ISO 9001:2015 Certified
Live Customer Support
4.5/5 on Trustpilot
100% Quality Guarantee

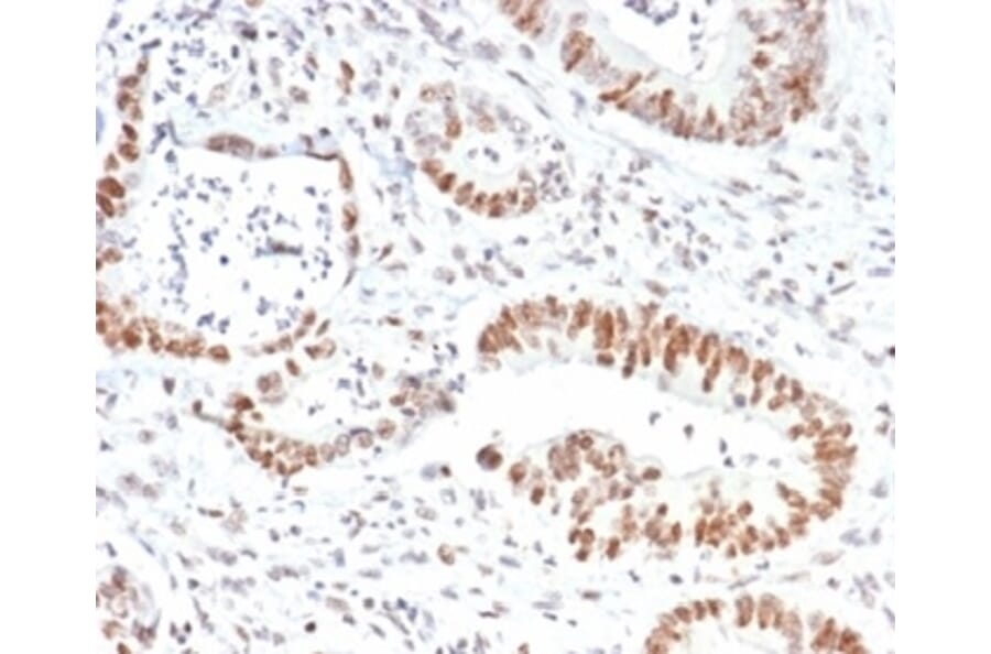
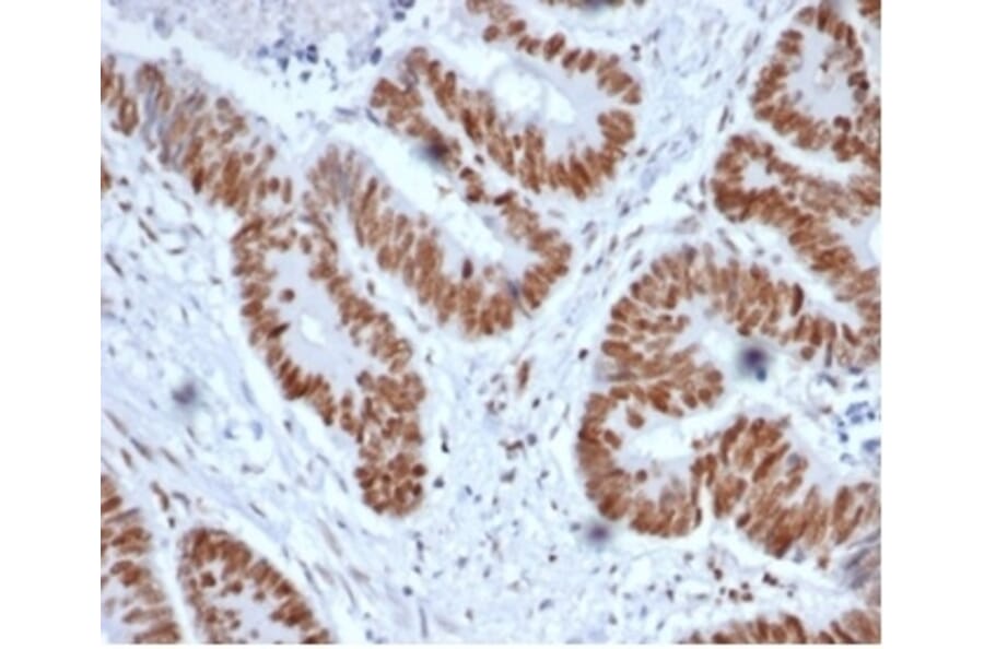
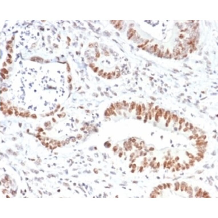
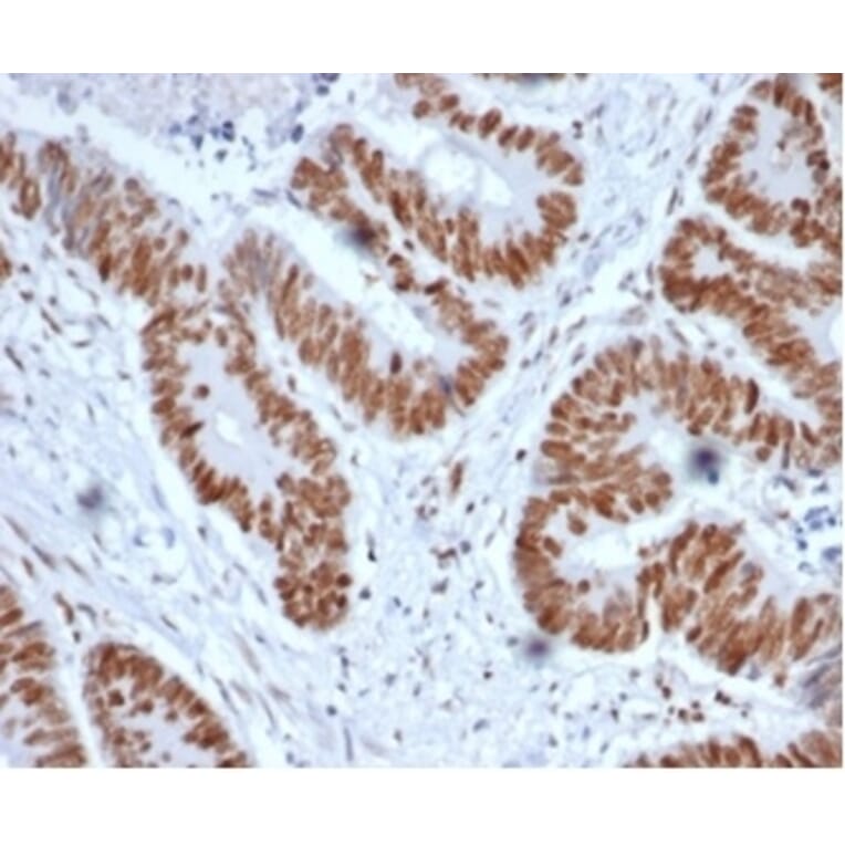
Anti-MSH2 Antibody [MSH2/6852] - BSA and Azide free (A278305)

Mouse monoclonal [MSH2/6852] antibody to MSH2 for WB and IHC-P.

Alternative Formats and ConjugatesAlternative Formats

Shipping Information

$40
Dispatched from St. Louis, MO.
Lead Time: 5-8 business days.
Name
Anti-MSH2 Antibody [MSH2/6852] - BSA and Azide free
Description
Mouse monoclonal [MSH2/6852] antibody to MSH2.
Specificity
Mutations in DNA mismatch repair genes are associated with hereditary nonpolyposis colorectal cancer (HNPCC). Initially, inherited mutations in the MSH2 and MLH1 homologs of the bacterial DNA mismatch repair genes MutS and MutL were found at high frequency in HNPCC and were shown to be associated with microsatellite instability. The demonstration that 10 to 45% of pancreatic, gastric, breast, ovarian and small cell lung cancers also display microsatellite instability has been interpreted to suggest that DNA mismatch repair is not restricted to HNPCC tumors but is a common feature in tumor initiation or progression.
Applications
WB, IHC-P
Dilutions
WB: 1-2 µg/ml, IHC-P: 1-2 µg/ml
Reactivity
Human
Immunogen
Recombinant full-length human MSH2 protein.
Host
Mouse
Clonality
Monoclonal
Clone ID
MSH2/6852
Isotype
IgG1
Light Chains
kappa
Conjugate

Unconjugated

Purification
Protein A/G chromatography.
Concentration
1 mg/ml
Molecular Weight
100 kDa
Product Form
Liquid
Formulation
Supplied in 10mM Phosphate Buffered Saline; without Sodium Azide and carrier free.
Storage
Shipped at 4°C. Upon delivery aliquot and store at -20°C. Avoid freeze / thaw cycles.
General Notes
This monoclonal antibody is also available in a different formulation with BSA and Sodium Azide - Anti-MSH2 Antibody [MSH2/6852] (A277717).
Synonyms
DNA mismatch repair protein Msh2, hMSH2, MutS protein homolog 2
Disclaimer
This product is for research use only. It is not intended for diagnostic or therapeutic use.
Publishing research using Anti-MSH2 Antibody [MSH2/6852] - BSA and Azide free (A278305)? Please let us know so that we can list the citation on this page.

Alternative products to Anti-MSH2 Antibody [MSH2/6852] - BSA and Azide free (A278305)

Proteins predicted to interact with MSH2

Predicted protein interactions based upon String database. Revelancy score correlates with probability of interaction.
99.9% Relevancy Score
99.9% Relevancy Score
99.9% Relevancy Score
99.9% Relevancy Score
99.9% Relevancy Score
99.9% Relevancy Score
99.9% Relevancy Score
99.9% Relevancy Score