ISO 9001:2015 Certified
Live Customer Support
4.5/5 on Trustpilot
100% Quality Guarantee

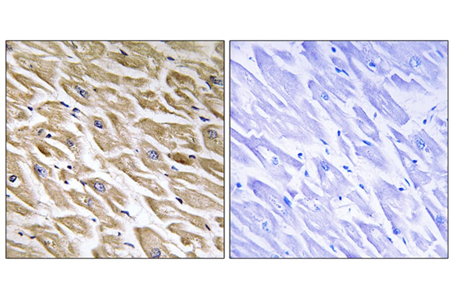
Anti-MRPL39 Antibody (A99287)

Rabbit polyclonal antibody to MRPL39 for WB, IHC, IF and ELISA.

Shipping Information

$40
Dispatched from St. Louis, MO.
Lead Time: 6-8 business days.
Name
Anti-MRPL39 Antibody
Description
Rabbit polyclonal antibody to MRPL39.
Applications
WB, IHC, IF, ELISA
Dilutions
WB: 1:500~1:1000, IHC: 1:50~1:100, ELISA: 1:40000
Reactivity
Human, Rat, Mouse
Cross Reactivity
No reported cross-reactivity.
Immunogen
Synthetic peptide derived from human MRPL39 (amino acids 289-338).
Host
Rabbit
Clonality
Polyclonal
Isotype
IgG
Conjugate

Unconjugated

Purification
Purified from rabbit serum by antigen affinity chromatography using the immunizing peptide.
Molecular Weight
38kDa
Product Form
Liquid
Formulation
Supplied in Phosphate Buffered Saline (without Mg2+ and Ca2+), pH 7.4, with 150mM NaCl, 0.02% Sodium Azide, and 50% Glycerol.
Storage
Shipped at 4°C. Upon delivery aliquot and store at -20°C. Avoid freeze / thaw cycles.
Synonyms
39S ribosomal protein L39, mitochondrial, 39S ribosomal protein L5, mitochondrial, C21orf92, L39mt, L5mt, Large ribosomal subunit protein mL39, MRP-L39, MRP-L5, MRPL5, RPML5
Disclaimer
This product is for research use only. It is not intended for diagnostic or therapeutic use.
Publishing research using Anti-MRPL39 Antibody (A99287)? Please let us know so that we can list the citation on this page.

Alternative products to Anti-MRPL39 Antibody (A99287)

Proteins predicted to interact with MRPL39

Predicted protein interactions based upon String database. Revelancy score correlates with probability of interaction.
99.2% Relevancy Score
99.2% Relevancy Score
99.1% Relevancy Score
99.1% Relevancy Score
99.1% Relevancy Score
98.9% Relevancy Score
98.8% Relevancy Score
98.5% Relevancy Score
98.5% Relevancy Score