Anti-MSH6 Antibody [MSH6/3091] - BSA and Azide free
Description
Mouse monoclonal [MSH6/3091] antibody to MSH6.
Specificity
The finding that mutations in DNA mismatch repair genes are associated with hereditary nonpolyposis colorectal cancer (HNPCC) has resulted in considerable interest in the understanding of the mechanism of DNA mismatch repair. Initially, inherited mutations in the MSH2 and MLH1 homologs of the bacterial DNA mismatch repair genes mutS and mutL were demonstrated at high frequency in HNPCC and were shown to be associated with microsatellite instability. A member of the mismatch repair family, GTBP (also designated MSH6), is an MSH2-related protein that binds to DNA containing G/T mismatches. Findings suggest that the mismatch-binding factor in human cells is composed of a heterodimer of GTBP and MSH2.
Applications
ELISA, IF, WB, IHC-P
Dilutions
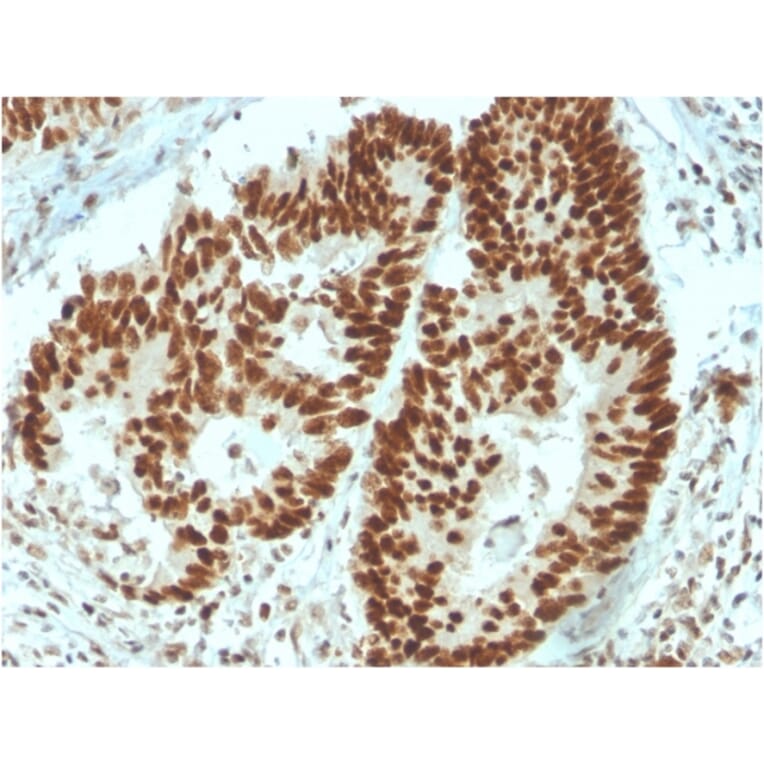
IF: 1-2 µg/ml, WB: 1-2 µg/ml, IHC-P: 1-2 µg/ml
Reactivity
Human
Immunogen
Recombinant fragment, around amino acids 374-540, of human MSH6 protein. The exact sequence is proprietary.
Host
Mouse
Clonality
Monoclonal
Clone ID
MSH6/3091
Isotype
IgG2b
Light Chains
kappa
Conjugate
Unconjugated
Purification
Protein A/G chromatography.
Concentration
1 mg/ml
Molecular Weight
163 kDa
Product Form
Liquid
Formulation
Supplied in 10mM Phosphate Buffered Saline; without Sodium Azide and carrier free.
Storage
Shipped at 4°C. Upon delivery aliquot and store at -20°C. Avoid freeze / thaw cycles.
SDS-PAGE analysis of Anti-MSH6 Antibody [MSH6/3091] under non-reduced and reduced conditions; showing intact IgG and intact heavy and light chains, respectively. SDS-PAGE analysis confirms the integrity and purity of the antibody.
Immunofluorescent analysis of MCF-7 cells stained with Anti-MSH6 Antibody [MSH6/3091] followed by Goat Anti-Mouse IgG (CF® 488) (Green). Nuclei are stained with RedDot.
Anti-MSH6 Antibody [MSH6/3091] - BSA and Azide free (A251960)
Analysis of protein array containing more than 19,000 full-length human proteins using Anti-MSH6 Antibody [MSH6/3091]. Z-Score and S- Score: The Z-score represents the strength of a signal that a monoclonal antibody (MAb) (in combination with a fluorescently-tagged anti-IgG secondary antibody) produces when binding to a particular protein on the HuProtTM array. Z-scores are described in units of standard deviations (SD's) above the mean value of all signals generated on that array. If targets on HuProtTM are arranged in descending order of the Z-score, the S-score is the difference (also in units of SD's) between the Z-score. S-score therefore represents the relative target specificity of a MAb to its intended target; a MAb is considered to be specific to its intended target, if the MAb has an S-score of at least 2.5. For example, if a MAb binds to protein X with a Z-score of 43 and to protein Y with a Z-score of 14, then the S-score for the binding of that MAb to protein X is equal to 29.
Publishing research using Anti-MSH6 Antibody [MSH6/3091] - BSA and Azide free (A251960)? Please let us know so that we can list the citation on this page.
Alternative products to Anti-MSH6 Antibody [MSH6/3091] - BSA and Azide free (A251960)