Western Blot - Anti-Monoamine Oxidase B/MAOB Antibody (A82500)
Monoamine Oxidase B/MAOB expression in Human Liver (A), Testes (B), and Breast Cancer (C) lysates analyzed by western blot. Cells were lysed in RIPA buffer and 35µg protein was run per lane. Primary incubation was performed with Anti-Monoamine Oxidase B/MAOB Antibody (A82500) at 0.1µg/ml (A) or 0.3µg/ml (B-C) and detected by chemiluminescence.
Western Blot - Anti-Monoamine Oxidase B/MAOB Antibody (A82500)
Monoamine Oxidase B/MAOB expression in Mouse Liver lysate analyzed by western blot. Cells were lysed in RIPA buffer and 35µg protein was run per lane. Primary antibody incubation was performed with Anti-Monoamine Oxidase B/MAOB Antibody (A82500) at 0.1µg/ml and detected by chemiluminescence.
Monoamine Oxidase B/MAOB expression in HeLa cells analyzed by immunofluorescence. Cells were permeabilized with 0.15% Triton. Staining was performed with Anti-Monoamine Oxidase B/MAOB Antibody (A82500) at 10µg/ml for 1 hour and Alexa Fluor 488 secondary antibody at 2µg/ml. Cytoplasmic and nuclear staining shown and nuclei were stained with DAPI (blue). Negative control: Goat IgG Isotype Control at 10µg/ml followed by Alexa Fluor 488 secondary antibody at 2µg/ml.
Monoamine Oxidase B/MAOB expression in HepG2 cells (blue line) analyzed by flow cytometry. Cells were fixed in PFA and permeabilized with 0.5% Triton. Staining was performed with Anti-Monoamine Oxidase B/MAOB Antibody (A82500) at 10µg/ml for 1 hour and Alexa Fluor 488 secondary antibody at 1µg/ml. Negative Control: Goat IgG Isotype Control (black line) followed by Alexa Fluor 488 secondary antibody.
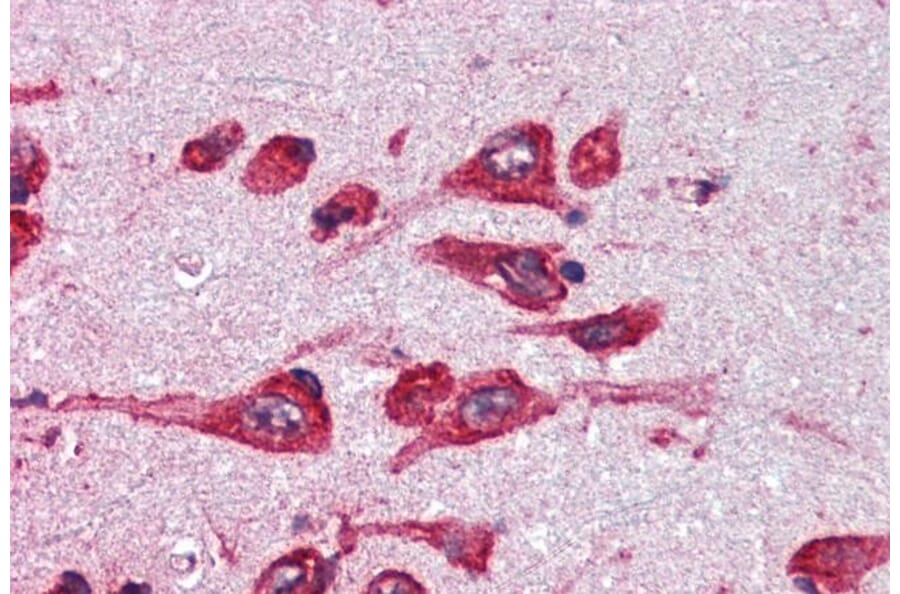
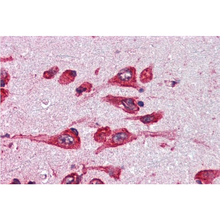
Monoamine Oxidase B/MAOB expression in Human Cortex analyzed by immunohistochemistry. Tissue was paraffin-embedded, and antigen retrieval was achieved by steaming in citrate buffer, pH 6. Staining was performed with Anti-Monoamine Oxidase B/MAOB Antibody (A82500) at 5µg/ml and revealed with alkaline phosphatase (AP). Note this data is from a previous batch and is not on sale.