Primary Antibodies
Secondary Antibodies
Proteins & Peptides
ELISA Kits
About Us
Contact Us
Sign In/Register
0
ISO 9001:2015 Certified
Live Customer Support
4.5/5 on Trustpilot
100% Quality Guarantee
Home
Primary Antibodies
MOX1 Antibodies
Anti-MOX1 Antibody (A48926)
Anti-MOX1 Antibody (A48926)
Overview
Specifications
Images
Enlarge Image
Enlarge Image
$780
Product Datasheet
Rabbit polyclonal antibody to MOX1 for ELISA, WB and ICC/IF.
100% Guarantee
Price Match Guarantee
Product Size:
100µl
Quantity:
1
2
3
4
5
6
7
8
9
10
Add To Cart
Request a Quotation
Custom or Bulk Request
Shipping Information
Freight/Packing Charges:
$40
Dispatched from St. Louis, MO.
Lead Time: 6-9 business days.
Specifications
Name
Anti-MOX1 Antibody
Description
Rabbit polyclonal antibody to MOX1
Applications
ELISA
,
WB
,
ICC/IF
Reactivity
Human, Mouse, Rat
Immunogen
Raised against a 19 amino acid peptide near the center of human MOX1.
Host
Rabbit
Clonality
Polyclonal
Conjugate
Unconjugated
Purification
Affinity chromatography purified via peptide column
Formulation
Supplied in phosphate-buffered saline with 0.02% Sodium Azide.
Storage
Shipped at 4°C. Upon delivery aliquot and store at -20°C. Avoid freeze/thaw cycles.
Synonyms
Homeobox protein MOX-1, MEOX1, Mesenchyme homeobox 1
Suitable Secondaries
Goat Anti-Rabbit IgG H&L Antibody (AP) (A294874)
Goat Anti-Rabbit IgG H&L Antibody (Biotin) (A294795)
Goat Anti-Rabbit IgG H&L Antibody (FITC) (A294887)
Goat Anti-Rabbit IgG H&L Antibody (HRP) (A294888)
See all Anti-Rabbit IgG Secondaries →
Disclaimer
This product is for research use only. It is not intended for diagnostic or therapeutic use.
Scientific Validation Data
Validation Data
(2)
Enlarge Image
Anti-MOX1 Antibody (A48926)
Western blot analysis of MOX1 in human liver tissue lysate with MOX1 antibody at (A) 1 and (B) 2 µg/mL.
Enlarge Image
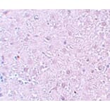
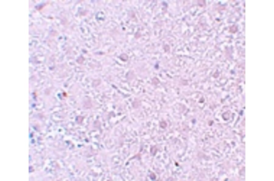
Immunohistochemistry - Anti-MOX1 Antibody (A48926)
Immunohistochemistry of MOX1 in rat liver tissue with MOX1 antibody at 10 µg/mL.
Publishing research using Anti-MOX1 Antibody (A48926)? Please
let us know
so that we can list the citation on this page.
Proteins predicted to interact with MOX1
Predicted protein interactions based upon String database. Revelancy score correlates with probability of interaction.
PAX1 Antibodies
85.9% Relevancy Score
MEOX 2 Antibodies
83% Relevancy Score
Sclerostin Antibodies
81% Relevancy Score
TBX6 Antibodies
77.4% Relevancy Score
EYA2 Antibodies
75.1% Relevancy Score
SIX1 Antibodies
71.4% Relevancy Score
Myogenin Antibodies
68.3% Relevancy Score
MyoD1 Antibodies
65.1% Relevancy Score
CHMP1A Antibodies
62.7% Relevancy Score
Top