti-Monoamine Oxidase B/MAOB Antibody (A13511) at a dilution of 1:100 (40x lens). Perform high pressure antigen retrieval with 10 mM citrate buffer pH 6.0 before commencing with IHC staining protocol.
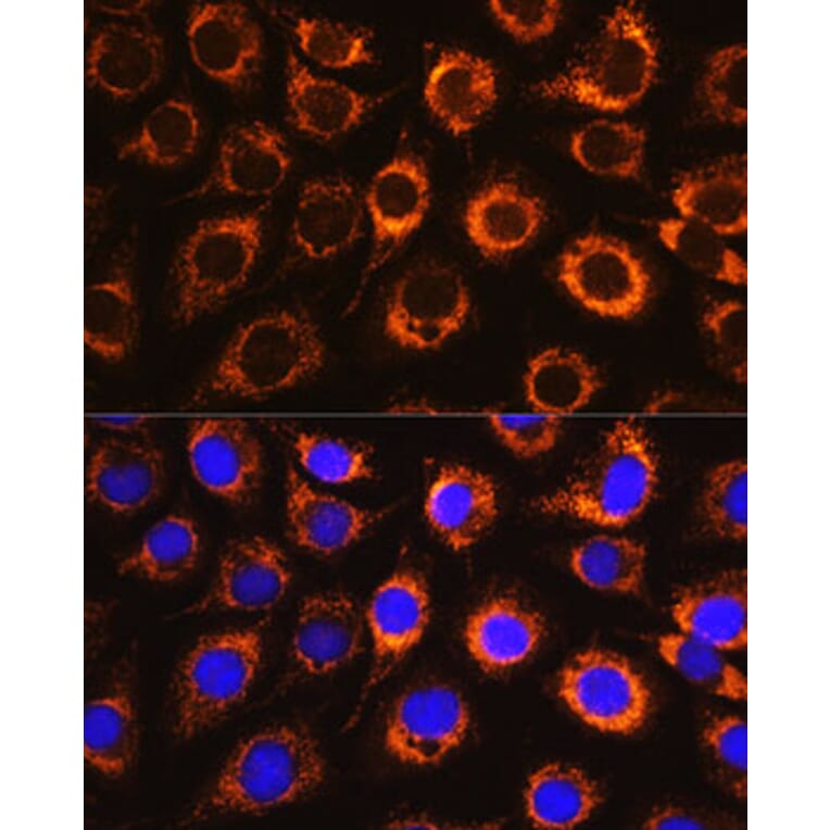
Immunofluorescence analysis of L929 cells using Anti-Monoamine Oxidase B/MAOB Antibody (A13511) at a dilution of 1:100. DAPI was used to stain the cell nuclei (blue).
Immunofluorescence analysis of U2OS cells using Anti-Monoamine Oxidase B/MAOB Antibody (A13511) at a dilution of 1:100. DAPI was used to stain the cell nuclei (blue).