Primary Antibodies
Secondary Antibodies
Proteins & Peptides
ELISA Kits
About Us
Contact Us
Sign In/Register
0
ISO 9001:2015 Certified
Live Customer Support
4.5/5 on Trustpilot
100% Quality Guarantee
Home
Primary Antibodies
ZCWCC1 Antibodies
Anti-MORC2 Antibody (A38240)
Anti-MORC2 Antibody (A38240)
Overview
Specifications
Images
Enlarge Image
Enlarge Image
Enlarge Image
$430
Rabbit polyclonal antibody to MORC2 for WB and IHC.
100% Guarantee
Price Match Guarantee
Product Size:
100µl
Quantity:
1
2
3
4
5
6
7
8
9
10
Add To Cart
Request a Quotation
Custom or Bulk Request
Shipping Information
Freight/Packing Charges:
$40
Dispatched from St. Louis, MO.
Lead Time: 6-9 business days.
Specifications
Name
Anti-MORC2 Antibody
Description
Rabbit polyclonal antibody to MORC2
Specificity
The antibody detects endogenous levels of total MORC2 protein.
Applications
WB
,
IHC
Reactivity
Human, Mouse
Immunogen
Fusion protein of human MORC2
Host
Rabbit
Clonality
Polyclonal
Conjugate
Unconjugated
Purification
Antigen affinity purification.
Concentration
1.1 mg/ml
Formulation
Rabbit IgG in pH7.4 PBS, 0.05% NaN3, 40% Glycerol.
Storage
Store at -20˚C
Synonyms
ATPase MORC2, KIAA0852, MORC family CW-type zinc finger protein 2, Zinc finger CW-type coiled-coil domain protein 1
Suitable Secondaries
Goat Anti-Rabbit IgG H&L Antibody (AP) (A294874)
Goat Anti-Rabbit IgG H&L Antibody (Biotin) (A294795)
Goat Anti-Rabbit IgG H&L Antibody (FITC) (A294887)
Goat Anti-Rabbit IgG H&L Antibody (HRP) (A294888)
See all Anti-Rabbit IgG Secondaries →
Disclaimer
This product is for research use only. It is not intended for diagnostic or therapeutic use.
Scientific Validation Data
Validation Data
(3)
Enlarge Image
Anti-MORC2 Antibody (A38240)
Gel: 6%SDS-PAGE Lysate: 40 μg Lane: TM4 cell Primary antibody: 1/300 dilution Secondary antibody: Goat anti rabbit IgG at 1/8000 dilution Exposure time: 10 seconds
Enlarge Image
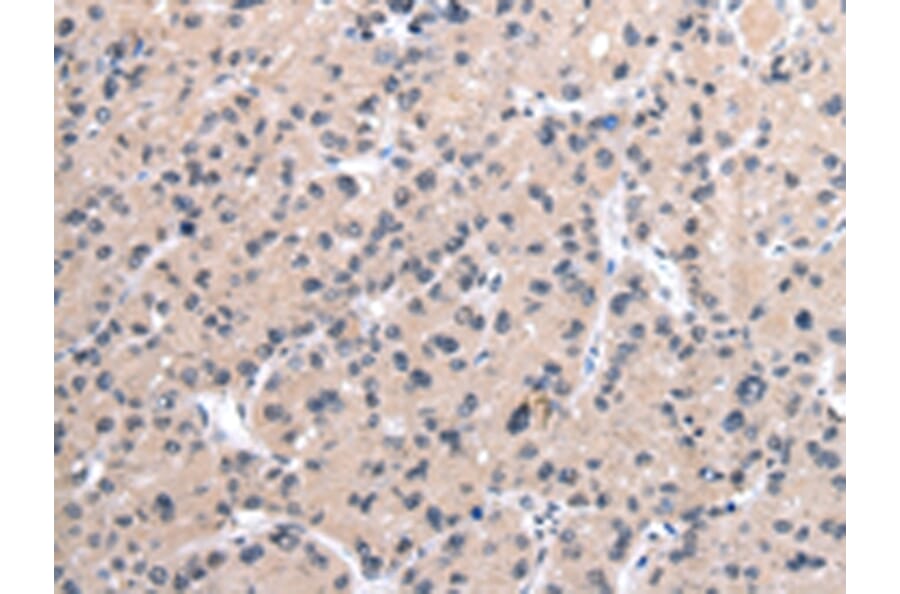
Immunohistochemistry - Anti-MORC2 Antibody (A38240)
Immunohistochemical analysis of paraffin-embedded Human thyroid cancer tissue using #42867 at dilution 1/20.
Enlarge Image
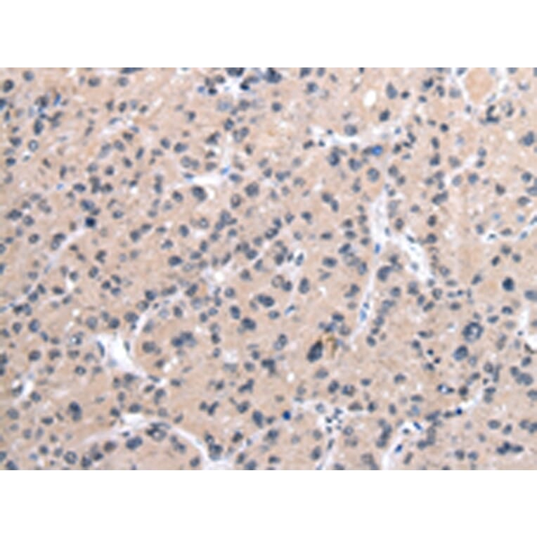
Immunohistochemistry - Anti-MORC2 Antibody (A38240)
Immunohistochemical analysis of paraffin-embedded Human liver cancer tissue using #42867 at dilution 1/20.
Publishing research using Anti-MORC2 Antibody (A38240)? Please
let us know
so that we can list the citation on this page.
Alternative products to Anti-MORC2 Antibody (A38240)
(2)
A305685
Anti-ZCWCC1 Antibody
Rabbit polyclonal antibody to ZCWCC1 for WB.
(2)
A305685
Anti-ZCWCC1 Antibody
Rabbit polyclonal antibody to ZCWCC1 for WB.
Proteins predicted to interact with ZCWCC1
Predicted protein interactions based upon String database. Revelancy score correlates with probability of interaction.
NAT10 Antibodies
78.2% Relevancy Score
Protein TASOR Antibodies
71.8% Relevancy Score
DHX8 Antibodies
66.9% Relevancy Score
PPHLN1 Antibodies
52.9% Relevancy Score
BRCAA1 Antibodies
51.1% Relevancy Score
SETDB1 Antibodies
50.7% Relevancy Score
KAP1 Antibodies
50.2% Relevancy Score
PARP1 Antibodies
49.5% Relevancy Score
FOXK1 Antibodies
48.6% Relevancy Score
Top