ISO 9001:2015 Certified
Live Customer Support
4.5/5 on Trustpilot
100% Quality Guarantee

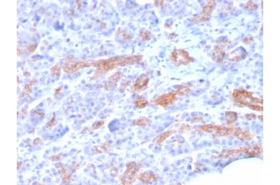
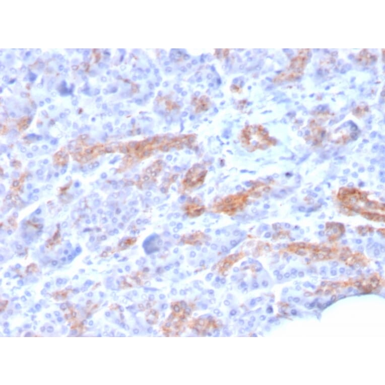
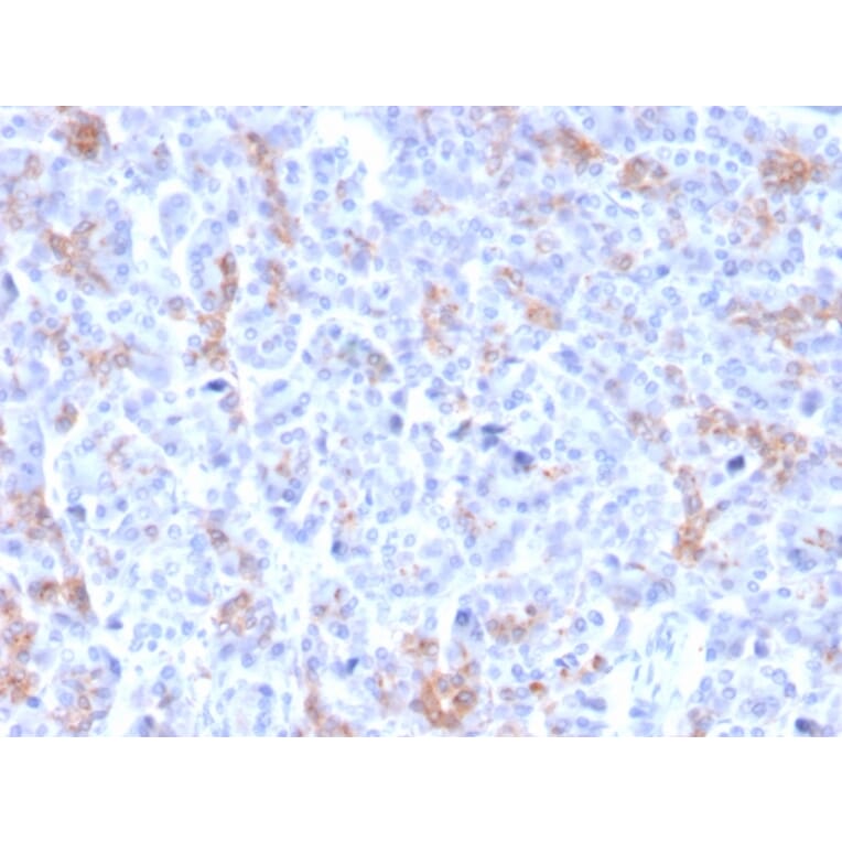
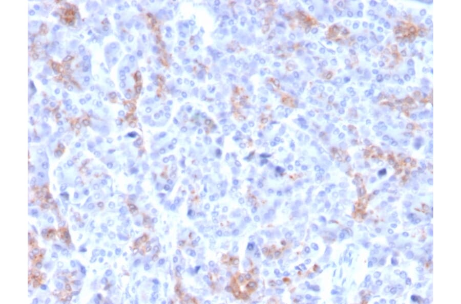
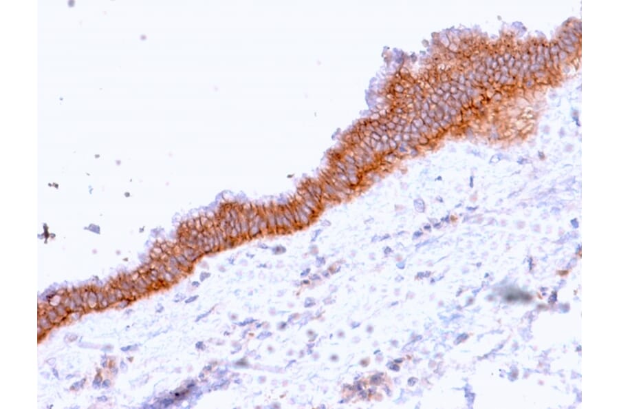
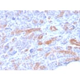
Anti-MRP3 Antibody [ABCC3/2971] - BSA and Azide free (A253618)

Mouse monoclonal [ABCC3/2971] antibody to MRP3 for IHC-P.

Alternative Formats and ConjugatesAlternative Formats

Shipping Information

$40
Dispatched from St. Louis, MO.
Lead Time: 5-8 business days.
Name
Anti-MRP3 Antibody [ABCC3/2971] - BSA and Azide free
Description
Mouse monoclonal [ABCC3/2971] antibody to MRP3.
Specificity
The two members of the large family of ABC transporters known to confer multidrug resistance in human cancer cells are the MDR1 P-glycoprotein and the multidrug-resistance protein MRP1. MRP1 is an integral membrane protein that contains an MDR-like core, an N-terminal membrane-bound region and a cytoplasmic linker, and it is expressed in various cerebral cells, as well as in lung, testis and peripheral blood. The MRP gene family also includes MRP2, which is alternatively designated cMOAT (for canalicular multispecific organic anion transporter) and MRP3, which are both conjugate export pumps exp- ressed predominantly in hepatocytes. MRP2 localizes exclusively to the apical membrane and is constitutively expressed at a high level in normal liver cells. Conversely, MRP3 localizes to the basolateral membrane where it also medi- ates the transport of the organic anion S-(2,4-dinitrophenyl-) glutathione toward the basolateral side of the membrane. MRP3 is normally expressed at comparatively lower levels than MRP2 and increases only when secretion across the apical membrane by MRP2 is impaired.
Applications
IHC-P
Dilutions
IHC-P: 1-2 µg/ml
Reactivity
Human
Immunogen
Recombinant fragment, around amino acids 815-957, of human MRP3 protein. The exact sequence is proprietary.
Host
Mouse
Clonality
Monoclonal
Clone ID
ABCC3/2971
Isotype
IgG1
Light Chains
kappa
Conjugate

Unconjugated

Purification
Protein A/G chromatography.
Concentration
1 mg/ml
Molecular Weight
169 kDa / 137 kDa / 55 kDa / 32 kDa / 65 kDa
Product Form
Liquid
Formulation
Supplied in 10mM Phosphate Buffered Saline; without Sodium Azide and carrier free.
Storage
Shipped at 4°C. Upon delivery aliquot and store at -20°C. Avoid freeze / thaw cycles.
General Notes
This monoclonal antibody is also available in a different formulation with BSA and Sodium Azide - Anti-MRP3 Antibody [ABCC3/2971] (A250438).
Synonyms
ABCC3, ATP-binding cassette sub-family C member 3, Canalicular multispecific organic anion transporter 2, CMOAT2, MLP2, MOAT-D, Multi-specific organic anion transporter D, Multidrug resistance-associated protein 3
Disclaimer
This product is for research use only. It is not intended for diagnostic or therapeutic use.
Publishing research using Anti-MRP3 Antibody [ABCC3/2971] - BSA and Azide free (A253618)? Please let us know so that we can list the citation on this page.

Alternative products to Anti-MRP3 Antibody [ABCC3/2971] - BSA and Azide free (A253618)

Proteins predicted to interact with MRP3

Predicted protein interactions based upon String database. Revelancy score correlates with probability of interaction.
77.8% Relevancy Score
76.9% Relevancy Score
76.4% Relevancy Score
74.8% Relevancy Score
72.8% Relevancy Score
72.1% Relevancy Score
71.8% Relevancy Score
69.2% Relevancy Score
65.5% Relevancy Score