ISO 9001:2015 Certified
Live Customer Support
4.5/5 on Trustpilot
100% Quality Guarantee

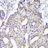
Anti-MRPS35 Antibody (A89543)

Rabbit polyclonal antibody to MRPS35 for WB, IHC and ICC/IF.

Shipping Information

$40
Dispatched from St. Louis, MO.
Lead Time: 7-10 business days.
Name
Anti-MRPS35 Antibody
Description
Rabbit polyclonal antibody to MRPS35.
Applications
WB, IHC, ICC/IF
Dilutions
WB: 1:500-1:2,000, IHC: 1:50-1:200, ICC/IF: 1:50-1:200
Reactivity
Human, Mouse
Immunogen
Recombinant fusion protein containing a sequence corresponding to amino acids 1-323 of human MRPS35 (NP_068593.2).
Sequence
MAAAALPAWLSLQSRARTLRAFSTAVYSATPVPTPSLPERTPGNERPPRRKALPPRTEKMAVDQDWPSVYPVAAPFKPSAVPLPVRMGYPVKKGVPMAKEGNLELLKIPNFLHLTPVAIKKHCEALKDFCTEWPAALDSDEKCEKHFPIEIDSTDYVSSGPSVRNPRARVVVLRVKLSSLNLDDHAKKKLIKLVGERYCKTTDVLTIKTDRCPLRRQNYDYAVYLLTVLYHESWNTEEWEKSKTEADMEEYIWENSSSERNILETLLQMKAAEKNMEINKEELLGTKEIEEYKKSVVSLKNEEENENSISQYKESVKRLLNVT
Host
Rabbit
Clonality
Polyclonal
Isotype
IgG
Conjugate

Unconjugated

Purification
Affinity purification.
Concentration
Lot Specific
Molecular Weight
37 kDa
Product Form
Liquid
Formulation
Supplied in Phosphate Buffered Saline, pH 7.3, with 50% Glycerol and 0.01% Thiomersal.
Storage
Shipped at 4°C. Upon delivery aliquot and store at -20°C. Avoid freeze/thaw cycles.
Synonyms
28S ribosomal protein S28, mitochondrial, 28S ribosomal protein S35, mitochondrial, MRP-S28, MRP-S35, MRPS28, S28mt, S35mt, Small ribosomal subunit protein mS35
Disclaimer
This product is for research use only. It is not intended for diagnostic or therapeutic use.
Publishing research using Anti-MRPS35 Antibody (A89543)? Please let us know so that we can list the citation on this page.

Alternative products to Anti-MRPS35 Antibody (A89543)

Proteins predicted to interact with MRPS35

Predicted protein interactions based upon String database. Revelancy score correlates with probability of interaction.
99.9% Relevancy Score
99.9% Relevancy Score
99.9% Relevancy Score
99.9% Relevancy Score
99.9% Relevancy Score
99.9% Relevancy Score
99.9% Relevancy Score
99.8% Relevancy Score
99.8% Relevancy Score